相关产品推荐更多 >
万千商家帮你免费找货
0 人在求购买到急需产品
- 详细信息
- 技术资料
- 免疫原:
recombinant protein
- 形态:
liquid
- 保存条件:
Store at -20˚C
- 克隆性:
Monoclonal antibody
- 适应物种:
Human;Mouse;Rat
- 保质期:
12 months
- 抗原来源:
Recombinant Rabbit
- 供应商:
南京赛戈巍生物科技有限公司
- 宿主:
Recombinant Rabbit
- 应用范围:
WB, ICC/IF, IHC, IP, FC
- 靶点:
Uniprot:O15111
- 抗体英文名:
IKK alpha Rabbit mAb
- 规格:
50ul/100ul
CHUK1 antibody
Conserved Helix Loop Helix Ubiquitous Kinase antibody
Conserved helix loop ubiquitous kinase antibody
Conserved helix-loop-helix ubiquitous kinase antibody
I Kappa B Kinase 1 antibody
I Kappa B Kinase Alpha antibody
I-kappa-B kinase 1 antibody
I-kappa-B kinase alpha antibody
IkappaB kinase antibody
IkB kinase alpha subunit antibody
IkBKA antibody
IKK 1 antibody
IKK A antibody
IKK a kinase antibody
IKK-A antibody
IKK-alpha antibody
IKK1 antibody
IKKA antibody
IKKA_HUMAN antibody
Inhibitor Of Kappa Light Polypeptide Gene Enhancer In B Cells antibody
Inhibitor Of Nuclear Factor Kappa B Kinase Alpha Subunit antibody
Inhibitor of nuclear factor kappa-B kinase subunit alpha antibody
NFKBIKA antibody
Nuclear Factor Kappa B Inhibitor Kinase Alpha antibody
Nuclear factor NF kappa B inhibitor kinase alpha antibody
Nuclear factor NF-kappa-B inhibitor kinase alpha antibody
Nuclear factor NFkappaB inhibitor kinase alpha antibody
Nuclear Factor Of Kappa Light Chain Gene Enhancer In B Cells Inhibitor antibody
TCF-16 antibody
TCF16 antibody
Transcription factor 16 antibody
计算分子量:85 kDa
配方:1*TBS (pH7.4), 1%BSA, 40%Glycerol. Preservative: 0.05% Sodium Azide.
应用详情:WB: 1:1,000
IHC: 1:50-1:200
ICC: 1:50-1:200
FC: 1:50-1:100
图片:
![IKK alpha Rabbit mAb[49025]](https://img1.dxycdn.com/p/s14/2025/0923/739/8022680232146140791.png)
Western blot analysis of IKK alpha on Jurkat cells lysates using anti-IKK alpha antibody at 1/1,000 dilution.
,
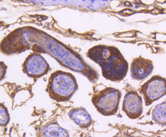
![IKK alpha Rabbit mAb[49025]](https://img1.dxycdn.com/p/s14/2025/0923/260/0652213737146140791.png)
Immunohistochemical analysis of paraffin-embedded mouse skin tissue using anti-IKK alpha antibody. Counter stained with hematoxylin.
,
![IKK alpha Rabbit mAb[49025]](https://img1.dxycdn.com/p/s14/2025/0923/520/8007852374146140791.png)
ICC staining IKK alpha in SW480 cells (green). The nuclear counter stain is DAPI (blue). Cells were fixed in paraformaldehyde, permeabilised with 0.25% Triton X100/PBS.
,
![IKK alpha Rabbit mAb[49025]](https://img1.dxycdn.com/p/s14/2025/0923/087/8216790262146140791.png)
Flow cytometric analysis of Hela cells with IKK alpha antibody at 1/50 dilution (red) compared with an unlabelled control (cells without incubation with primary antibody; black). Alexa Fluor 488-conjugated goat anti rabbit IgG was used as the secondary antibody
风险提示:丁香通仅作为第三方平台,为商家信息发布提供平台空间。用户咨询产品时请注意保护个人信息及财产安全,合理判断,谨慎选购商品,商家和用户对交易行为负责。对于医疗器械类产品,请先查证核实企业经营资质和医疗器械产品注册证情况。
技术资料暂无技术资料 索取技术资料


![IKK alpha Rabbit mAb[49025]](https://img1.dxycdn.com/p/s14/2025/0923/496/0462304380155040791.jpg)


![ASK1 Conjugated Antibody[C21125]](https://img1.dxycdn.com/p/s14/2025/0923/278/4431488150116040791.jpg!wh200)
![CA14 Antibody[34539]](https://img1.dxycdn.com/p/s14/2025/0922/359/6146153295428599691.jpg!wh200)
![MST4 Rabbit mAb[57103]](https://img1.dxycdn.com/p/s14/2025/0922/632/2321321568067599691.jpg!wh200)
