相关产品推荐更多 >
万千商家帮你免费找货
0 人在求购买到急需产品
- 详细信息
- 技术资料
- 免疫原:
recombinant protein
- 形态:
liquid
- 保存条件:
Store at -20˚C
- 克隆性:
Monoclonal antibody
- 适应物种:
Human
- 保质期:
12 months
- 抗原来源:
Recombinant Rabbit
- 供应商:
南京赛戈巍生物科技有限公司
- 宿主:
Recombinant Rabbit
- 应用范围:
WB, IHC
- 靶点:
Uniprot:O00501
- 抗体英文名:
Claudin 5 Rabbit mAb
- 规格:
50ul/100ul
AWAL antibody
BEC 1 antibody
BEC1 antibody
Claudin 5 (transmembrane protein deleted in velocardiofacial syndrome) antibody
Claudin-5 antibody
Claudin5 antibody
CLD5_HUMAN antibody
CLDN 5 antibody
Cldn5 antibody
CPETR L1 antibody
CPETRL 1 antibody
CPETRL1 antibody
TMDVCF antibody
TMVCF antibody
Transmembrane protein deleted in VCFS antibody
Transmembrane protein deleted in velocardiofacial syndrome antibody
计算分子量:24 kDa
配方:1*TBS (pH7.4), 1%BSA, 40%Glycerol. Preservative: 0.05% Sodium Azide.
应用详情:WB: 1:2,000-1:5,000
IHC: 1:50-1:200
图片:
![Claudin 5 Rabbit mAb[49471]](https://img1.dxycdn.com/p/s14/2025/0923/011/6589219508888140791.jpg)
Western blot analysis of Claudin 5 on human lung cells lysates using anti-Claudin 5 antibody at 1/500 dilution.
,
![Claudin 5 Rabbit mAb[49471]](https://img1.dxycdn.com/p/s14/2025/0923/701/2741022540988140791.jpg)
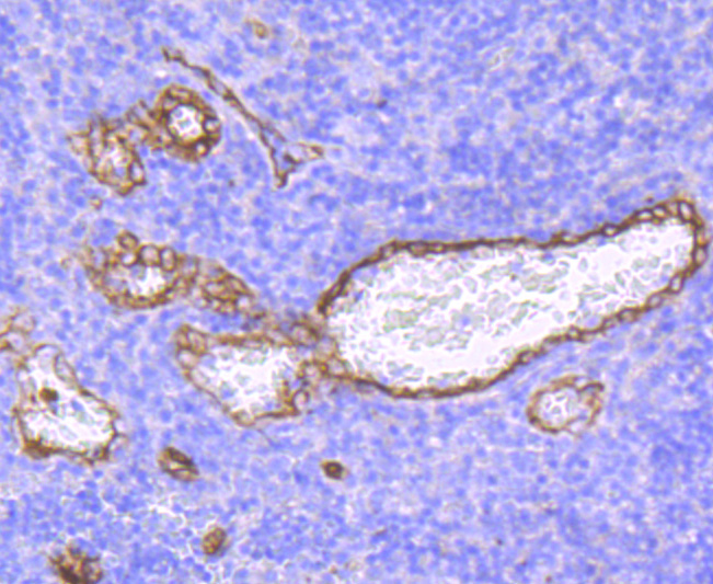
Immunohistochemical analysis of paraffin-embedded human tonsil tissue using anti-Claudin 5 antibody. Counter stained with hematoxylin.
,
![Claudin 5 Rabbit mAb[49471]](https://img1.dxycdn.com/p/s14/2025/0923/666/4078236140988140791.jpg)
Immunohistochemical analysis of paraffin-embedded human kidney tissue using anti-Claudin 5 antibody. Counter stained with hematoxylin.
,
![Claudin 5 Rabbit mAb[49471]](https://img1.dxycdn.com/p/s14/2025/0923/555/0610095949888140791.jpg)
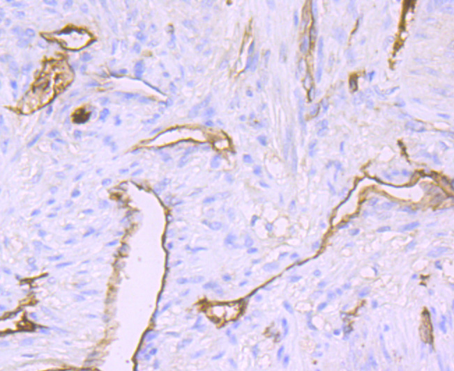
Immunohistochemical analysis of paraffin-embedded human lung tissue using anti-Claudin 5 antibody. Counter stained with hematoxylin.
,
![Claudin 5 Rabbit mAb[49471]](https://img1.dxycdn.com/p/s14/2025/0923/327/8845790539888140791.jpg)
Immunohistochemical analysis of paraffin-embedded human uterus tissue using anti-Claudin 5 antibody. Counter stained with hematoxylin.
风险提示:丁香通仅作为第三方平台,为商家信息发布提供平台空间。用户咨询产品时请注意保护个人信息及财产安全,合理判断,谨慎选购商品,商家和用户对交易行为负责。对于医疗器械类产品,请先查证核实企业经营资质和医疗器械产品注册证情况。
技术资料暂无技术资料 索取技术资料


![Claudin 5 Rabbit mAb[49471]](https://img1.dxycdn.com/p/s14/2025/0923/496/0462304380155040791.jpg)


![H-2 class II histocompatibility antigen gamma chain Polyclonal Antibody[42111]](https://img1.dxycdn.com/p/s14/2025/0922/568/0046652811090600791.jpg!wh200)
![SLC25A5 Polyclonal Antibody[29214]](https://img1.dxycdn.com/p/s14/2025/0922/498/0460884283108299691.jpg!wh200)
![PGM1 antibody[38809]](https://img1.dxycdn.com/p/s14/2025/0922/359/6146153295428599691.jpg!wh200)
![CD267 Mouse mAb[63318]](https://img1.dxycdn.com/p/s14/2025/0922/632/2321321568067599691.jpg!wh200)
