相关产品推荐更多 >
万千商家帮你免费找货
0 人在求购买到急需产品
- 详细信息
- 文献和实验
- 技术资料
- 免疫原:
recombinant protein
- 形态:
liquid
- 保存条件:
Store at -20˚C
- 克隆性:
Monoclonal antibody
- 适应物种:
Human
- 保质期:
12 months
- 抗原来源:
Recombinant Rabbit
- 供应商:
南京赛戈巍生物科技有限公司
- 宿主:
Recombinant Rabbit
- 应用范围:
WB, ICC/IF, IHC, IP
- 靶点:
Uniprot:P01009
- 抗体英文名:
alpha 1 Antitrypsin Rabbit mAb
- 规格:
50ul/100ul
A1AT antibody
A1AT_HUMAN antibody
AAT antibody
Alpha 1 antiproteinase antibody
Alpha 1 antitrypsin antibody
Alpha 1 antitrypsin null antibody
Alpha 1 protease inhibitor antibody
Alpha-1 protease inhibitor antibody
Alpha-1-antiproteinase antibody
alpha1 proteinase inhibitor antibody
Alpha1AT antibody
Dom1 antibody
PI antibody
PI1 antibody
PRO2275 antibody
Serine (or cysteine) proteinase inhibitor clade A member 1 antibody
Serine protease inhibitor 1-1 antibody
Serine protease inhibitor A1a antibody
Serpin A1 antibody
Serpin A1a antibody
Serpin peptidase inhibitor clade A member 1 antibody
Serpina1 antibody
Short peptide from AAT antibody
SPAAT antibody
Spi1-1 antibody
计算分子量:47 kDa
配方:1*TBS (pH7.4), 1%BSA, 40%Glycerol. Preservative: 0.05% Sodium Azide.
应用详情:WB: 1:1,000-5,000
IHC: 1:50-1:200
ICC: 1:50-1:200
图片:

Western blot analysis of alpha 1 Antitrypsin on human spleen lysates using anti-alpha 1 Antitrypsin antibody at 1/1,000 dilution.
,

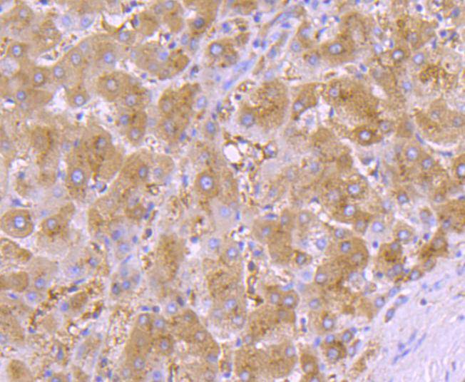
Immunohistochemical analysis of paraffin-embedded human liver tissue using anti-alpha 1 Antitrypsin antibody. Counter stained with hematoxylin.
,

Immunohistochemical analysis of paraffin-embedded human spleen tissue using anti-alpha 1 Antitrypsin antibody. Counter stained with hematoxylin.
,

Immunohistochemical analysis of paraffin-embedded human breast carcinoma tissue using anti-alpha 1 Antitrypsin antibody. Counter stained with hematoxylin.
,

ICC staining alpha 1 Antitrypsin in Hela cells (red). The nuclear counter stain is DAPI (blue). Cells were fixed in paraformaldehyde, permeabilised with 0.25% Triton X100/PBS.
,

ICC staining alpha 1 Antitrypsin in MCF-7 cells (red). The nuclear counter stain is DAPI (blue). Cells were fixed in paraformaldehyde, permeabilised with 0.25% Triton X100/PBS.
,

ICC staining alpha 1 Antitrypsin in HepG2 cells (red). The nuclear counter stain is DAPI (blue). Cells were fixed in paraformaldehyde, permeabilised with 0.25% Triton X100/PBS.
风险提示:丁香通仅作为第三方平台,为商家信息发布提供平台空间。用户咨询产品时请注意保护个人信息及财产安全,合理判断,谨慎选购商品,商家和用户对交易行为负责。对于医疗器械类产品,请先查证核实企业经营资质和医疗器械产品注册证情况。
文献和实验Immunohistochemistry / Immunocytochemistry Procedures
of fixative for each antigen. However frozen sections give less morphological detail and resolution than other methods. Rabbit anti-alpha-internexin (Cat No. AB5354
High‐Throughput, Multiplexed Analysis of 3‐Nitrotyrosine in Individual Proteins
.1 ) Phosphate‐buffered saline (PBS; Fisher Scientific) Alexa Fluor 546–conjugated goat anti—rabbit IgG (Invitrogen, cat. no. A‐11035
【资源】全面归类网址:毕赤酵母表达各种来源蛋白(细菌,真菌,植物,人类等)
Heterologous Proteins Expressed in Pichia pastoris有以下几部分组成:Protein CommentsMode, amount,signal sequenceReferences and Links分别分物种来源如下:BacteriaAlpha galactosidaseS453Bacillus licheniformis alpha-amylaseS, 2.5 g/L, SUC2[53, 54]Bacillus
技术资料暂无技术资料 索取技术资料





![JNK1/2/3 (phospho-Thr183) Polyclonal Antibody[13770]](https://img1.dxycdn.com/p/s14/2025/0922/498/0460884283108299691.jpg!wh200)
![SYNPO2L Polyclonal Antibody[27758]](https://img1.dxycdn.com/p/s14/2025/0923/305/2150219664296040791.jpg!wh200)
![Collagen I Rabbit mAb[56017]](https://img1.dxycdn.com/p/s14/2025/0922/632/2321321568067599691.jpg!wh200)
![ACLY Antibody[36267]](https://img1.dxycdn.com/p/s14/2025/0922/359/6146153295428599691.jpg!wh200)
