相关产品推荐更多 >
万千商家帮你免费找货
0 人在求购买到急需产品
- 详细信息
- 技术资料
- 免疫原:
recombinant protein
- 形态:
liquid
- 保存条件:
Store at -20˚C
- 克隆性:
Monoclonal antibody
- 适应物种:
Human;Mouse;Rat
- 保质期:
12 months
- 抗原来源:
Recombinant Rabbit
- 供应商:
南京赛戈巍生物科技有限公司
- 宿主:
Recombinant Rabbit
- 应用范围:
WB, ICC/IF, IHC
- 靶点:
Uniprot:P29972
- 抗体英文名:
AQP1 Rabbit mAb
- 规格:
50ul/100ul
AQP CHIP antibody
AQP-1 antibody
AQP1 antibody
AQP1_HUMAN antibody
aquaporin 1 (channel-forming integral protein, 28kDa, CO blood group) antibody
aquaporin 1 (Colton blood group) antibody
Aquaporin CHIP antibody
Aquaporin-1 antibody
Aquaporin-CHIP antibody
Aquaporin1 antibody
Channel forming integral protein 28kDa antibody
Channel like integral membrane protein 28 kDa antibody
CHIP 28 antibody
CHIP28 antibody
CO antibody
Colton blood group antibody
Growth factor induced delayed early response protein antibody
MGC26324 antibody
Urine water channel antibody
Water channel protein CHIP 29 antibody
Water channel protein CHIP29 antibody
Water channel protein for red blood cells and kidney proximal tubule antibody
计算分子量:28/35 kDa
配方:1*TBS (pH7.4), 1%BSA, 40%Glycerol. Preservative: 0.05% Sodium Azide.
应用详情:WB: 1:500-1:2,000
IHC: 1:50-1:200
ICC: 1:50-1:200
图片:
![AQP1 Rabbit mAb[49447]](https://img1.dxycdn.com/p/s14/2025/0923/009/6180122869278140791.jpg)
Western blot analysis of AQP1 on different cells lysates using anti-AQP1 antibody at 1/500 dilution. Positive control:
Line 1: Hela
Line 2:Jurkat
Line 3: Human kidney
,
![AQP1 Rabbit mAb[49447]](https://img1.dxycdn.com/p/s14/2025/0923/960/2519488457378140791.jpg)
Immunohistochemical analysis of paraffin-embedded mouse skeletal muscle tissue using anti-AQP1 antibody. Counter stained with hematoxylin.
,
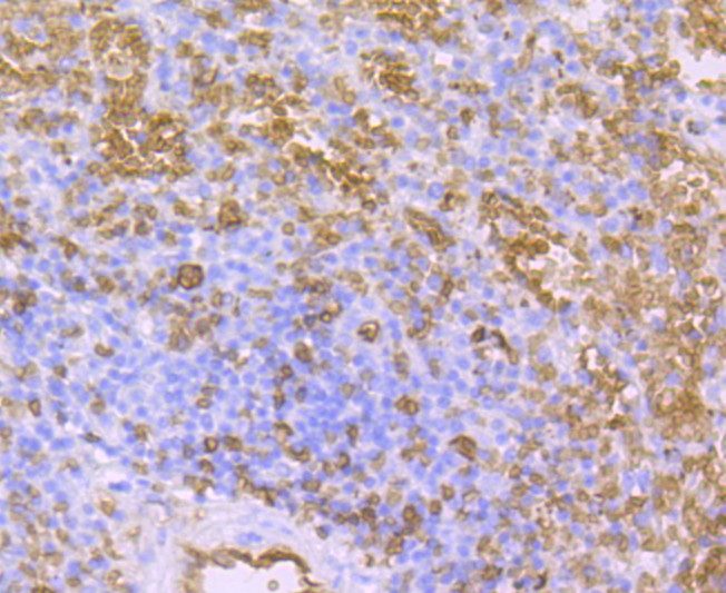
![AQP1 Rabbit mAb[49447]](https://img1.dxycdn.com/p/s14/2025/0923/199/4201021166378140791.jpg)
Immunohistochemical analysis of paraffin-embedded human spleen tissue using anti-AQP1 antibody. Counter stained with hematoxylin.
,
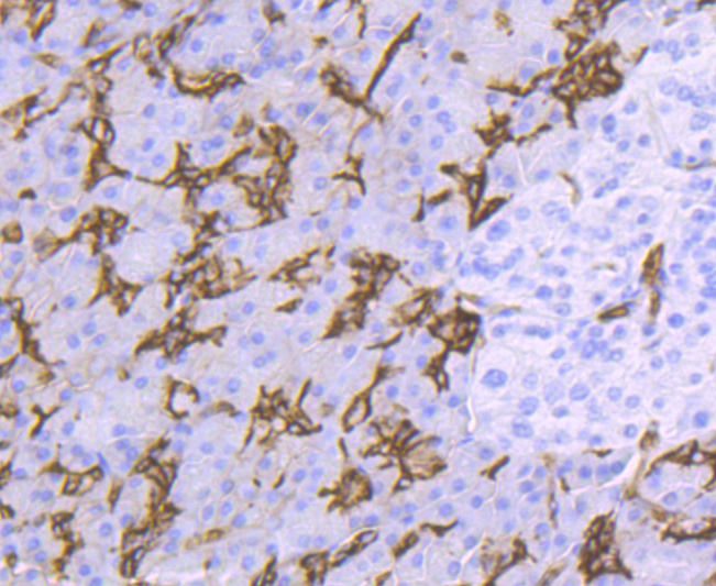
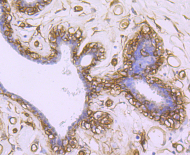
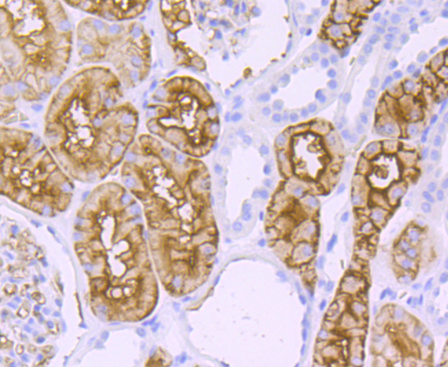
![AQP1 Rabbit mAb[49447]](https://img1.dxycdn.com/p/s14/2025/0923/121/2382953537378140791.jpg)
Immunohistochemical analysis of paraffin-embedded human kidney tissue using anti-AQP1 antibody. Counter stained with hematoxylin.
,
![AQP1 Rabbit mAb[49447]](https://img1.dxycdn.com/p/s14/2025/0923/792/4688684609378140791.jpg)
Immunohistochemical analysis of paraffin-embedded human breast tissue using anti-AQP1 antibody. Counter stained with hematoxylin.
,
![AQP1 Rabbit mAb[49447]](https://img1.dxycdn.com/p/s14/2025/0923/357/0000671839378140791.jpg)
Immunohistochemical analysis of paraffin-embedded human pancreas tissue using anti-AQP1 antibody. Counter stained with hematoxylin.
,
![AQP1 Rabbit mAb[49447]](https://img1.dxycdn.com/p/s14/2025/0923/403/6731419973378140791.jpg)
Immunohistochemical analysis of paraffin-embedded mouse colon tissue using anti-AQP1 antibody. Counter stained with hematoxylin.
,
![AQP1 Rabbit mAb[49447]](https://img1.dxycdn.com/p/s14/2025/0923/802/2992124245378140791.jpg)
ICC staining AQP1 in MCF-7 cells (red). The nuclear counter stain is DAPI (blue). Cells were fixed in paraformaldehyde, permeabilised with 0.25% Triton X100/PBS.
,
![AQP1 Rabbit mAb[49447]](https://img1.dxycdn.com/p/s14/2025/0923/105/2555145936378140791.jpg)
ICC staining AQP1 in Hela cells (red). The nuclear counter stain is DAPI (blue). Cells were fixed in paraformaldehyde, permeabilised with 0.25% Triton X100/PBS.
,
![AQP1 Rabbit mAb[49447]](https://img1.dxycdn.com/p/s14/2025/0923/327/0460658259378140791.jpg)
ICC staining AQP1 in SW480 cells (red). The nuclear counter stain is DAPI (blue). Cells were fixed in paraformaldehyde, permeabilised with 0.25% Triton X100/PBS.
风险提示:丁香通仅作为第三方平台,为商家信息发布提供平台空间。用户咨询产品时请注意保护个人信息及财产安全,合理判断,谨慎选购商品,商家和用户对交易行为负责。对于医疗器械类产品,请先查证核实企业经营资质和医疗器械产品注册证情况。
技术资料暂无技术资料 索取技术资料


![AQP1 Rabbit mAb[49447]](https://img1.dxycdn.com/p/s14/2025/0923/496/0462304380155040791.jpg)


![KCNC4 Antibody[47143]](https://img1.dxycdn.com/p/s14/2025/0923/496/0462304380155040791.jpg!wh200)
![TSC22D1 Antibody[33905]](https://img1.dxycdn.com/p/s14/2025/0922/359/6146153295428599691.jpg!wh200)
![PLEKHA7 Rabbit Polyclonal Antibody[54563]](https://img1.dxycdn.com/p/s14/2025/0922/498/0460884283108299691.jpg!wh200)
