相关产品推荐更多 >
万千商家帮你免费找货
0 人在求购买到急需产品
- 详细信息
- 技术资料
- 免疫原:
Synthetic peptide within aa 796-845 of Human ABCF1
- 形态:
liquid
- 保存条件:
Store at -20˚C
- 克隆性:
Monoclonal
- 适应物种:
Human;Rat
- 保质期:
12 months
- 抗原来源:
Recombinant Rabbit
- 供应商:
南京赛戈巍生物科技有限公司
- 宿主:
Recombinant Rabbit
- 应用范围:
WB, ICC/IF, IHC
- 靶点:
Uniprot:Q8NE71
- 抗体英文名:
ABCF1 Rabbit mAb
- 规格:
50ul/100ul
ABC50 antibody
ABCF1 antibody
ABCF1_HUMAN antibody
ATP binding cassette 50 (TNF alpha stimulated) antibody
ATP binding cassette 50 antibody
ATP binding cassette sub family F member 1 antibody
ATP binding cassette, sub family F (GCN20), member 1 antibody
ATP-binding cassette 50 antibody
ATP-binding cassette sub-family F member 1 antibody
AU041969 antibody
D17Wsu166e antibody
EST123147 antibody
GCN20 antibody
TNF alpha stimulated ABC protein antibody
TNF-alpha-stimulated ABC protein antibody
TNFalpha inducible ATP binding protein antibody
wu:fb79c06 antibody
wu:fc39a05 antibody
wu:fj94a08 antibody
zgc:85667 antibody
计算分子量:96 kDa
配方:1*TBS (pH7.4), 1%BSA, 40%Glycerol. Preservative: 0.05% Sodium Azide.
应用详情:
WB: 1:1,000-1:2,000
IHC: 1:50-1:200
ICC: 1:100-1:500
图片:
![ABCF1 Rabbit mAb[49078]](https://img1.dxycdn.com/p/s14/2025/0923/766/8820604599096140791.png)
Western blot analysis of ABCF1 on Hela lysates using anti-ABCF1 antibody at 1/1,000 dilution.
,
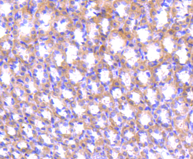
![ABCF1 Rabbit mAb[49078]](https://img1.dxycdn.com/p/s14/2025/0923/348/2519421738296140791.png)
Immunohistochemical analysis of paraffin-embedded rat stomach tissue using anti-ABCF1 antibody. Counter stained with hematoxylin.
,
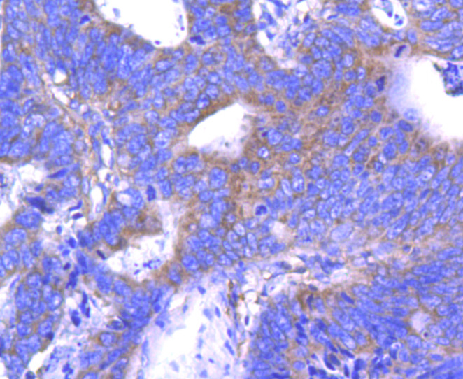
![ABCF1 Rabbit mAb[49078]](https://img1.dxycdn.com/p/s14/2025/0923/499/4857878115296140791.png)
Immunohistochemical analysis of paraffin-embedded human colon cancer tissue using anti-ABCF1 antibody. Counter stained with hematoxylin.
,
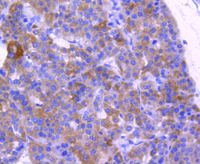
![ABCF1 Rabbit mAb[49078]](https://img1.dxycdn.com/p/s14/2025/0923/251/0046274349296140791.png)
Immunohistochemical analysis of paraffin-embedded human liver cancer tissue using anti-ABCF1 antibody. Counter stained with hematoxylin.
,
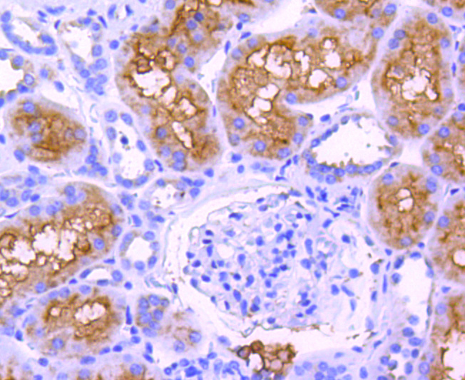
![ABCF1 Rabbit mAb[49078]](https://img1.dxycdn.com/p/s14/2025/0923/010/0679870680396140791.png)
Immunohistochemical analysis of paraffin-embedded human kidney tissue using anti-ABCF1 antibody. Counter stained with hematoxylin.
,
![ABCF1 Rabbit mAb[49078]](https://img1.dxycdn.com/p/s14/2025/0923/059/2175348825296140791.png)
ICC staining ABCF1 in HepG2 cells (green). The nuclear counter stain is DAPI (blue). Cells were fixed in paraformaldehyde, permeabilised with 0.25% Triton X100/PBS.
,
![ABCF1 Rabbit mAb[49078]](https://img1.dxycdn.com/p/s14/2025/0923/734/2703844403296140791.png)
ICC staining ABCF1 in PC-3M cells (green). The nuclear counter stain is DAPI (blue). Cells were fixed in paraformaldehyde, permeabilised with 0.25% Triton X100/PBS.
,
![ABCF1 Rabbit mAb[49078]](https://img1.dxycdn.com/p/s14/2025/0923/463/6334718265296140791.png)
ICC staining ABCF1 in Hela cells (green). The nuclear counter stain is DAPI (blue). Cells were fixed in paraformaldehyde, permeabilised with 0.25% Triton X100/PBS.
风险提示:丁香通仅作为第三方平台,为商家信息发布提供平台空间。用户咨询产品时请注意保护个人信息及财产安全,合理判断,谨慎选购商品,商家和用户对交易行为负责。对于医疗器械类产品,请先查证核实企业经营资质和医疗器械产品注册证情况。
技术资料暂无技术资料 索取技术资料


![ABCF1 Rabbit mAb[49078]](https://img1.dxycdn.com/p/s14/2025/0923/496/0462304380155040791.jpg)


![UGGT2 Antibody[42803]](https://img1.dxycdn.com/p/s14/2025/0922/568/0046652811090600791.jpg!wh200)
![FOXO3A Rabbit mAb[48698]](https://img1.dxycdn.com/p/s14/2025/0923/496/0462304380155040791.jpg!wh200)
![TTC23 Antibody[33931]](https://img1.dxycdn.com/p/s14/2025/0922/359/6146153295428599691.jpg!wh200)
![BAX Rabbit Polyclonal Antibody[55262]](https://img1.dxycdn.com/p/s14/2025/0922/498/0460884283108299691.jpg!wh200)
