相关产品推荐更多 >
万千商家帮你免费找货
0 人在求购买到急需产品
- 详细信息
- 技术资料
- 免疫原:
A synthesized peptide derived from human CD74
- 形态:
liquid
- 保存条件:
Store at -20˚C
- 克隆性:
Monoclonal
- 适应物种:
Human
- 保质期:
12 months
- 抗原来源:
Recombinant Rabbit
- 供应商:
南京赛戈巍生物科技有限公司
- 宿主:
Recombinant Rabbit
- 应用范围:
WB, ICC/IF, IHC, FC
- 靶点:
Uniprot:P04233
- 抗体英文名:
CD74 Rabbit mAb
- 规格:
50ul/100ul
CD74 antibody
CD74 antigen (invariant polypeptide of major histocompatibility complex, class II antigen-associated) antibody
CD74 antigen antibody
CD74 molecule antibody
CD74 molecule, major histocompatibility complex, class II invariant chain antibody
CLIP antibody
DHLAG antibody
Gamma chain of class II antigens antibody
HG2A_HUMAN antibody
HLA class II histocompatibility antigen gamma chain antibody
HLA DR antigens associated invariant chain antibody
HLA DR gamma antibody
HLA-DR antigens-associated invariant chain antibody
HLA-DR-gamma antibody
HLADG antibody
HLADR antigens associated invariant chain antibody
Ia antigen associated invariant chain antibody
Ia antigen-associated invariant chain antibody
Ia associated invariant chain antibody
Ia gamma antibody
Ii antibody
Invariant polypeptide of major histocompatibility complex class II antigen associated antibody
la-gamma antibody
Major histocompatibility complex class II invariant chain antibody
MHC HLA DR gamma chain antibody
MHC HLA-DR gamma chain antibody
p33 antibody
p35 antibody
Protein 41 antibody
计算分子量:34 kDa
配方:Rabbit IgG in phosphate buffered saline , pH 7.4, 150mM NaCl, 0.02% sodium azide and 50% glycerol.
应用详情:
WB: 1:1,000-5,000
IHC: 1:50-1:200
ICC: 1:50-1:200
FC: 1:50-1:100
图片:
![CD74 Rabbit mAb[49365]](https://img1.dxycdn.com/p/s14/2025/0923/105/4019991606538140791.jpg)
Western blot analysis of CD74 on Raji cells lysates using anti-CD74 antibody at 1/1,000 dilution.
,
![CD74 Rabbit mAb[49365]](https://img1.dxycdn.com/p/s14/2025/0923/820/2158216352638140791.jpg)
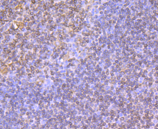
Immunohistochemical analysis of paraffin-embedded human spleen tissue using anti-CD74 antibody. Counter stained with hematoxylin.
,
![CD74 Rabbit mAb[49365]](https://img1.dxycdn.com/p/s14/2025/0923/284/0046048792638140791.jpg)
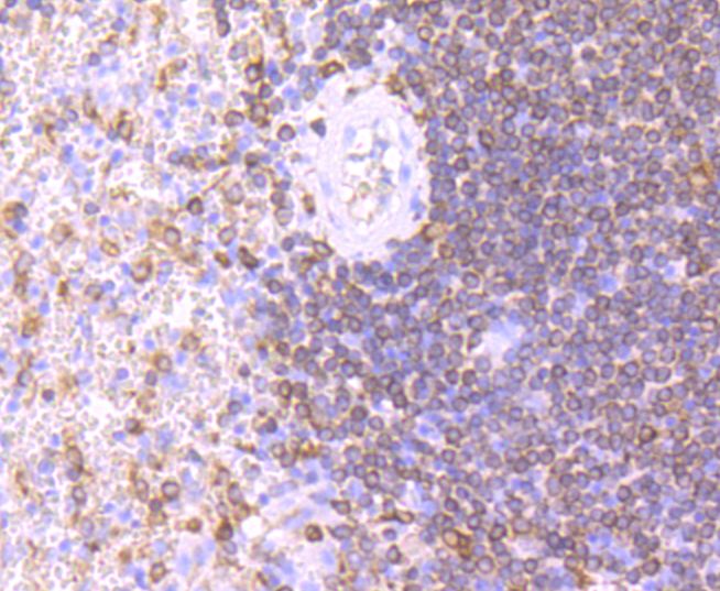
Immunohistochemical analysis of paraffin-embedded human tonsil tissue using anti-CD74 antibody. Counter stained with hematoxylin.
,
![CD74 Rabbit mAb[49365]](https://img1.dxycdn.com/p/s14/2025/0923/505/2950175248538140791.jpg)
ICC staining CD74 in Hela cells (red). The nuclear counter stain is DAPI (blue). Cells were fixed in paraformaldehyde, permeabilised with 0.25% Triton X100/PBS.
,
![CD74 Rabbit mAb[49365]](https://img1.dxycdn.com/p/s14/2025/0923/189/6357589820638140791.jpg)
ICC staining CD74 in HepG2 cells (red). The nuclear counter stain is DAPI (blue). Cells were fixed in paraformaldehyde, permeabilised with 0.25% Triton X100/PBS.
,
![CD74 Rabbit mAb[49365]](https://img1.dxycdn.com/p/s14/2025/0923/164/6716494431638140791.jpg)
ICC staining CD74 in 293T cells (red). The nuclear counter stain is DAPI (blue). Cells were fixed in paraformaldehyde, permeabilised with 0.25% Triton X100/PBS.
,
![CD74 Rabbit mAb[49365]](https://img1.dxycdn.com/p/s14/2025/0923/982/0614005926538140791.jpg)
Flow cytometric analysis of Jurkat cells with CD74 antibody at 1/50 dilution (red) compared with an unlabelled control (cells without incubation with primary antibody; black). Alexa Fluor 488-conjugated goat anti rabbit IgG was used as the secondary antibody.
风险提示:丁香通仅作为第三方平台,为商家信息发布提供平台空间。用户咨询产品时请注意保护个人信息及财产安全,合理判断,谨慎选购商品,商家和用户对交易行为负责。对于医疗器械类产品,请先查证核实企业经营资质和医疗器械产品注册证情况。
技术资料暂无技术资料 索取技术资料


![CD74 Rabbit mAb[49365]](https://img1.dxycdn.com/p/s14/2025/0923/496/0462304380155040791.jpg)


![RAB11FIP2 Antibody[34949]](https://img1.dxycdn.com/p/s14/2025/0922/359/6146153295428599691.jpg!wh200)
![HOOK3 Rabbit Polyclonal Antibody[54048]](https://img1.dxycdn.com/p/s14/2025/0922/498/0460884283108299691.jpg!wh200)
![SNX5 Conjugated Antibody[C37964]](https://img1.dxycdn.com/p/s14/2025/0923/278/4431488150116040791.jpg!wh200)
