相关产品推荐更多 >
万千商家帮你免费找货
0 人在求购买到急需产品
- 详细信息
- 技术资料
- 免疫原:
recombinant protein
- 形态:
liquid
- 保存条件:
Store at -20˚C
- 克隆性:
Monoclonal antibody
- 适应物种:
Human;Mouse;Rat
- 保质期:
12 months
- 抗原来源:
Recombinant Rabbit
- 供应商:
南京赛戈巍生物科技有限公司
- 宿主:
Recombinant Rabbit
- 应用范围:
WB, IHC, FC
- 靶点:
Uniprot:Q15311
- 抗体英文名:
RALBP1 Rabbit mAb
- 规格:
50ul/100ul
76 kDa Ral-interacting protein antibody
76-kDa Ral-interacting protein antibody
Dinitrophenyl S-glutathione ATPase antibody
DNP-SG ATPase antibody
Ral-interacting protein 1 antibody
Ral-interacting protein 1, 76-KD antibody
RalA-binding protein 1 antibody
RalBP1 antibody
RBP1_HUMAN antibody
RIP1 antibody
RLIP1 antibody
RLIP76 antibody
计算分子量:95 kDa
配方:1*TBS (pH7.4), 1%BSA, 40%Glycerol. Preservative: 0.05% Sodium Azide.
应用详情:WB: 1:1,000-5,000
IHC: 1:50-1:200
FC: 1:50-1:100
图片:
![RALBP1 Rabbit mAb[49006]](https://img1.dxycdn.com/p/s14/2025/0923/972/8212992869126140791.png)
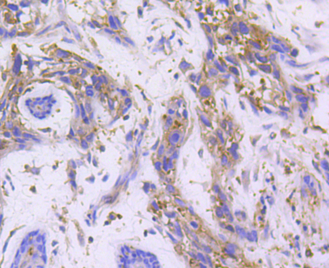
Immunohistochemical analysis of paraffin-embedded human breast carcinoma tissue using anti-RALBP1 antibody. Counter stained with hematoxylin.
,
![RALBP1 Rabbit mAb[49006]](https://img1.dxycdn.com/p/s14/2025/0923/544/4418530033226140791.png)
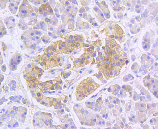
Immunohistochemical analysis of paraffin-embedded human pancreas tissue using anti-RALBP1 antibody. Counter stained with hematoxylin.
,
![RALBP1 Rabbit mAb[49006]](https://img1.dxycdn.com/p/s14/2025/0923/302/8672762705226140791.png)
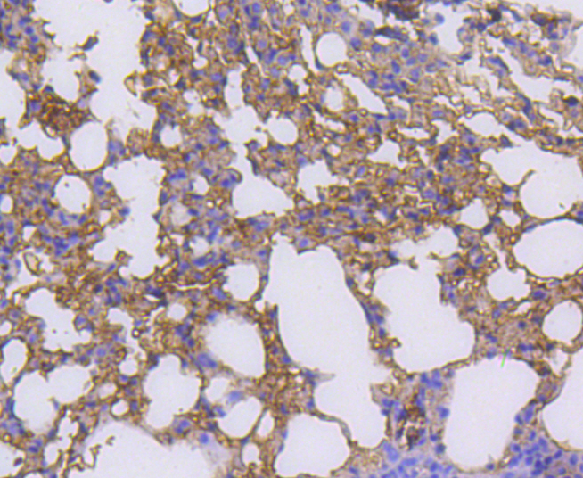
Immunohistochemical analysis of paraffin-embedded mouse lung tissue using anti-RALBP1 antibody. Counter stained with hematoxylin.
,
![RALBP1 Rabbit mAb[49006]](https://img1.dxycdn.com/p/s14/2025/0923/719/0441859770226140791.png)
Immunohistochemical analysis of paraffin-embedded mouse testis tissue using anti-RALBP1 antibody. Counter stained with hematoxylin.
,
![RALBP1 Rabbit mAb[49006]](https://img1.dxycdn.com/p/s14/2025/0923/059/0401303065226140791.png)
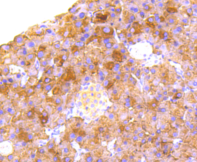
Immunohistochemical analysis of paraffin-embedded mouse pancreas tissue using anti-RALBP1 antibody. Counter stained with hematoxylin.
,
![RALBP1 Rabbit mAb[49006]](https://img1.dxycdn.com/p/s14/2025/0923/279/4897901059026140791.png)
Flow cytometric analysis of 293 cells with RALBP1 antibody at 1/50 dilution (red) compared with an unlabelled control (cells without incubation with primary antibody; black). Alexa Fluor 488-conjugated goat anti rabbit IgG was used as the secondary antibody.
风险提示:丁香通仅作为第三方平台,为商家信息发布提供平台空间。用户咨询产品时请注意保护个人信息及财产安全,合理判断,谨慎选购商品,商家和用户对交易行为负责。对于医疗器械类产品,请先查证核实企业经营资质和医疗器械产品注册证情况。
技术资料暂无技术资料 索取技术资料


![RALBP1 Rabbit mAb[49006]](https://img1.dxycdn.com/p/s14/2025/0923/496/0462304380155040791.jpg)


![PRDX4 Antibody[43303]](https://img1.dxycdn.com/p/s14/2025/0922/568/0046652811090600791.jpg!wh200)
![Apg3 (Atg3) Conjugated Antibody[C56160]](https://img1.dxycdn.com/p/s14/2025/0922/632/2321321568067599691.jpg!wh200)
![Estrogen Receptor alpha Conjugated Antibody[C48263]](https://img1.dxycdn.com/p/s14/2025/0923/305/2150219664296040791.jpg!wh200)
