相关产品推荐更多 >
万千商家帮你免费找货
0 人在求购买到急需产品
- 详细信息
- 技术资料
- 免疫原:
recombinant protein
- 形态:
liquid
- 保存条件:
Store at -20˚C
- 克隆性:
Monoclonal antibody
- 适应物种:
Human;Mouse;Rat;Zebrafish
- 保质期:
12 months
- 抗原来源:
Recombinant Rabbit
- 供应商:
南京赛戈巍生物科技有限公司
- 宿主:
Recombinant Rabbit
- 应用范围:
WB, ICC/IF, IHC, IP, FC
- 靶点:
Uniprot:Q92985
- 抗体英文名:
IRF7 Rabbit mAb
- 规格:
50ul/100ul
Interferon regulatory factor 7 antibody
Interferon regulatory factor 7H antibody
IRF 7 antibody
IRF 7A antibody
IRF 7H antibody
IRF-7 antibody
IRF7 antibody
IRF7_HUMAN antibody
IRF7A antibody
IRF7B antibody
IRF7C antibody
IRF7H antibody
计算分子量:54 kDa
配方:1*TBS (pH7.4), 1%BSA, 40%Glycerol. Preservative: 0.05% Sodium Azide.
应用详情:WB: 1:1,000-1:2,000
IHC: 1:50-1:200
ICC: 1:100-1:500
FC: 1:50-1:100
图片:
![IRF7 Rabbit mAb[49007]](https://img1.dxycdn.com/p/s14/2025/0923/450/2709779567326140791.png)
Western blot analysis of IRF7 on different lysates using anti-IRF7 antibody at 1/1,000 dilution. Positive control:
Lane 1: Jurkat
Lane 2: Raji
,
![IRF7 Rabbit mAb[49007]](https://img1.dxycdn.com/p/s14/2025/0923/009/2152517377326140791.jpg)
Western blot analysis of IRF7 on hybrid fish (crucian-carp) brain tissue lysate using anti-IRF7 antibody at 1/500 dilution.
,
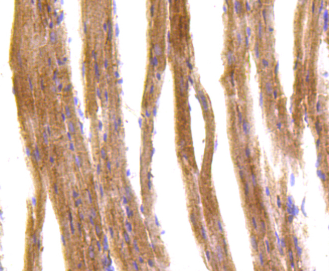
![IRF7 Rabbit mAb[49007]](https://img1.dxycdn.com/p/s14/2025/0923/040/8693086615526140791.png)
Immunohistochemical analysis of paraffin-embedded mouse heart tissue using anti-IRF7 antibody. Counter stained with hematoxylin.
,
![IRF7 Rabbit mAb[49007]](https://img1.dxycdn.com/p/s14/2025/0923/871/0675270280626140791.png)
Immunohistochemical analysis of paraffin-embedded human tonsil tissue using anti-IRF7 antibody. Counter stained with hematoxylin.
,
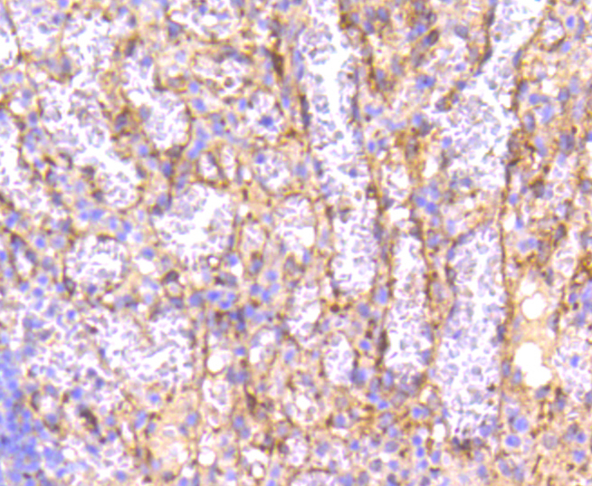
![IRF7 Rabbit mAb[49007]](https://img1.dxycdn.com/p/s14/2025/0923/629/4686979494626140791.png)
Immunohistochemical analysis of paraffin-embedded human spleen tissue using anti-IRF7 antibody. Counter stained with hematoxylin.
,
![IRF7 Rabbit mAb[49007]](https://img1.dxycdn.com/p/s14/2025/0923/568/6756379948426140791.png)
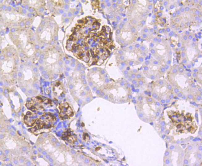
Immunohistochemical analysis of paraffin-embedded human kidney tissue using anti-IRF7 antibody. Counter stained with hematoxylin.
,
![IRF7 Rabbit mAb[49007]](https://img1.dxycdn.com/p/s14/2025/0923/007/6961876875626140791.png)
Immunohistochemical analysis of paraffin-embedded mouse liver tissue using anti-IRF7 antibody. Counter stained with hematoxylin.
,
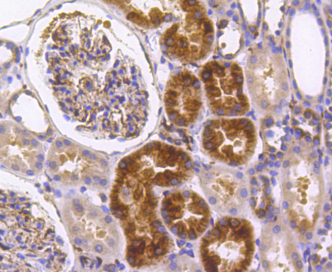
![IRF7 Rabbit mAb[49007]](https://img1.dxycdn.com/p/s14/2025/0923/613/6944199743626140791.png)
Immunohistochemical analysis of paraffin-embedded mouse kidney tissue using anti-IRF7 antibody. Counter stained with hematoxylin.
,
![IRF7 Rabbit mAb[49007]](https://img1.dxycdn.com/p/s14/2025/0923/577/8657320236526140791.png)
ICC staining IRF7 in PC-12 cells (green). The nuclear counter stain is DAPI (blue). Cells were fixed in paraformaldehyde, permeabilised with 0.25% Triton X100/PBS.
,
![IRF7 Rabbit mAb[49007]](https://img1.dxycdn.com/p/s14/2025/0923/713/0466750382526140791.png)
ICC staining IRF7 in HepG2 cells (green). The nuclear counter stain is DAPI (blue). Cells were fixed in paraformaldehyde, permeabilised with 0.25% Triton X100/PBS.
,
![IRF7 Rabbit mAb[49007]](https://img1.dxycdn.com/p/s14/2025/0923/697/2998895959526140791.png)
ICC staining IRF7 in 293 cells (green). The nuclear counter stain is DAPI (blue). Cells were fixed in paraformaldehyde, permeabilised with 0.25% Triton X100/PBS.
,
![IRF7 Rabbit mAb[49007]](https://img1.dxycdn.com/p/s14/2025/0923/833/0635144774526140791.png)
Flow cytometric analysis of Jurkat cells with IRF7 antibody at 1/50 dilution (red) compared with an unlabelled control (cells without incubation with primary antibody; black). Alexa Fluor 488-conjugated goat anti rabbit IgG was used as the secondary antibody
风险提示:丁香通仅作为第三方平台,为商家信息发布提供平台空间。用户咨询产品时请注意保护个人信息及财产安全,合理判断,谨慎选购商品,商家和用户对交易行为负责。对于医疗器械类产品,请先查证核实企业经营资质和医疗器械产品注册证情况。
技术资料暂无技术资料 索取技术资料


![IRF7 Rabbit mAb[49007]](https://img1.dxycdn.com/p/s14/2025/0923/496/0462304380155040791.jpg)


![RAB11FIP2 Antibody[34949]](https://img1.dxycdn.com/p/s14/2025/0922/359/6146153295428599691.jpg!wh200)
![NOXA Rabbit mAb[52684]](https://img1.dxycdn.com/p/s14/2025/0922/498/0460884283108299691.jpg!wh200)
![BOC Polyclonal Conjugated Antibody[C42679]](https://img1.dxycdn.com/p/s14/2025/0923/278/4431488150116040791.jpg!wh200)
![Tyrosine-protein kinase transmembrane receptor ROR1 Polyclonal Antibody[42311]](https://img1.dxycdn.com/p/s14/2025/0922/568/0046652811090600791.jpg!wh200)
