相关产品推荐更多 >
万千商家帮你免费找货
0 人在求购买到急需产品
- 详细信息
- 技术资料
- 免疫原:
recombinant protein
- 形态:
liquid
- 保存条件:
Store at -20˚C
- 克隆性:
Monoclonal antibody
- 适应物种:
Human
- 保质期:
12 months
- 抗原来源:
Recombinant Rabbit
- 供应商:
南京赛戈巍生物科技有限公司
- 宿主:
Recombinant Rabbit
- 应用范围:
WB, ICC/IF, IHC, FC
- 靶点:
Uniprot:P11802
- 抗体英文名:
Cdk4 Rabbit mAb
- 规格:
50ul/100ul
cdk4 antibody
CDK4 protein antibody
CDK4_HUMAN antibody
Cell division kinase 4 antibody
Cell division protein kinase 4 antibody
CMM 3 antibody
CMM3 antibody
Crk3 antibody
Cyclin dependent kinase 4 antibody
Cyclin-dependent kinase 4 antibody
Melanoma cutaneous malignant 3 antibody
MGC14458 antibody
p34 cdk4 antibody
PSK J3 antibody
PSK-J3 antibody
计算分子量:34 kDa
配方:1*TBS (pH7.4), 1%BSA, 40%Glycerol. Preservative: 0.05% Sodium Azide.
应用详情:WB: 1:1,000-5,000
IHC: 1:50-1:200
ICC: 1:100-1:500
FC: 1:50-1:100
图片:
![Cdk4 Rabbit mAb[49117]](https://img1.dxycdn.com/p/s14/2025/0923/947/0487015177537140791.jpg)
Western blot analysis of Cdk4 on Hela cells lysates using anti-Cdk4 antibody at 1/1,000 dilution.
,
![Cdk4 Rabbit mAb[49117]](https://img1.dxycdn.com/p/s14/2025/0923/794/4494783308537140791.jpg)
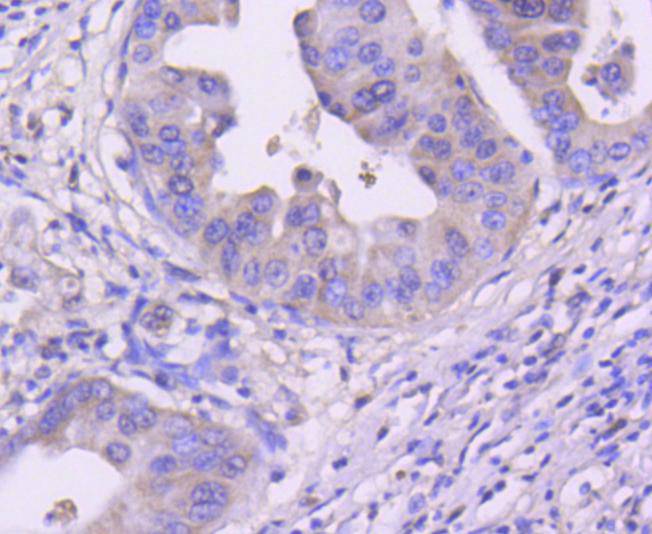
Immunohistochemical analysis of paraffin-embedded human breast carcinoma tissue using anti-Cdk4 antibody. Counter stained with hematoxylin.
,
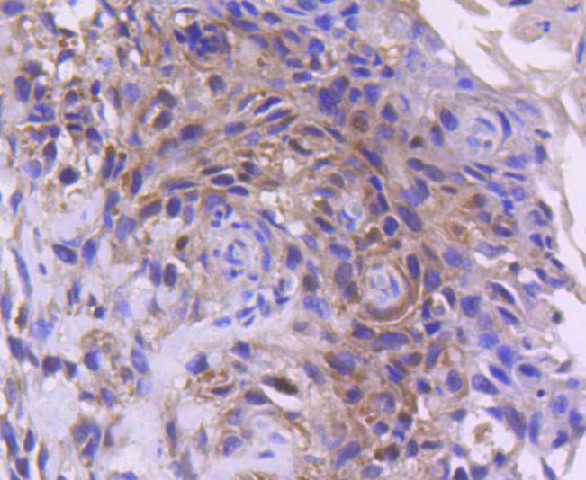
![Cdk4 Rabbit mAb[49117]](https://img1.dxycdn.com/p/s14/2025/0923/579/6923453897537140791.jpg)
Immunohistochemical analysis of paraffin-embedded human gastric carcinoma tissue using anti-Cdk4 antibody. Counter stained with hematoxylin.
,
![Cdk4 Rabbit mAb[49117]](https://img1.dxycdn.com/p/s14/2025/0923/873/2135060977537140791.jpg)
ICC staining Cdk4 in Hela cells (green). The nuclear counter stain is DAPI (blue). Cells were fixed in paraformaldehyde, permeabilised with 0.25% Triton X100/PBS.
,
![Cdk4 Rabbit mAb[49117]](https://img1.dxycdn.com/p/s14/2025/0923/239/8402468697537140791.jpg)
ICC staining Cdk4 in MCF-7 cells (green). The nuclear counter stain is DAPI (blue). Cells were fixed in paraformaldehyde, permeabilised with 0.25% Triton X100/PBS.
,
![Cdk4 Rabbit mAb[49117]](https://img1.dxycdn.com/p/s14/2025/0923/556/6336845208537140791.jpg)
ICC staining Cdk4 in NIH/3T3 cells (green). The nuclear counter stain is DAPI (blue). Cells were fixed in paraformaldehyde, permeabilised with 0.25% Triton X100/PBS.
,
![Cdk4 Rabbit mAb[49117]](https://img1.dxycdn.com/p/s14/2025/0923/206/0821842977537140791.jpg)
Flow cytometric analysis of MCF-7 cells with Cdk4 antibody at 1/50 dilution (red) compared with an unlabelled control (cells without incubation with primary antibody; black). Alexa Fluor 488-conjugated goat anti rabbit IgG was used as the secondary antibody.
风险提示:丁香通仅作为第三方平台,为商家信息发布提供平台空间。用户咨询产品时请注意保护个人信息及财产安全,合理判断,谨慎选购商品,商家和用户对交易行为负责。对于医疗器械类产品,请先查证核实企业经营资质和医疗器械产品注册证情况。
技术资料暂无技术资料 索取技术资料


![Cdk4 Rabbit mAb[49117]](https://img1.dxycdn.com/p/s14/2025/0923/496/0462304380155040791.jpg)


![CNOT4 Antibody[46524]](https://img1.dxycdn.com/p/s14/2025/0923/496/0462304380155040791.jpg!wh200)
![PRKAB1 Rabbit Polyclonal Antibody[54078]](https://img1.dxycdn.com/p/s14/2025/0922/498/0460884283108299691.jpg!wh200)
![ZIC1 Antibody[43786]](https://img1.dxycdn.com/p/s14/2025/0922/568/0046652811090600791.jpg!wh200)
![SMUG1 Antibody[35177]](https://img1.dxycdn.com/p/s14/2025/0922/359/6146153295428599691.jpg!wh200)
![ITPK1 Conjugated Antibody[C57090]](https://img1.dxycdn.com/p/s14/2025/0922/632/2321321568067599691.jpg!wh200)
