相关产品推荐更多 >
万千商家帮你免费找货
0 人在求购买到急需产品
- 详细信息
- 技术资料
- 免疫原:
Synthetic phospho-peptide corresponding to residues surrounding Thr77 of human Cyclin E1.
- 形态:
liquid
- 保存条件:
Store at -20˚C
- 克隆性:
Monoclonal
- 适应物种:
Human
- 保质期:
12 months
- 抗原来源:
Recombinant Rabbit
- 供应商:
南京赛戈巍生物科技有限公司
- 宿主:
Recombinant Rabbit
- 应用范围:
WB;ICC/IF;IHC
- 靶点:
Uniprot:P24864
- 抗体英文名:
Cyclin E1(Phospho-T77) Rabbit mAb
- 规格:
50ul/100ul
Ccne1 antibody
CCNE1_HUMAN antibody
cyclin E variant ex5del antibody
cyclin E variant ex7del antibody
Cyclin E1 antibody
Cyclin Es antibody
Cyclin Et antibody
CyclinE antibody
G1/S specific cyclin E antibody
G1/S-specific cyclin-E1 antibody
计算分子量:47 kDa
配方:1*TBS (pH7.4), 1%BSA, 40%Glycerol. Preservative: 0.05% Sodium Azide.
应用详情:WB: 1:500-1:2000
ICC/IF: 1:50-1:200
IHC: 1:50-1:200
图片:

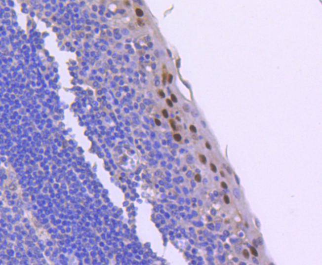
Immunohistochemical analysis of paraffin-embedded human tonsil tissue using anti-Phospho-Cyclin E1(T77) antibody. Counter stained with hematoxylin.
,

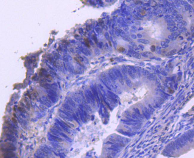
Immunohistochemical analysis of paraffin-embedded human colon cancer tissue using anti-Phospho-Cyclin E1(T77) antibody. Counter stained with hematoxylin.
,

ICC staining Phospho-Cyclin E1(T77) in SW480 cells (green). The nuclear counter stain is DAPI (blue). Cells were fixed in paraformaldehyde, permeabilised with 0.25% Triton X100/PBS.
,

ICC staining Phospho-Cyclin E1(T77) in Hela cells (green). The nuclear counter stain is DAPI (blue). Cells were fixed in paraformaldehyde, permeabilised with 0.25% Triton X100/PBS.
,

ICC staining Phospho-Cyclin E1(T77) in HepG2 cells (green). The nuclear counter stain is DAPI (blue). Cells were fixed in paraformaldehyde, permeabilised with 0.25% Triton X100/PBS.
风险提示:丁香通仅作为第三方平台,为商家信息发布提供平台空间。用户咨询产品时请注意保护个人信息及财产安全,合理判断,谨慎选购商品,商家和用户对交易行为负责。对于医疗器械类产品,请先查证核实企业经营资质和医疗器械产品注册证情况。
技术资料暂无技术资料 索取技术资料


![Phospho-Cyclin E1(T77) Rabbit mAb[13405]](https://img1.dxycdn.com/p/s14/2025/0923/496/0462304380155040791.jpg)


![MOB1A Mouse mAb[63939]](https://img1.dxycdn.com/p/s14/2025/0922/632/2321321568067599691.jpg!wh200)
![ATP2C1 Antibody[35468]](https://img1.dxycdn.com/p/s14/2025/0922/359/6146153295428599691.jpg!wh200)
![Vasopressin V1b receptor Polyclonal Antibody;[42598]](https://img1.dxycdn.com/p/s14/2025/0922/568/0046652811090600791.jpg!wh200)

