相关产品推荐更多 >
万千商家帮你免费找货
0 人在求购买到急需产品
- 详细信息
- 技术资料
- 免疫原:
recombinant protein
- 形态:
liquid
- 保存条件:
Store at -20˚C
- 克隆性:
Monoclonal antibody
- 适应物种:
Human;Mouse;Rat
- 保质期:
12 months
- 抗原来源:
Recombinant Rabbit
- 供应商:
南京赛戈巍生物科技有限公司
- 宿主:
Recombinant Rabbit
- 应用范围:
WB, ICC/IF, IHC, IP
- 靶点:
Uniprot:P51532
- 抗体英文名:
BRG1 Rabbit mAb
- 规格:
50ul/100ul
ATP-dependent helicase SMARCA4 antibody
BAF 190 antibody
BAF190 antibody
BAF190A antibody
Brahma protein like 1 antibody
BRG1 antibody
BRG1 associated factor 190A antibody
BRG1 protein antibody
BRG1-associated factor 190A antibody
BRM/SWI2 related gene 1 antibody
Global transcription activator homologous sequence antibody
global transcription activator snf2l4 antibody
Homeotic gene regulator antibody
hSNF2b antibody
Mitotic growth and transcription activator antibody
MRD16 antibody
Nuclear protein GRB1 antibody
Protein brahma homolog 1 antibody
Protein BRG-1 antibody
Protein BRG1 antibody
RTPS2 antibody
SMARC A4 antibody
SMARCA4 antibody
SMCA4_HUMAN antibody
SNF2 antibody
SNF2 beta antibody
SNF2 like 4 antibody
SNF2-beta antibody
SNF2B antibody
SNF2L4 antibody
SNF2LB antibody
Sucrose nonfermenting like 4 antibody
SWI/SNF related matrix associated actin dependent regulator of chromatin subfamily A member 4 antibody
SWI/SNF related, matrix associated, actin dependent regulator of chromatin, subfamily a, member 4 antibody
SWI/SNF-related matrix-associated actin-dependent regulator of chromatin subfamily A member 4 antibody
SWI2 antibody
Transcription activator BRG1 antibody
计算分子量:185 kDa
配方:1*TBS (pH7.4), 1%BSA, 40%Glycerol. Preservative: 0.05% Sodium Azide.
应用详情:WB: 1:1,000-5,000
IHC: 1:50-1:200
ICC: 1:50-1:200
图片:
![BRG1 Rabbit mAb[49101]](https://img1.dxycdn.com/p/s14/2025/0923/219/4629548618317140791.png)
Western blot analysis of BRG1 on different lysates using anti-BRG1 antibody at 1/1,000 dilution. Positive control:
Lane 1: Jurkat
Lane 2: HepG2
,
![BRG1 Rabbit mAb[49101]](https://img1.dxycdn.com/p/s14/2025/0923/005/6961412657617140791.png)
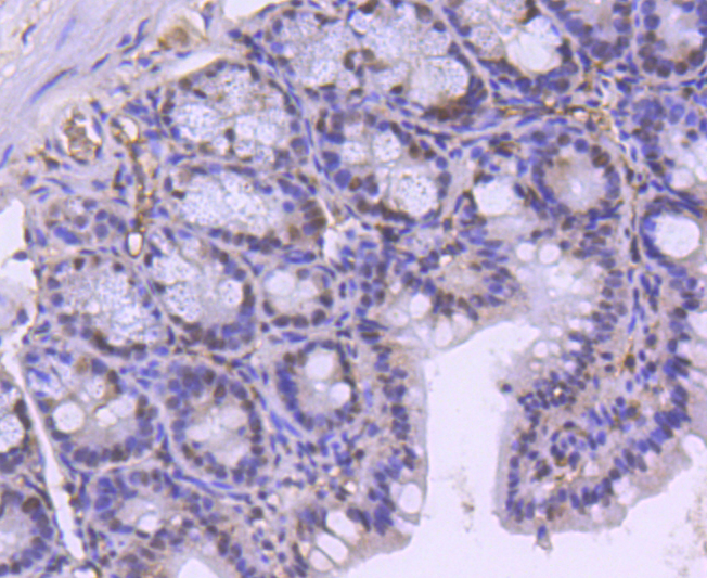
Immunohistochemical analysis of paraffin-embedded mouse colon tissue using anti-BRG1 antibody. Counter stained with hematoxylin.
,
![BRG1 Rabbit mAb[49101]](https://img1.dxycdn.com/p/s14/2025/0923/300/0253423252517140791.png)
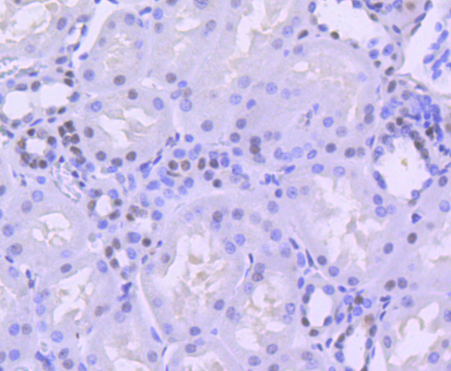
Immunohistochemical analysis of paraffin-embedded mouse kidney tissue using anti-BRG1 antibody. Counter stained with hematoxylin.
,
![BRG1 Rabbit mAb[49101]](https://img1.dxycdn.com/p/s14/2025/0923/421/6549505797617140791.png)
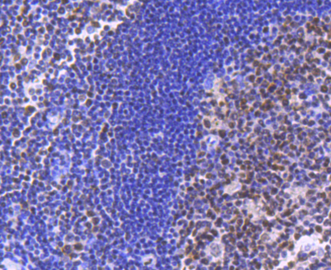
Immunohistochemical analysis of paraffin-embedded human tonsil tissue using anti-BRG1 antibody. Counter stained with hematoxylin.
,
![BRG1 Rabbit mAb[49101]](https://img1.dxycdn.com/p/s14/2025/0923/550/4498161428617140791.png)
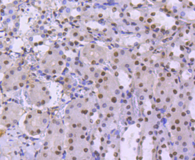
Immunohistochemical analysis of paraffin-embedded human kidney tissue using anti-BRG1 antibody. Counter stained with hematoxylin.
,
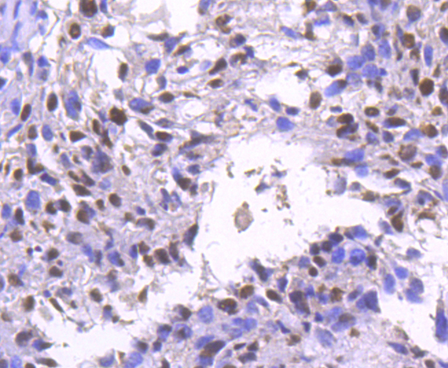
![BRG1 Rabbit mAb[49101]](https://img1.dxycdn.com/p/s14/2025/0923/974/8026442529617140791.png)
Immunohistochemical analysis of paraffin-embedded human breast carcinoma tissue using anti-BRG1 antibody. Counter stained with hematoxylin.
,
![BRG1 Rabbit mAb[49101]](https://img1.dxycdn.com/p/s14/2025/0923/097/6522576403617140791.png)
Immunohistochemical analysis of paraffin-embedded mouse testis tissue using anti-BRG1 antibody. Counter stained with hematoxylin.
,
![BRG1 Rabbit mAb[49101]](https://img1.dxycdn.com/p/s14/2025/0923/229/4418192818317140791.jpg)
ICC staining BRG1 in Hela cells (green). The nuclear counter stain is DAPI (blue). Cells were fixed in paraformaldehyde, permeabilised with 0.25% Triton X100/PBS.
,
![BRG1 Rabbit mAb[49101]](https://img1.dxycdn.com/p/s14/2025/0923/066/4414755697517140791.png)
ICC staining BRG1 in HepG2 cells (green). The nuclear counter stain is DAPI (blue). Cells were fixed in paraformaldehyde, permeabilised with 0.25% Triton X100/PBS.
,
![BRG1 Rabbit mAb[49101]](https://img1.dxycdn.com/p/s14/2025/0923/740/4038397642617140791.png)
ICC staining BRG1 in SW480 cells (green). The nuclear counter stain is DAPI (blue). Cells were fixed in paraformaldehyde, permeabilised with 0.25% Triton X100/PBS.
,
![BRG1 Rabbit mAb[49101]](https://img1.dxycdn.com/p/s14/2025/0923/311/6102280495617140791.png)
ICC staining BRG1 in RH-35 cells (green). The nuclear counter stain is DAPI (blue). Cells were fixed in paraformaldehyde, permeabilised with 0.25% Triton X100/PBS.
风险提示:丁香通仅作为第三方平台,为商家信息发布提供平台空间。用户咨询产品时请注意保护个人信息及财产安全,合理判断,谨慎选购商品,商家和用户对交易行为负责。对于医疗器械类产品,请先查证核实企业经营资质和医疗器械产品注册证情况。
技术资料暂无技术资料 索取技术资料


![BRG1 Rabbit mAb[49101]](https://img1.dxycdn.com/p/s14/2025/0923/496/0462304380155040791.jpg)



![RCC1 Rabbit Polyclonal Antibody[54992]](https://img1.dxycdn.com/p/s14/2025/0922/498/0460884283108299691.jpg!wh200)
![DRD2 Antibody[43657]](https://img1.dxycdn.com/p/s14/2025/0922/568/0046652811090600791.jpg!wh200)
![MRPL54 Antibody[34313]](https://img1.dxycdn.com/p/s14/2025/0922/359/6146153295428599691.jpg!wh200)
![METTL3 Conjugated Antibody[C56489]](https://img1.dxycdn.com/p/s14/2025/0922/632/2321321568067599691.jpg!wh200)
