相关产品推荐更多 >
万千商家帮你免费找货
0 人在求购买到急需产品
- 详细信息
- 技术资料
- 免疫原:
recombinant protein
- 形态:
liquid
- 保存条件:
Store at -20˚C
- 克隆性:
Monoclonal antibody
- 适应物种:
Human
- 保质期:
12 months
- 抗原来源:
Recombinant Rabbit
- 供应商:
南京赛戈巍生物科技有限公司
- 宿主:
Recombinant Rabbit
- 应用范围:
WB, ICC, IHC
- 靶点:
Uniprot:P08571
- 抗体英文名:
CD14 Rabbit mAb
- 规格:
50ul/100ul
CD_antigen=CD14 antibody
CD14 antibody
CD14 antigen antibody
CD14 molecule antibody
CD14_HUMAN antibody
LPS-R antibody
Mo2 antibody
Monocyte differentiation antigen CD14 antibody
Monocyte differentiation antigen CD14 urinary form antibody
Monocyte differentiation antigen CD14, membrane-bound form antibody
Myeloid cell specific leucine rich glycoprotein antibody
Myeloid cell-specific leucine-rich glycoprotein antibody
计算分子量:55-65 kDa
配方:1*TBS (pH7.4), 1%BSA, 40%Glycerol. Preservative: 0.05% Sodium Azide.
应用详情:WB: 1:1,000-1:2,000
IHC: 1:50-1:200
ICC: 1:50-1:200
图片:
![CD14 Rabbit mAb[49003]](https://img1.dxycdn.com/p/s14/2025/0923/345/4241932161916140791.jpg)
Western blot analysis of CD14 on different lysates using anti-CD14 antibody at 1/1,000 dilution. Positive control:
Lane 1: Human liver
Lane 2: SW480
,
![CD14 Rabbit mAb[49003]](https://img1.dxycdn.com/p/s14/2025/0923/803/6904067981916140791.jpg)
Immunohistochemical analysis of paraffin-embedded human uterus tissue using anti-CD14 antibody. Counter stained with hematoxylin.
,
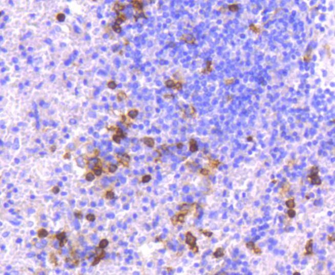
![CD14 Rabbit mAb[49003]](https://img1.dxycdn.com/p/s14/2025/0923/113/4435052191916140791.jpg)
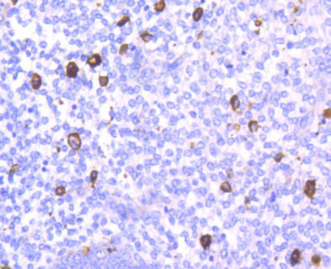
Immunohistochemical analysis of paraffin-embedded human tonsil tissue using anti-CD14 antibody. Counter stained with hematoxylin.
,
![CD14 Rabbit mAb[49003]](https://img1.dxycdn.com/p/s14/2025/0923/025/8007810191916140791.jpg)
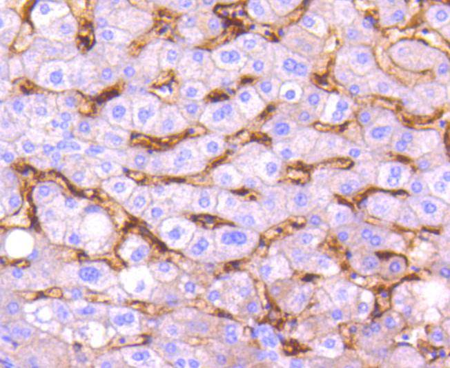
Immunohistochemical analysis of paraffin-embedded human liver tissue using anti-CD14 antibody. Counter stained with hematoxylin.
,
![CD14 Rabbit mAb[49003]](https://img1.dxycdn.com/p/s14/2025/0923/720/8218275981916140791.jpg)
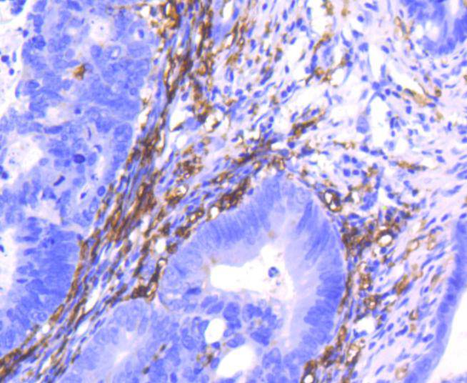
Immunohistochemical analysis of paraffin-embedded human colon cancer tissue using anti-CD14 antibody. Counter stained with hematoxylin.
,
![CD14 Rabbit mAb[49003]](https://img1.dxycdn.com/p/s14/2025/0923/591/9007810191916140791.jpg)
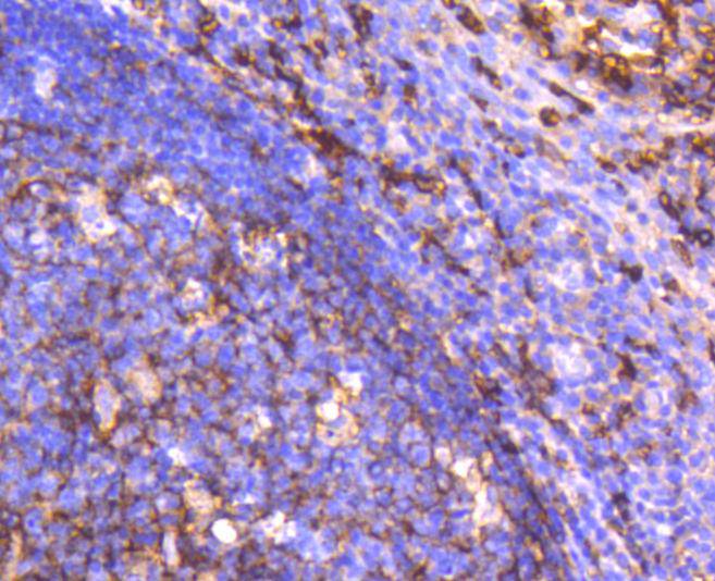
Immunohistochemical analysis of paraffin-embedded human spleen tissue using anti-CD14 antibody. Counter stained with hematoxylin.
,
![CD14 Rabbit mAb[49003]](https://img1.dxycdn.com/p/s14/2025/0923/538/6545150161916140791.jpg)
ICC staining CD14 in A549 cells (green). The nuclear counter stain is DAPI (blue). Cells were fixed in paraformaldehyde, permeabilised with 0.25% Triton X100/PBS.
,
![CD14 Rabbit mAb[49003]](https://img1.dxycdn.com/p/s14/2025/0923/095/8638903261916140791.jpg)
ICC staining CD14 in NCCIT cells (green). The nuclear counter stain is DAPI (blue). Cells were fixed in paraformaldehyde, permeabilised with 0.25% Triton X100/PBS.
,
![CD14 Rabbit mAb[49003]](https://img1.dxycdn.com/p/s14/2025/0923/092/8803704991916140791.jpg)
ICC staining CD14 in NIH/3T3 cells (green). The nuclear counter stain is DAPI (blue). Cells were fixed in paraformaldehyde, permeabilised with 0.25% Triton X100/PBS.
,
![CD14 Rabbit mAb[49003]](https://img1.dxycdn.com/p/s14/2025/0923/473/0409958402916140791.jpg)
ICC staining CD14 in LO2 cells (green). The nuclear counter stain is DAPI (blue). Cells were fixed in paraformaldehyde, permeabilised with 0.25% Triton X100/PBS.
风险提示:丁香通仅作为第三方平台,为商家信息发布提供平台空间。用户咨询产品时请注意保护个人信息及财产安全,合理判断,谨慎选购商品,商家和用户对交易行为负责。对于医疗器械类产品,请先查证核实企业经营资质和医疗器械产品注册证情况。
技术资料暂无技术资料 索取技术资料


![CD14 Rabbit mAb[49003]](https://img1.dxycdn.com/p/s14/2025/0923/496/0462304380155040791.jpg)


![Phospho-PAK1(S144)+PAK2(S141)+PAK3(S139) Rabbit mAb[13363]](https://img1.dxycdn.com/p/s14/2025/0923/496/0462304380155040791.jpg!wh200)
![TNFRSF6B Mouse mAb[64340]](https://img1.dxycdn.com/p/s14/2025/0922/632/2321321568067599691.jpg!wh200)
![Histone H4 Rabbit Polyclonal Antibody[54356]](https://img1.dxycdn.com/p/s14/2025/0922/498/0460884283108299691.jpg!wh200)
