相关产品推荐更多 >
万千商家帮你免费找货
0 人在求购买到急需产品
- 详细信息
- 技术资料
- 免疫原:
recombinant protein
- 形态:
liquid
- 保存条件:
Store at -20˚C
- 克隆性:
Monoclonal antibody
- 适应物种:
Human
- 保质期:
12 months
- 抗原来源:
Recombinant Rabbit
- 供应商:
南京赛戈巍生物科技有限公司
- 宿主:
Recombinant Rabbit
- 应用范围:
WB, IHC, IP, FC
- 靶点:
Uniprot:Q92851
- 抗体英文名:
Caspase-10 Rabbit mAb
- 规格:
50ul/100ul
Apoptotic protease Mch-4 antibody
CASP 10 antibody
CASP-10 antibody
CASP10 antibody
CASPA_HUMAN antibody
Caspase 10 apoptosis related cysteine peptidase antibody
Caspase-10 subunit p12 antibody
FADD like ICE2 antibody
Fas associated death domain protein antibody
FAS-associated death domain protein interleukin-1B-converting enzyme 2 antibody
FLICE 2 antibody
FLICE2 antibody
ICE like apoptotic protease 4 antibody
ICE-like apoptotic protease 4 antibody
Interleukin 1B converting enzyme 2 antibody
MCH 4 antibody
计算分子量:59 kDa
配方:1*TBS (pH7.4), 1%BSA, 40%Glycerol. Preservative: 0.05% Sodium Azide.
应用详情:WB: 1:1,000-1:2,000
IHC: 1:50-1:200
FC: 1:50-1:100
图片:
![Caspase-10 Rabbit mAb[49264]](https://img1.dxycdn.com/p/s14/2025/0923/390/4416086132077140791.jpg)
Western blot analysis of Caspase-10 on K562 cells lysates using anti-Caspase-10 antibody at 1/1,000 dilution.
,
![Caspase-10 Rabbit mAb[49264]](https://img1.dxycdn.com/p/s14/2025/0923/917/0061425852077140791.jpg)
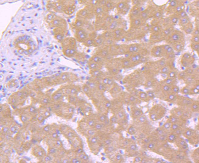
Immunohistochemical analysis of paraffin-embedded human liver cancer tissue using anti-Caspase-10 antibody. Counter stained with hematoxylin.
,
![Caspase-10 Rabbit mAb[49264]](https://img1.dxycdn.com/p/s14/2025/0923/643/0675272162077140791.jpg)
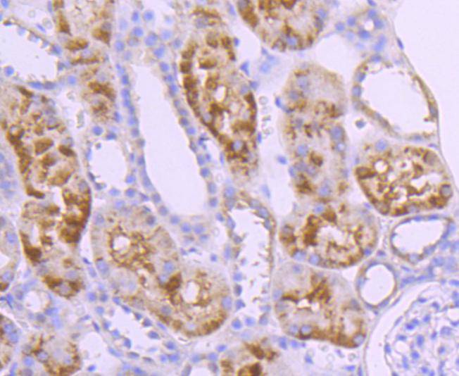
Immunohistochemical analysis of paraffin-embedded human kidney tissue using anti-Caspase-10 antibody. Counter stained with hematoxylin.
,
![Caspase-10 Rabbit mAb[49264]](https://img1.dxycdn.com/p/s14/2025/0923/889/2574915232077140791.jpg)
Flow cytometric analysis of K562 cells with Caspase-10 antibody at 1/50 dilution (red) compared with an unlabelled control (cells without incubation with primary antibody; black). Alexa Fluor 488-conjugated goat anti rabbit IgG was used as the secondary antibody
风险提示:丁香通仅作为第三方平台,为商家信息发布提供平台空间。用户咨询产品时请注意保护个人信息及财产安全,合理判断,谨慎选购商品,商家和用户对交易行为负责。对于医疗器械类产品,请先查证核实企业经营资质和医疗器械产品注册证情况。
技术资料暂无技术资料 索取技术资料


![Caspase-10 Rabbit mAb[49264]](https://img1.dxycdn.com/p/s14/2025/0923/496/0462304380155040791.jpg)


![MOB1A Mouse mAb[63939]](https://img1.dxycdn.com/p/s14/2025/0922/632/2321321568067599691.jpg!wh200)
![ATP2C1 Antibody[35468]](https://img1.dxycdn.com/p/s14/2025/0922/359/6146153295428599691.jpg!wh200)
![Vasopressin V1b receptor Polyclonal Antibody;[42598]](https://img1.dxycdn.com/p/s14/2025/0922/568/0046652811090600791.jpg!wh200)

