相关产品推荐更多 >
万千商家帮你免费找货
0 人在求购买到急需产品
- 详细信息
- 技术资料
- 免疫原:
Synthetic phospho-peptide corresponding to residues surrounding Thr91 of human c-Jun.
- 形态:
liquid
- 保存条件:
Store at -20˚C
- 克隆性:
Monoclonal
- 适应物种:
Human;Mouse;Rat
- 保质期:
12 months
- 抗原来源:
Recombinant Rabbit
- 供应商:
南京赛戈巍生物科技有限公司
- 宿主:
Recombinant Rabbit
- 应用范围:
WB;ICC/IF;IHC
- 靶点:
Uniprot:P05412
- 抗体英文名:
c-Jun(Phospho-T91) Rabbit mAb
- 规格:
50ul/100ul
AP 1 antibody
AP1 antibody
cJun antibody
Enhancer Binding Protein AP1 antibody
Jun Activation Domain Binding Protein antibody
JUN antibody
Jun oncogene antibody
JUN protein antibody
Jun proto oncogene antibody
JUN_HUMAN antibody
JUNC antibody
Oncogene JUN antibody
p39 antibody
Proto oncogene c jun antibody
Proto oncogene cJun antibody
Proto-oncogene c-jun antibody
Transcription Factor AP 1 antibody
Transcription factor AP-1 antibody
Transcription Factor AP1 antibody
V jun avian sarcoma virus 17 oncogene homolog antibody
V jun sarcoma virus 17 oncogene homolog (avian) antibody
V jun sarcoma virus 17 oncogene homolog antibody
V-jun avian sarcoma virus 17 oncogene homolog antibody
vJun Avian Sarcoma Virus 17 Oncogene Homolog antibody
计算分子量:36 kDa
配方:1*TBS (pH7.4), 1%BSA, 40%Glycerol. Preservative: 0.05% Sodium Azide.
应用详情:WB: 1:500-1:2000
ICC/IF: 1:50-1:200
IHC: 1:50-1:200
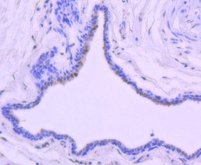
图片:

Immunohistochemical analysis of paraffin-embedded human breast carcinoma tissue using anti-Phospho-c-Jun(T91) antibody. Counter stained with hematoxylin.
,

ICC staining Phospho-c-Jun(T91) in HepG2 cells (green). The nuclear counter stain is DAPI (blue). Cells were fixed in paraformaldehyde, permeabilised with 0.25% Triton X100/PBS.
,

ICC staining Phospho-c-Jun(T91) in MCF-7 cells (green). The nuclear counter stain is DAPI (blue). Cells were fixed in paraformaldehyde, permeabilised with 0.25% Triton X100/PBS.
风险提示:丁香通仅作为第三方平台,为商家信息发布提供平台空间。用户咨询产品时请注意保护个人信息及财产安全,合理判断,谨慎选购商品,商家和用户对交易行为负责。对于医疗器械类产品,请先查证核实企业经营资质和医疗器械产品注册证情况。
技术资料暂无技术资料 索取技术资料


![Phospho-c-Jun(T91) Rabbit mAb[13420]](https://img1.dxycdn.com/p/s14/2025/0923/496/0462304380155040791.jpg)


![SERPINH1 Rabbit Polyclonal Antibody[53619]](https://img1.dxycdn.com/p/s14/2025/0922/498/0460884283108299691.jpg!wh200)
![TGOLN2 Polyclonal Antibody[29941]](https://img1.dxycdn.com/p/s14/2025/0923/305/2150219664296040791.jpg!wh200)
![SOX13 Conjugated Antibody[C37250]](https://img1.dxycdn.com/p/s14/2025/0923/278/4431488150116040791.jpg!wh200)
