相关产品推荐更多 >
万千商家帮你免费找货
0 人在求购买到急需产品
- 详细信息
- 文献和实验
- 技术资料
- 免疫原:
Synthetic phospho-peptide corresponding to residues surrounding Thr560 of human PKC zeta.
- 形态:
liquid
- 保存条件:
Store at -20˚C
- 克隆性:
Monoclonal
- 适应物种:
Human;Mouse;Rat
- 保质期:
12 months
- 抗原来源:
Recombinant Rabbit
- 供应商:
南京赛戈巍生物科技有限公司
- 宿主:
Recombinant Rabbit
- 应用范围:
WB,IHC
- 靶点:
Uniprot:Q05513
- 抗体英文名:
PKC zeta(Phospho-T560) Rabbit mAb
- 规格:
50ul/100ul
AI098070 antibody
aPKCzeta antibody
C80388 antibody
EC 2.7.11.13 antibody
KPCZ_HUMAN antibody
nPKC zeta antibody
nPKC-zeta antibody
OTTHUMP00000001368 antibody
OTTHUMP00000044160 antibody
PKC 2 antibody
PKC ZETA antibody
PKC2 antibody
Pkcz antibody
PKCZETA antibody
PKM-zeta, included antibody
PRKCZ antibody
Protein kinase C zeta antibody
Protein kinase C zeta form antibody
Protein kinase C zeta type antibody
r14-3-3 antibody
R74924 antibody
zetaPKC antibody
计算分子量:68 kDa
配方:1*TBS (pH7.4), 1%BSA, 40%Glycerol. Preservative: 0.05% Sodium Azide.
应用详情:WB: 1:500-1:2000
IHC: 1:50-1:200
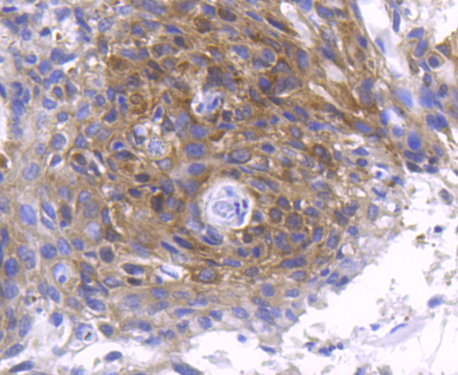
图片:

Western blot analysis of Phospho-PKC zeta(T560) on mouse eyeball lysates using anti-Phospho-PKC zeta(T560) antibody at 1/1,000 dilution.
,

Immunohistochemical analysis of paraffin-embedded human breast carcinoma tissue using anti-Phospho-PKC zeta(T560) antibody. Counter stained with hematoxylin.
,

Immunohistochemical analysis of paraffin-embedded mouse brain tissue using anti-Phospho-PKC zeta(T560) antibody. Counter stained with hematoxylin.
风险提示:丁香通仅作为第三方平台,为商家信息发布提供平台空间。用户咨询产品时请注意保护个人信息及财产安全,合理判断,谨慎选购商品,商家和用户对交易行为负责。对于医疗器械类产品,请先查证核实企业经营资质和医疗器械产品注册证情况。
文献和实验T-Cell Activation Using mAb to CD3
of specific protein tyrosine kinases (PTKs), breakdown of phosphatidylinositol 4,5-biphosphate (PIP2), activation of protein kinase C (PKC) and elevation of intracellular calcium ion concentration. These early events are transmitted to the nucleus and result
:使用 Anti-phospho-Akt (Ser473) Rabbit mAb 对石蜡包埋的人乳腺癌组织进行免疫组织化学分析。(图 A)使用免疫组化试剂盒M&R HRP/DAB Detection IHC Kit,抗体 1:100 稀释;(图 B) 采用普通免疫组化试剂盒,抗体 1:25 稀释。 图 6 免疫组化实验检测 Erk1/2 表达 注:使用 Anti-Erk1/2 Mouse mAb与p44/42 MAPK (Erk1/2)Rabbit mAb 对正常小鼠心脏组织进行免疫
david9931 请问各位大侠,有没有订做过磷酸化的丝氨酸或磷酸化的苏氨酸抗体,哪家公司做的比较好,小弟想订做目的蛋白特异位点的丝氨酸、苏氨酸的磷酸化的抗体,帮忙给指点下,多谢啦 euthor_hsu 这种抗体定做很难。毕竟要的是抗一个特异的氨基酸的磷酸化位点。 就我所知cisbio有anti-phosphothronine 和anti-phosphotyrosine的抗体,PAb和MAb都有,但是没有anti
技术资料暂无技术资料 索取技术资料





![MMP16 Antibody[35818]](https://img1.dxycdn.com/p/s14/2025/0922/359/6146153295428599691.jpg!wh200)
![Alkaline Phosphatase Rabbit mAb[48608]](https://img1.dxycdn.com/p/s14/2025/0923/496/0462304380155040791.jpg!wh200)
![ZCWPW1 Polyclonal Antibody[30978]](https://img1.dxycdn.com/p/s14/2025/0923/305/2150219664296040791.jpg!wh200)
