相关产品推荐更多 >
万千商家帮你免费找货
0 人在求购买到急需产品
- 详细信息
- 技术资料
- 免疫原:
A synthesized peptide derived from human S100A4
- 形态:
liquid
- 保存条件:
Store at -20˚C
- 克隆性:
Monoclonal antibody
- 适应物种:
Human;Mouse;Rat
- 保质期:
12 months
- 抗原来源:
Recombinant Rabbit
- 供应商:
南京赛戈巍生物科技有限公司
- 宿主:
Recombinant Rabbit
- 应用范围:
WB, ICC/IF, IHC, IP, FC
- 靶点:
Uniprot:P26447
- 抗体英文名:
S100A4 Rabbit mAb
- 规格:
50ul/100ul
42A antibody
calcium Placental protein antibody
Calvasculin antibody
CAPL antibody
Fibroblast specific protein 1 (FSP1) antibody
Fibroblast specific protein 1 antibody
Fibroblast specific protein antibody
FSP1 antibody
Leukemia multidrug resistance associated protein antibody
Malignant transformation suppression 1 (MTS1) antibody
Malignant transformation suppression 1 antibody
Metastasin antibody
MTS1 antibody
OTTHUMP00000015467 antibody
OTTHUMP00000015468 antibody
P9KA antibody
PEL98 antibody
Placental calcium-binding protein antibody
Protein Mts1 antibody
Protein S100 A4 antibody
Protein S100-A4 antibody
S100 calcium binding protein A4 (calcium protein, calvasculin, metastasin, murine placental homolog) antibody
S100 calcium binding protein A4 antibody
S100 calcium-binding protein A4 antibody
S100a4 antibody
S10A4_HUMAN antibody
计算分子量:12 kDa
配方:Rabbit IgG in 10mM phosphate buffered saline , pH 7.4, 150mM sodium chloride, 0.05% BSA, 0.02% sodium azide and 50% glycerol.
应用详情:WB 1:1000-1:2000 IHC 1:100-1:200 ICC/IF 1:50-1:200 IP 1:20-1:50 FC 1:20-1:100
图片:
![S100A4 Rabbit mAb[49121]](https://img1.dxycdn.com/p/s14/2025/0923/431/8406285047637140791.jpg)
All lanes use the Antibody at 1:2K dilution for 1 hour at room temperature.
,
![S100A4 Rabbit mAb[49121]](https://img1.dxycdn.com/p/s14/2025/0923/925/6564124147637140791.jpg)
Western blot analysis of S100A4 expression in A375 cell lysate.
,
![S100A4 Rabbit mAb[49121]](https://img1.dxycdn.com/p/s14/2025/0923/276/4078863477637140791.jpg)
Immunohistochemical analysis of paraffin-embedded Rat stomach, using the Antibody at 1:200 dilution.
,
![S100A4 Rabbit mAb[49121]](https://img1.dxycdn.com/p/s14/2025/0923/323/4817172277637140791.jpg)
Immunohistochemical analysis of paraffin-embedded Human lung adenocarcinoma, using the Antibody at 1:200 dilution.
,
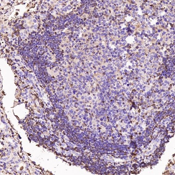
![S100A4 Rabbit mAb[49121]](https://img1.dxycdn.com/p/s14/2025/0923/937/0236985977637140791.jpg)
Immunohistochemical analysis of paraffin-embedded Human thyroid cancer, using the Antibody at 1:200 dilution.
,
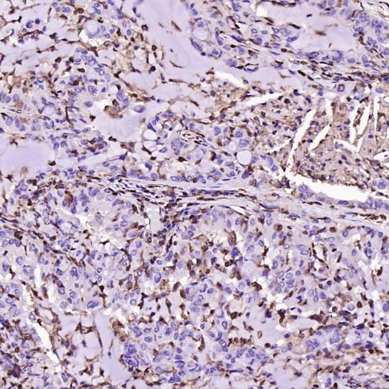
![S100A4 Rabbit mAb[49121]](https://img1.dxycdn.com/p/s14/2025/0923/531/4454026177637140791.jpg)
Immunohistochemical analysis of paraffin-embedded Human esophageal carcinoma, using the Antibody at 500 dilution.
,
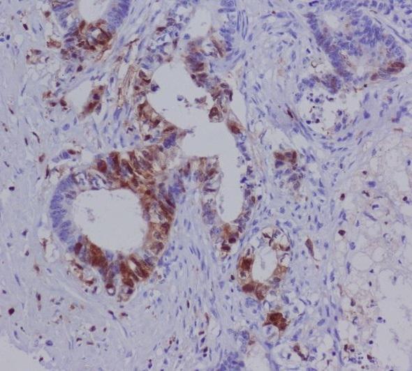
![S100A4 Rabbit mAb[49121]](https://img1.dxycdn.com/p/s14/2025/0923/950/4203325967637140791.jpg)
Immunohistochemical analysis of paraffin-embedded human colon carcinoma, using S100A4 Antibody.
,
![S100A4 Rabbit mAb[49121]](https://img1.dxycdn.com/p/s14/2025/0923/446/0464686647637140791.jpg)
Immunofluorescent analysis of HeLa cells, using S100A4 Antibody.
风险提示:丁香通仅作为第三方平台,为商家信息发布提供平台空间。用户咨询产品时请注意保护个人信息及财产安全,合理判断,谨慎选购商品,商家和用户对交易行为负责。对于医疗器械类产品,请先查证核实企业经营资质和医疗器械产品注册证情况。
技术资料暂无技术资料 索取技术资料


![S100A4 Rabbit mAb[49121]](https://img1.dxycdn.com/p/s14/2025/0923/496/0462304380155040791.jpg)


![ANKRD44 Antibody[39688]](https://img1.dxycdn.com/p/s14/2025/0922/359/6146153295428599691.jpg!wh200)
![Met (c-Met) (Phospho-Tyr1349) Conjugated Antibody[C14257]](https://img1.dxycdn.com/p/s14/2025/0922/632/2321321568067599691.jpg!wh200)
![DDX59 Antibody[47043]](https://img1.dxycdn.com/p/s14/2025/0923/496/0462304380155040791.jpg!wh200)
![DUOX1 Polyclonal Antibody FITC Conjugated[C90690FITC]](https://img1.dxycdn.com/p/s14/2025/0922/498/0460884283108299691.jpg!wh200)
![PI 3-kinase p110α Polyclonal Antibody[41337]](https://img1.dxycdn.com/p/s14/2025/0922/568/0046652811090600791.jpg!wh200)
