相关产品推荐更多 >
万千商家帮你免费找货
0 人在求购买到急需产品
- 详细信息
- 技术资料
- 免疫原:
recombinant protein
- 形态:
liquid
- 保存条件:
Store at -20˚C
- 克隆性:
Monoclonal antibody
- 适应物种:
Human
- 保质期:
12 months
- 抗原来源:
Recombinant Rabbit
- 供应商:
南京赛戈巍生物科技有限公司
- 宿主:
Recombinant Rabbit
- 应用范围:
WB, ICC/IF, IHC
- 靶点:
Uniprot:P35568
- 抗体英文名:
IRS1 Rabbit mAb
- 规格:
50ul/100ul
HIRS1 antibody
Insulin receptor substrate 1 antibody
IRS 1 antibody
IRS-1 antibody
IRS1 antibody
IRS1_HUMAN antibody
OTTHUMP00000164234 antibody
计算分子量:170 kDa
配方:1*TBS (pH7.4), 1%BSA, 40%Glycerol. Preservative: 0.05% Sodium Azide.
应用详情:WB: 1:1,000-1:2,000
IHC: 1:50-1:200
ICC: 1:50-1:200
图片:
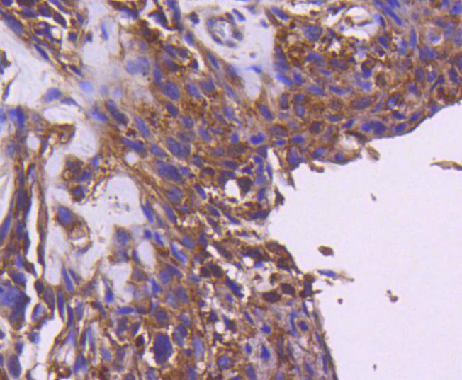
![IRS1 Rabbit mAb[49156]](https://img1.dxycdn.com/p/s14/2025/0923/275/8020380493547140791.jpg)
Immunohistochemical analysis of paraffin-embedded human breast carcinoma tissue using anti-IRS1 antibody. Counter stained with hematoxylin.
,
![IRS1 Rabbit mAb[49156]](https://img1.dxycdn.com/p/s14/2025/0923/866/0422425963547140791.jpg)
ICC staining IRS1 in SW480 cells (green). The nuclear counter stain is DAPI (blue). Cells were fixed in paraformaldehyde, permeabilised with 0.25% Triton X100/PBS.
,
![IRS1 Rabbit mAb[49156]](https://img1.dxycdn.com/p/s14/2025/0923/214/1422425963547140791.jpg)
ICC staining IRS1 in Hela cells (green). The nuclear counter stain is DAPI (blue). Cells were fixed in paraformaldehyde, permeabilised with 0.25% Triton X100/PBS.
,
![IRS1 Rabbit mAb[49156]](https://img1.dxycdn.com/p/s14/2025/0923/241/2977334173547140791.jpg)
ICC staining IRS1 in MCF-7 cells (green). The nuclear counter stain is DAPI (blue). Cells were fixed in paraformaldehyde, permeabilised with 0.25% Triton X100/PBS.
风险提示:丁香通仅作为第三方平台,为商家信息发布提供平台空间。用户咨询产品时请注意保护个人信息及财产安全,合理判断,谨慎选购商品,商家和用户对交易行为负责。对于医疗器械类产品,请先查证核实企业经营资质和医疗器械产品注册证情况。
技术资料暂无技术资料 索取技术资料


![IRS1 Rabbit mAb[49156]](https://img1.dxycdn.com/p/s14/2025/0923/496/0462304380155040791.jpg)


![RASSF1 Antibody[42729]](https://img1.dxycdn.com/p/s14/2025/0922/568/0046652811090600791.jpg!wh200)
![ROS1 Polyclonal Antibody Biotin Conjugated[C91740Bio]](https://img1.dxycdn.com/p/s14/2025/0922/498/0460884283108299691.jpg!wh200)
![GNPDA1 Polyclonal Antibody[28321]](https://img1.dxycdn.com/p/s14/2025/0923/305/2150219664296040791.jpg!wh200)
![TMEM141 Antibody[47428]](https://img1.dxycdn.com/p/s14/2025/0923/496/0462304380155040791.jpg!wh200)
