相关产品推荐更多 >
万千商家帮你免费找货
0 人在求购买到急需产品
- 详细信息
- 技术资料
- 免疫原:
recombinant protein
- 形态:
liquid
- 保存条件:
Store at -20˚C
- 克隆性:
Monoclonal antibody
- 适应物种:
Human;Mouse;Rat
- 保质期:
12 months
- 抗原来源:
Recombinant Rabbit
- 供应商:
南京赛戈巍生物科技有限公司
- 宿主:
Recombinant Rabbit
- 应用范围:
WB, ICC/IF, IHC, IP, FC
- 靶点:
Uniprot:O60814
- 抗体英文名:
Histone H2B Rabbit mAb
- 规格:
50ul/100ul
H2B histone family member O antibody
H2B histone family member S antibody
H2B.1 antibody
H2B.1 B antibody
H2B.b antibody
H2B.c antibody
H2B.d antibody
H2B.e antibody
H2B.f antibody
H2B.j antibody
H2B.q antibody
H2B/b antibody
H2B/c antibody
H2B/d antibody
H2B/e antibody
H2B/f antibody
H2B/j antibody
H2B/o antibody
H2B/q antibody
H2BFB antibody
H2BFC antibody
H2BFD antibody
H2BFE antibody
H2BFF antibody
H2BFJ antibody
H2BFO antibody
H2BFQ antibody
H2BFS antibody
HIRIP2 antibody
HIST1H2BB antibody
HIST1H2BD antibody
HIST1H2BH antibody
HIST1H2BL antibody
HIST1H2BM antibody
HIST1H2BN antibody
HIST2H2BE antibody
Histone H2B antibody
Histone H2B type 1 B antibody
Histone H2B type 1 D antibody
Histone H2B type 1 H antibody
Histone H2B type 1 L antibody
Histone H2B type 1 M antibody
Histone H2B type 1 N antibody
Histone H2B type 2 E antibody
histone protein antibody
计算分子量:14 kDa
配方:1*TBS (pH7.4), 1%BSA, 40%Glycerol. Preservative: 0.05% Sodium Azide.
应用详情:WB: 1:1,000-5,000
IHC: 1:50-1:200
ICC: 1:100-1:500
FC: 1:50-1:100
图片:
![Histone H2B Rabbit mAb[49134]](https://img1.dxycdn.com/p/s14/2025/0923/301/6982517059937140791.jpg)
Western blot analysis of Histone H2B on different lysates using anti-Histone H2B antibody at 1/1,000 dilution. Positive control:
Lane 1: Hela
Lane 2: NIH/3T3
Lane 3: PC12
,
![Histone H2B Rabbit mAb[49134]](https://img1.dxycdn.com/p/s14/2025/0923/845/6562879779937140791.jpg)
Immunohistochemical analysis of paraffin-embedded human tonsil tissue using anti-Histone H2B antibody. Counter stained with hematoxylin.
,
![Histone H2B Rabbit mAb[49134]](https://img1.dxycdn.com/p/s14/2025/0923/022/9041884679937140791.jpg)
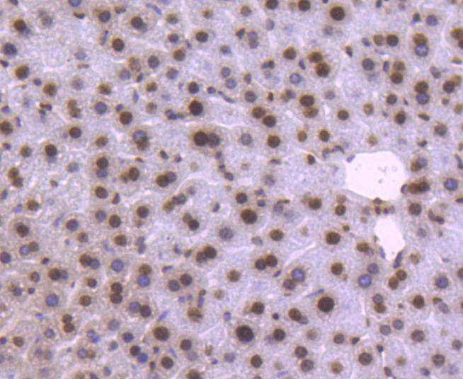
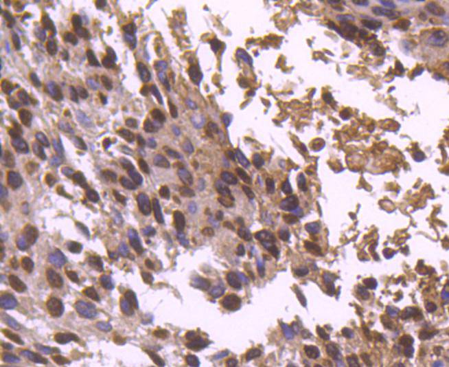
Immunohistochemical analysis of paraffin-embedded human liver tissue using anti-Histone H2B antibody. Counter stained with hematoxylin.
,
![Histone H2B Rabbit mAb[49134]](https://img1.dxycdn.com/p/s14/2025/0923/287/8041884679937140791.jpg)
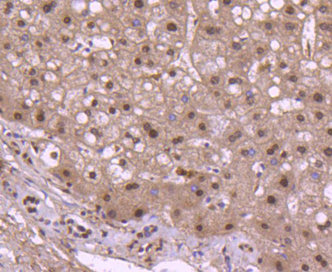
Immunohistochemical analysis of paraffin-embedded mouse liver tissue using anti-Histone H2B antibody. Counter stained with hematoxylin.
,
![Histone H2B Rabbit mAb[49134]](https://img1.dxycdn.com/p/s14/2025/0923/341/0445003679937140791.jpg)
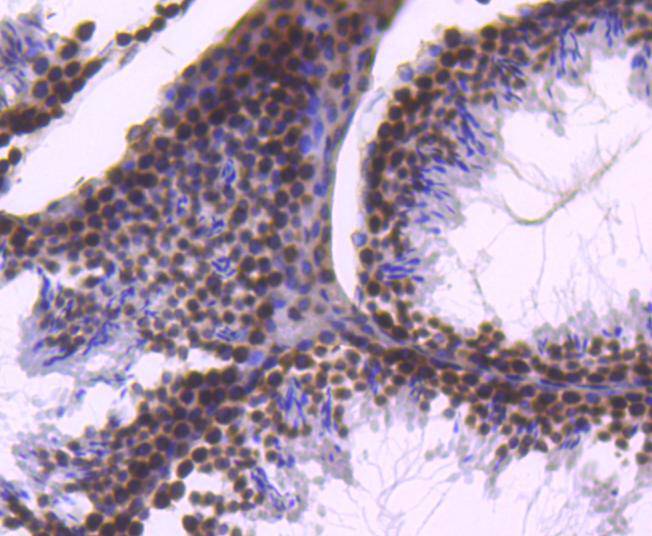
Immunohistochemical analysis of paraffin-embedded mouse testis tissue using anti-Histone H2B antibody. Counter stained with hematoxylin.
,
![Histone H2B Rabbit mAb[49134]](https://img1.dxycdn.com/p/s14/2025/0923/259/4268561879937140791.jpg)
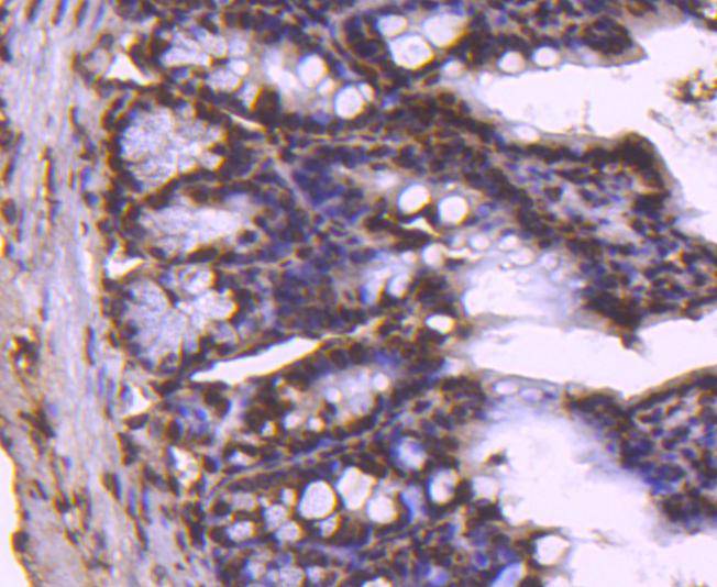
Immunohistochemical analysis of paraffin-embedded mouse colon tissue using anti-Histone H2B antibody. Counter stained with hematoxylin.
,
![Histone H2B Rabbit mAb[49134]](https://img1.dxycdn.com/p/s14/2025/0923/132/6100723779937140791.jpg)
Immunohistochemical analysis of paraffin-embedded human breast carcinoma tissue using anti-Histone H2B antibody. Counter stained with hematoxylin.
,
![Histone H2B Rabbit mAb[49134]](https://img1.dxycdn.com/p/s14/2025/0923/692/2110393259937140791.jpg)
ICC staining Histone H2B in A431 cells (green). The nuclear counter stain is DAPI (blue). Cells were fixed in paraformaldehyde, permeabilised with 0.25% Triton X100/PBS.
,
![Histone H2B Rabbit mAb[49134]](https://img1.dxycdn.com/p/s14/2025/0923/064/0067770399937140791.jpg)
Flow cytometric analysis of Hela cells with Histone H2B antibody at 1/50 dilution (red) compared with an unlabelled control (cells without incubation with primary antibody; black). Alexa Fluor 488-conjugated goat anti rabbit IgG was used as the secondary antibody.
风险提示:丁香通仅作为第三方平台,为商家信息发布提供平台空间。用户咨询产品时请注意保护个人信息及财产安全,合理判断,谨慎选购商品,商家和用户对交易行为负责。对于医疗器械类产品,请先查证核实企业经营资质和医疗器械产品注册证情况。
技术资料暂无技术资料 索取技术资料


![Histone H2B Rabbit mAb[49134]](https://img1.dxycdn.com/p/s14/2025/0923/496/0462304380155040791.jpg)


![OAT Conjugated Antibody[C43049]](https://img1.dxycdn.com/p/s14/2025/0923/278/4431488150116040791.jpg!wh200)
![C-RAF (Phospho-Tyr340) Antibody[12559]](https://img1.dxycdn.com/p/s14/2025/0922/568/0046652811090600791.jpg!wh200)
![PVRL4 Antibody[36647]](https://img1.dxycdn.com/p/s14/2025/0922/359/6146153295428599691.jpg!wh200)
