相关产品推荐更多 >
万千商家帮你免费找货
0 人在求购买到急需产品
- 详细信息
- 技术资料
- 免疫原:
recombinant protein
- 形态:
liquid
- 保存条件:
Store at -20˚C
- 克隆性:
Monoclonal antibody
- 适应物种:
Human
- 保质期:
12 months
- 抗原来源:
Recombinant Rabbit
- 供应商:
南京赛戈巍生物科技有限公司
- 宿主:
Recombinant Rabbit
- 应用范围:
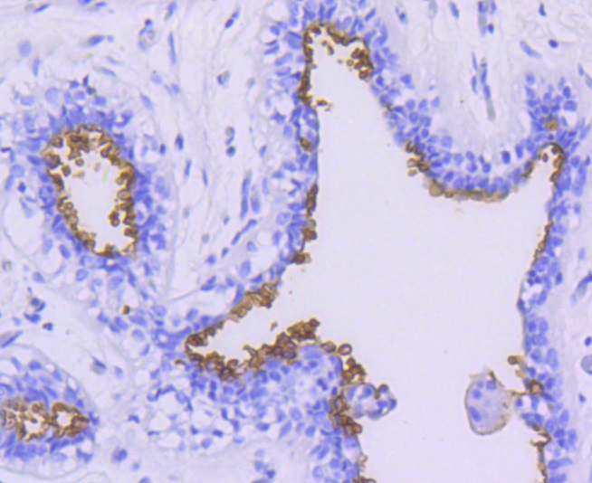
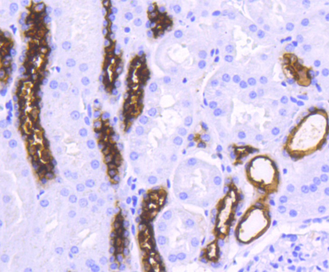
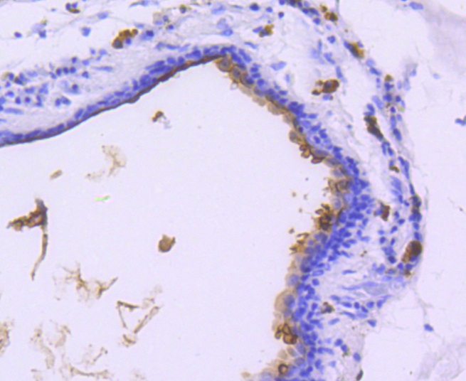
WB, ICC/IF, IHC, IP, FC
- 靶点:
Uniprot:P15941
- 抗体英文名:
MUC1 Rabbit mAb
- 规格:
50ul/100ul
别名:ADMCKD antibody
ADMCKD1 antibody
Breast carcinoma associated antigen DF3 antibody
Breast carcinoma-associated antigen DF3 antibody
CA 15-3 antibody
CA15 3 antibody
CA15 3 antigen antibody
CA15.3 antibody
Cancer antigen 15-3 antibody
Carcinoma associated mucin antibody
Carcinoma-associated mucin antibody
CD 227 antibody
CD227 antibody
DF3 antigen antibody
EMA antibody
Episialin antibody
H23 antigen antibody
H23AG antibody
KL 6 antibody
KL-6 antibody
KL6 antibody
Krebs von den Lungen-6 antibody
MAM 6 antibody
MAM6 antibody
MCD antibody
MCKD antibody
MCKD1 antibody
Medullary cystic kidney disease 1 (autosomal dominant) antibody
Medullary cystic kidney disease, autosomal dominant antibody
MUC 1 antibody
MUC-1 antibody
MUC-1/SEC antibody
MUC-1/X antibody
MUC1 antibody
MUC1-alpha antibody
MUC1-beta antibody
MUC1-CT antibody
MUC1-NT antibody
MUC1/ZD antibody
MUC1_HUMAN antibody
Mucin 1 antibody
Mucin 1 transmembrane antibody
Mucin 1, cell surface associated antibody
Mucin-1 subunit beta antibody
Peanut reactive urinary mucin antibody
Peanut-reactive urinary mucin antibody
PEM antibody
PEMT antibody
Polymorphic epithelial mucin antibody
PUM antibody
Tumor associated epithelial membrane antigen antibody
Tumor associated epithelial mucin antibody
Tumor associated mucin antibody
Tumor-associated epithelial membrane antigen antibody
Tumor-associated mucin antibody
计算分子量:23 kDa
配方:1*TBS (pH7.4), 1%BSA, 40%Glycerol. Preservative: 0.05% Sodium Azide.
应用详情:WB: 1:1,000-1:2,000
IHC: 1:50-1:200
ICC: 1:50-1:200
FC: 1:50-1:100
图片:
ADMCKD1 antibody
Breast carcinoma associated antigen DF3 antibody
Breast carcinoma-associated antigen DF3 antibody
CA 15-3 antibody
CA15 3 antibody
CA15 3 antigen antibody
CA15.3 antibody
Cancer antigen 15-3 antibody
Carcinoma associated mucin antibody
Carcinoma-associated mucin antibody
CD 227 antibody
CD227 antibody
DF3 antigen antibody
EMA antibody
Episialin antibody
H23 antigen antibody
H23AG antibody
KL 6 antibody
KL-6 antibody
KL6 antibody
Krebs von den Lungen-6 antibody
MAM 6 antibody
MAM6 antibody
MCD antibody
MCKD antibody
MCKD1 antibody
Medullary cystic kidney disease 1 (autosomal dominant) antibody
Medullary cystic kidney disease, autosomal dominant antibody
MUC 1 antibody
MUC-1 antibody
MUC-1/SEC antibody
MUC-1/X antibody
MUC1 antibody
MUC1-alpha antibody
MUC1-beta antibody
MUC1-CT antibody
MUC1-NT antibody
MUC1/ZD antibody
MUC1_HUMAN antibody
Mucin 1 antibody
Mucin 1 transmembrane antibody
Mucin 1, cell surface associated antibody
Mucin-1 subunit beta antibody
Peanut reactive urinary mucin antibody
Peanut-reactive urinary mucin antibody
PEM antibody
PEMT antibody
Polymorphic epithelial mucin antibody
PUM antibody
Tumor associated epithelial membrane antigen antibody
Tumor associated epithelial mucin antibody
Tumor associated mucin antibody
Tumor-associated epithelial membrane antigen antibody
Tumor-associated mucin antibody
计算分子量:23 kDa
配方:1*TBS (pH7.4), 1%BSA, 40%Glycerol. Preservative: 0.05% Sodium Azide.
应用详情:WB: 1:1,000-1:2,000
IHC: 1:50-1:200
ICC: 1:50-1:200
FC: 1:50-1:100
图片:
![MUC1 Rabbit mAb[49024]](https://img1.dxycdn.com/p/s14/2025/0923/613/8651262559046140791.jpg)
,
![MUC1 Rabbit mAb[49024]](https://img1.dxycdn.com/p/s14/2025/0923/827/6509643430146140791.jpg)
,
![MUC1 Rabbit mAb[49024]](https://img1.dxycdn.com/p/s14/2025/0923/896/6501819189046140791.jpg)
,
![MUC1 Rabbit mAb[49024]](https://img1.dxycdn.com/p/s14/2025/0923/363/4205435430146140791.jpg)
,
![MUC1 Rabbit mAb[49024]](https://img1.dxycdn.com/p/s14/2025/0923/343/6944556989046140791.jpg)
,
![MUC1 Rabbit mAb[49024]](https://img1.dxycdn.com/p/s14/2025/0923/903/2365449289046140791.jpg)
,
![MUC1 Rabbit mAb[49024]](https://img1.dxycdn.com/p/s14/2025/0923/170/4241195759046140791.jpg)
风险提示:丁香通仅作为第三方平台,为商家信息发布提供平台空间。用户咨询产品时请注意保护个人信息及财产安全,合理判断,谨慎选购商品,商家和用户对交易行为负责。对于医疗器械类产品,请先查证核实企业经营资质和医疗器械产品注册证情况。
技术资料暂无技术资料 索取技术资料
MUC1 Rabbit mAb[49024]
询价


![MUC1 Rabbit mAb[49024]](https://img1.dxycdn.com/p/s14/2025/0923/496/0462304380155040791.jpg)


![Syntaxin Conjugated Antibody[C56510]](https://img1.dxycdn.com/p/s14/2025/0922/632/2321321568067599691.jpg!wh200)
![YPEL1 Antibody[43586]](https://img1.dxycdn.com/p/s14/2025/0922/568/0046652811090600791.jpg!wh200)
![Claudin 7 Conjugated Antibody[C33279]](https://img1.dxycdn.com/p/s14/2025/0923/278/4431488150116040791.jpg!wh200)
