相关产品推荐更多 >
万千商家帮你免费找货
0 人在求购买到急需产品
- 详细信息
- 技术资料
- 免疫原:
recombinant protein
- 形态:
liquid
- 保存条件:
Store at -20˚C
- 克隆性:
Monoclonal antibody
- 适应物种:
Human;Mouse;Rat
- 保质期:
12 months
- 抗原来源:
Recombinant Rabbit
- 供应商:
南京赛戈巍生物科技有限公司
- 宿主:
Recombinant Rabbit
- 应用范围:
WB, ICC, IHC, IP
- 靶点:
Uniprot:P52735
- 抗体英文名:
VAV2 Rabbit mAb
- 规格:
50ul/100ul
Oncogene VAV2 antibody
Protein vav 2 antibody
VAV 2 antibody
Vav 2 oncogene antibody
VAV-2 antibody
VAV2 antibody
VAV2 oncogene antibody
VAV2_HUMAN antibody
计算分子量:100 kDa
配方:1*TBS (pH7.4), 1%BSA, 40%Glycerol. Preservative: 0.05% Sodium Azide.
应用详情:WB: 1:1,000-5,000
IHC: 1:50-1:200
ICC: 1:50-1:200
图片:
![VAV2 Rabbit mAb[48996]](https://img1.dxycdn.com/p/s14/2025/0923/535/4074261303716140791.jpg)
Western blot analysis of VAV2 on SW480 cells lysates using anti-VAV2 antibody at 1/1,000 dilution.
,
![VAV2 Rabbit mAb[48996]](https://img1.dxycdn.com/p/s14/2025/0923/888/2175950495716140791.jpg)
Immunohistochemical analysis of paraffin-embedded rat brain tissue using anti-VAV2 antibody. Counter stained with hematoxylin.
,
![VAV2 Rabbit mAb[48996]](https://img1.dxycdn.com/p/s14/2025/0923/249/6988087333716140791.jpg)
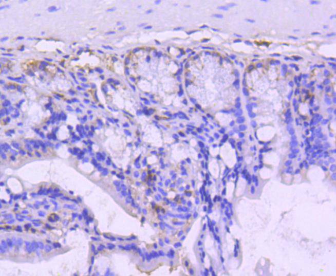
Immunohistochemical analysis of paraffin-embedded mouse colon tissue using anti-VAV2 antibody. Counter stained with hematoxylin.
,
![VAV2 Rabbit mAb[48996]](https://img1.dxycdn.com/p/s14/2025/0923/637/2914818923716140791.jpg)
,
![VAV2 Rabbit mAb[48996]](https://img1.dxycdn.com/p/s14/2025/0923/363/4644524033716140791.jpg)
ICC staining VAV2 in Hela cells (green). The nuclear counter stain is DAPI (blue). Cells were fixed in paraformaldehyde, permeabilised with 0.25% Triton X100/PBS.
,
![VAV2 Rabbit mAb[48996]](https://img1.dxycdn.com/p/s14/2025/0923/025/8427747823716140791.jpg)
ICC staining VAV2 in NIH/3T3 cells (green). The nuclear counter stain is DAPI (blue). Cells were fixed in paraformaldehyde, permeabilised with 0.25% Triton X100/PBS.
,
![VAV2 Rabbit mAb[48996]](https://img1.dxycdn.com/p/s14/2025/0923/699/4437318303716140791.jpg)
ICC staining VAV2 in SW480 cells (green). The nuclear counter stain is DAPI (blue). Cells were fixed in paraformaldehyde, permeabilised with 0.25% Triton X100/PBS.
风险提示:丁香通仅作为第三方平台,为商家信息发布提供平台空间。用户咨询产品时请注意保护个人信息及财产安全,合理判断,谨慎选购商品,商家和用户对交易行为负责。对于医疗器械类产品,请先查证核实企业经营资质和医疗器械产品注册证情况。
技术资料暂无技术资料 索取技术资料


![VAV2 Rabbit mAb[48996]](https://img1.dxycdn.com/p/s14/2025/0923/496/0462304380155040791.jpg)


![PSMD10 Antibody[42712]](https://img1.dxycdn.com/p/s14/2025/0922/568/0046652811090600791.jpg!wh200)
![KCNA1 antibody[38529]](https://img1.dxycdn.com/p/s14/2025/0922/359/6146153295428599691.jpg!wh200)
![PKC delta + PKC theta Antibody[60289]](https://img1.dxycdn.com/p/s14/2025/0922/632/2321321568067599691.jpg!wh200)
![hnRNP U Conjugated Antibody[C49793]](https://img1.dxycdn.com/p/s14/2025/0923/305/2150219664296040791.jpg!wh200)
