相关产品推荐更多 >
万千商家帮你免费找货
0 人在求购买到急需产品
- 详细信息
- 技术资料
- 免疫原:
recombinant protein
- 形态:
liquid
- 保存条件:
Store at -20˚C
- 克隆性:
Monoclonal antibody
- 适应物种:
Human;Mouse;Rat
- 保质期:
12 months
- 抗原来源:
Recombinant Rabbit
- 供应商:
南京赛戈巍生物科技有限公司
- 宿主:
Recombinant Rabbit
- 应用范围:
WB, ICC/IF, IHC, IP
- 靶点:
Uniprot:P63167
- 抗体英文名:
DYNLL1 Rabbit mAb
- 规格:
50ul/100ul
8kDLC antibody
Cytoplasmic dynein light polypeptide antibody
DLC1 antibody
DLC8 antibody
DNCL1 antibody
DNCLC1 antibody
DYL1_HUMAN antibody
Dynein , cytoplasmic, light chain 1 antibody
Dynein light chain 1 cytoplasmic antibody
Dynein light chain 1, cytoplasmic antibody
Dynein light chain LC8 type 1 antibody
Dynein light chain LC8-type 1 antibody
Dynein, cytoplasmic, light polypeptide 1 antibody
Dynein, light chain, LC8-type 1 antibody
DYNLL1 antibody
HDLC1 antibody
LC8 antibody
LC8a antibody
MGC126137 antibody
MGC126138 antibody
MGC72986 antibody
PIN antibody
Protein inhibitor of neuronal nitric oxide synthase antibody
Protein inhibitor of neuronal NOS antibody
计算分子量:10 kDa
配方:1*TBS (pH7.4), 1%BSA, 40%Glycerol. Preservative: 0.05% Sodium Azide.
应用详情:WB: 1:1,000-1:2,000
IHC: 1:50-1:200
ICC: 1:50-1:200
图片:
![DYNLL1 Rabbit mAb[49177]](https://img1.dxycdn.com/p/s14/2025/0923/304/4203992529057140791.jpg)
Western blot analysis of DYNLL1 on MCF-7 cells lysates using anti-DYNLL1 antibody at 1/1,000 dilution.
,
![DYNLL1 Rabbit mAb[49177]](https://img1.dxycdn.com/p/s14/2025/0923/227/8866834949057140791.jpg)
Immunohistochemical analysis of paraffin-embedded mouse liver tissue using anti-DYNLL1 antibody. Counter stained with hematoxylin.
,
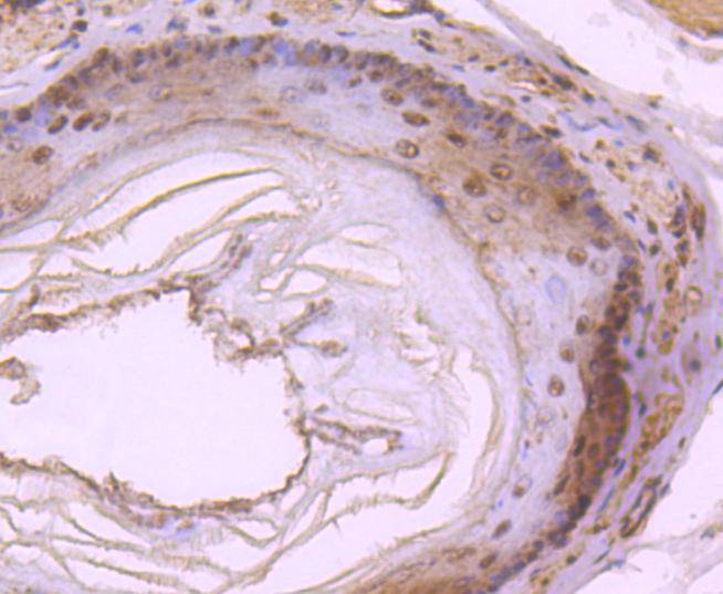
![DYNLL1 Rabbit mAb[49177]](https://img1.dxycdn.com/p/s14/2025/0923/631/0069696059057140791.jpg)
Immunohistochemical analysis of paraffin-embedded rat esophagus tissue using anti-DYNLL1 antibody. Counter stained with hematoxylin.
,
![DYNLL1 Rabbit mAb[49177]](https://img1.dxycdn.com/p/s14/2025/0923/907/2321595229057140791.jpg)
ICC staining DYNLL1 in Hela cells (green). The nuclear counter stain is DAPI (blue). Cells were fixed in paraformaldehyde, permeabilised with 0.25% Triton X100/PBS.
,
![DYNLL1 Rabbit mAb[49177]](https://img1.dxycdn.com/p/s14/2025/0923/241/8279236359057140791.jpg)
ICC staining DYNLL1 in HepG2 cells (green). The nuclear counter stain is DAPI (blue). Cells were fixed in paraformaldehyde, permeabilised with 0.25% Triton X100/PBS.
,
![DYNLL1 Rabbit mAb[49177]](https://img1.dxycdn.com/p/s14/2025/0923/409/2931104359057140791.jpg)
ICC staining DYNLL1 in 293T cells (green). The nuclear counter stain is DAPI (blue). Cells were fixed in paraformaldehyde, permeabilised with 0.25% Triton X100/PBS.
风险提示:丁香通仅作为第三方平台,为商家信息发布提供平台空间。用户咨询产品时请注意保护个人信息及财产安全,合理判断,谨慎选购商品,商家和用户对交易行为负责。对于医疗器械类产品,请先查证核实企业经营资质和医疗器械产品注册证情况。
技术资料暂无技术资料 索取技术资料


![DYNLL1 Rabbit mAb[49177]](https://img1.dxycdn.com/p/s14/2025/0923/496/0462304380155040791.jpg)


![MAPKAP1 Polyclonal Antibody[42671]](https://img1.dxycdn.com/p/s14/2025/0922/568/0046652811090600791.jpg!wh200)
![DUT antibody[38489]](https://img1.dxycdn.com/p/s14/2025/0922/359/6146153295428599691.jpg!wh200)
![ABI2 Conjugated Antibody[C56814]](https://img1.dxycdn.com/p/s14/2025/0922/632/2321321568067599691.jpg!wh200)
![Citrate synthetase Conjugated Antibody[C49726]](https://img1.dxycdn.com/p/s14/2025/0923/305/2150219664296040791.jpg!wh200)
