相关产品推荐更多 >
万千商家帮你免费找货
0 人在求购买到急需产品
- 详细信息
- 技术资料
- 免疫原:
recombinant protein
- 形态:
liquid
- 保存条件:
Store at -20˚C
- 克隆性:
Monoclonal antibody
- 适应物种:
Human
- 保质期:
12 months
- 抗原来源:
Recombinant Rabbit
- 供应商:
南京赛戈巍生物科技有限公司
- 宿主:
Recombinant Rabbit
- 应用范围:
WB, ICC/IF, IHC, IP, FC
- 靶点:
Uniprot:P14209
- 抗体英文名:
CD99 Rabbit mAb
- 规格:
50ul/100ul
Antigen identified by monoclonal 12E7, Y homolog antibody
Antigen identified by monoclonal antibodies 12E7, F21 and O13 antibody
CD99 antibody
CD99 antigen antibody
CD99 molecule antibody
CD99_HUMAN antibody
Cell surface antigen 12E7 antibody
Cell surface antigen HBA 71 antibody
Cell surface antigen O13 antibody
E2 antigen antibody
HBA71 antibody
MIC 2X antibody
MIC 2Y antibody
MIC2 (monoclonal antibody
12E7) antibody
MIC2 antibody
MIC2X antibody
MIC2Y antibody
MSK5X antibody
Protein MIC2 antibody
Surface antigen MIC2 antibody
T cell surface glycoprotein E2 antibody
T-cell surface glycoprotein E2 antibody
计算分子量:25 kDa
配方:1*TBS (pH7.4), 1%BSA, 40%Glycerol. Preservative: 0.05% Sodium Azide.
应用详情:WB: 1:1,000-1:2,000
IHC: 1:50-1:200
ICC: 1:50-1:200
FC: 1:50-1:100
图片:
![CD99 Rabbit mAb[49349]](https://img1.dxycdn.com/p/s14/2025/0923/577/0006121001228140791.jpg)
Western blot analysis of CD99 on THP-1 cells lysates using anti-CD99 antibody at 1/1,000 dilution.
,
![CD99 Rabbit mAb[49349]](https://img1.dxycdn.com/p/s14/2025/0923/928/4891807447328140791.jpg)
Immunohistochemical analysis of paraffin-embedded human pancreas tissue using anti-CD99 antibody. Counter stained with hematoxylin.
,
![CD99 Rabbit mAb[49349]](https://img1.dxycdn.com/p/s14/2025/0923/333/6125202478228140791.jpg)
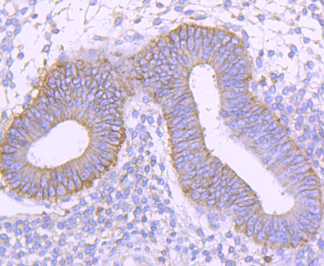
Immunohistochemical analysis of paraffin-embedded human uterus tissue using anti-CD99 antibody. Counter stained with hematoxylin.
,
![CD99 Rabbit mAb[49349]](https://img1.dxycdn.com/p/s14/2025/0923/906/4471728905328140791.jpg)
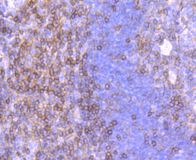
Immunohistochemical analysis of paraffin-embedded human tonsil tissue using anti-CD99 antibody. Counter stained with hematoxylin.
,
![CD99 Rabbit mAb[49349]](https://img1.dxycdn.com/p/s14/2025/0923/415/2382117304328140791.jpg)
ICC staining CD99 in Hela cells (red). The nuclear counter stain is DAPI (blue). Cells were fixed in paraformaldehyde, permeabilised with 0.25% Triton X100/PBS.
,
![CD99 Rabbit mAb[49349]](https://img1.dxycdn.com/p/s14/2025/0923/293/0295017545328140791.jpg)
ICC staining CD99 in PANC-1 cells (red). The nuclear counter stain is DAPI (blue). Cells were fixed in paraformaldehyde, permeabilised with 0.25% Triton X100/PBS.
,
![CD99 Rabbit mAb[49349]](https://img1.dxycdn.com/p/s14/2025/0923/583/2595638943328140791.jpg)
ICC staining CD99 in PC-3M cells (red). The nuclear counter stain is DAPI (blue). Cells were fixed in paraformaldehyde, permeabilised with 0.25% Triton X100/PBS.
,
![CD99 Rabbit mAb[49349]](https://img1.dxycdn.com/p/s14/2025/0923/436/2517549461228140791.jpg)
Flow cytometric analysis of Jurkat cells with CD99 antibody at 1/50 dilution (red) compared with an unlabelled control (cells without incubation with primary antibody; black). Alexa Fluor 488-conjugated goat anti rabbit IgG was used as the secondary antibody.
风险提示:丁香通仅作为第三方平台,为商家信息发布提供平台空间。用户咨询产品时请注意保护个人信息及财产安全,合理判断,谨慎选购商品,商家和用户对交易行为负责。对于医疗器械类产品,请先查证核实企业经营资质和医疗器械产品注册证情况。
技术资料暂无技术资料 索取技术资料


![CD99 Rabbit mAb[49349]](https://img1.dxycdn.com/p/s14/2025/0923/496/0462304380155040791.jpg)



![COL1A2 Polyclonal Antibody[40771]](https://img1.dxycdn.com/p/s14/2025/0922/568/0046652811090600791.jpg!wh200)
![ZO2 Antibody[48197]](https://img1.dxycdn.com/p/s14/2025/0923/496/0462304380155040791.jpg!wh200)
![ATG16L1 Mouse mAb[63103]](https://img1.dxycdn.com/p/s14/2025/0922/632/2321321568067599691.jpg!wh200)
