相关产品推荐更多 >
万千商家帮你免费找货
0 人在求购买到急需产品
- 详细信息
- 技术资料
- 免疫原:
Synthetic phospho-peptide corresponding to residues surrounding Ser78 of human Hsp27.
- 形态:
liquid
- 保存条件:
Store at -20˚C
- 克隆性:
Monoclonal
- 适应物种:
Human
- 保质期:
12 months
- 抗原来源:
Recombinant Rabbit
- 供应商:
南京赛戈巍生物科技有限公司
- 宿主:
Recombinant Rabbit
- 应用范围:
WB;ICC/IF;IHC
- 靶点:
Uniprot:P04792
- 抗体英文名:
Hsp27(Phospho-S78) Rabbit mAb
- 规格:
50ul/100ul
28 kDa heat shock protein antibody
CMT2F antibody
DKFZp586P1322 antibody
epididymis secretory protein Li 102 antibody
Estrogen regulated 24 kDa protein antibody
Estrogen-regulated 24 kDa protein antibody
Heat shock 25kDa protein 1 antibody
Heat shock 27 kDa protein antibody
Heat shock 27kD protein 1 antibody
Heat shock 27kDa protein 1 antibody
Heat shock 28kDa protein 1 antibody
Heat Shock Protein 27 antibody
Heat shock protein beta 1 antibody
Heat shock protein beta-1 antibody
heat shock protein family B (small) member 1 antibody
HEL-S-102 antibody
HMN2B antibody
HS.76067 antibody
Hsp 25 antibody
HSP 27 antibody
Hsp 28 antibody
Hsp B1 antibody
Hsp25 antibody
HSP27 antibody
Hsp28 antibody
HspB1 antibody
HSPB1_HUMAN antibody
SRP27 antibody
Stress responsive protein 27 antibody
Stress-responsive protein 27 antibody
计算分子量:23 kDa
配方:1*TBS (pH7.4), 1%BSA, 40%Glycerol. Preservative: 0.05% Sodium Azide.
应用详情:WB: 1:500-1:2000
ICC/IF: 1:50-1:200
IHC: 1:50-1:200
图片:

Western blot analysis of Phospho-Hsp27(S78) on different lysates using anti-Phospho-Hsp27(S78) antibody at 1/1,000 dilution. Positive control:
Lane 1: Human heart
Lane 2: Human skeletal muscle
,

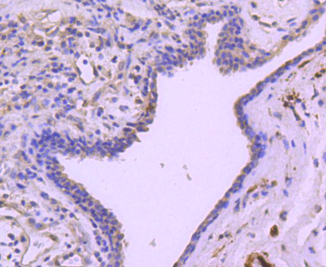
Immunohistochemical analysis of paraffin-embedded human breast carcinoma tissue using anti-Phospho-Hsp27(S78) antibody. Counter stained with hematoxylin.
,

ICC staining Phospho-Hsp27(S78) in Hela cells (green). The nuclear counter stain is DAPI (blue). Cells were fixed in paraformaldehyde, permeabilised with 0.25% Triton X100/PBS.
,

ICC staining Phospho-Hsp27(S78) in MCF-7 cells (green). The nuclear counter stain is DAPI (blue). Cells were fixed in paraformaldehyde, permeabilised with 0.25% Triton X100/PBS.
,

ICC staining Phospho-Hsp27(S78) in NIH/3T3 cells (green). The nuclear counter stain is DAPI (blue). Cells were fixed in paraformaldehyde, permeabilised with 0.25% Triton X100/PBS.
风险提示:丁香通仅作为第三方平台,为商家信息发布提供平台空间。用户咨询产品时请注意保护个人信息及财产安全,合理判断,谨慎选购商品,商家和用户对交易行为负责。对于医疗器械类产品,请先查证核实企业经营资质和医疗器械产品注册证情况。
技术资料暂无技术资料 索取技术资料


![Phospho-Hsp27(S78) Rabbit mAb[13415]](https://img1.dxycdn.com/p/s14/2025/0923/496/0462304380155040791.jpg)


![DPH7 Antibody[42855]](https://img1.dxycdn.com/p/s14/2025/0922/568/0046652811090600791.jpg!wh200)
![ERCC5 antibody[38266]](https://img1.dxycdn.com/p/s14/2025/0922/359/6146153295428599691.jpg!wh200)
![AQP5 Conjugated Antibody[C56100]](https://img1.dxycdn.com/p/s14/2025/0922/632/2321321568067599691.jpg!wh200)
![TNPO3 Conjugated Antibody[C49947]](https://img1.dxycdn.com/p/s14/2025/0923/305/2150219664296040791.jpg!wh200)
