相关产品推荐更多 >
万千商家帮你免费找货
0 人在求购买到急需产品
- 详细信息
- 技术资料
- 免疫原:
recombinant protein
- 形态:
liquid
- 保存条件:
Store at -20˚C
- 克隆性:
Monoclonal antibody
- 适应物种:
Human;Mouse;Rat
- 保质期:
12 months
- 抗原来源:
Recombinant Rabbit
- 供应商:
南京赛戈巍生物科技有限公司
- 宿主:
Recombinant Rabbit
- 应用范围:
WB, ICC/IF, IHC, IP, FC
- 靶点:
Uniprot:Q9NR28
- 抗体英文名:
DIABLO Rabbit mAb
- 规格:
50ul/100ul
DBLOH_HUMAN antibody
DBOH antibody
DFNA64 antibody
diablo antibody
Diablo homolog (Drosophila) antibody
Diablo homolog antibody
Diablo homolog mitochondrial antibody
Diablo IAP binding mitochondrial protein antibody
Diablo like protein antibody
DIABLO S antibody
Direct IAP binding protein with low pI antibody
Direct IAP-binding protein with low pI antibody
FLJ10537 antibody
FLJ25049 antibody
mitochondrial antibody
Mitochondrial Smac protein antibody
Second mitochondria derived activator of caspase antibody
Second mitochondria-derived activator of caspase antibody
SMAC 3 antibody
Smac antibody
Smac protein antibody
SMAC3 antibody
计算分子量:21 kDa
配方:1*TBS (pH7.4), 1%BSA, 40%Glycerol. Preservative: 0.05% Sodium Azide.
应用详情:WB: 1:1,000-1:2,000
IHC: 1:50-1:200
ICC: 1:50-1:200
FC: 1:50-1:100
图片:
![DIABLO Rabbit mAb[48991]](https://img1.dxycdn.com/p/s14/2025/0923/271/6798537881616140791.jpg)
Western blot analysis of DIABLO on different lysates using anti-DIABLO antibody at 1/1,000 dilution. Positive control:
Lane 1: Jurkat
Lane 2: Hela
Lane 3: MCF-7
,
![DIABLO Rabbit mAb[48991]](https://img1.dxycdn.com/p/s14/2025/0923/098/0654515812616140791.jpg)
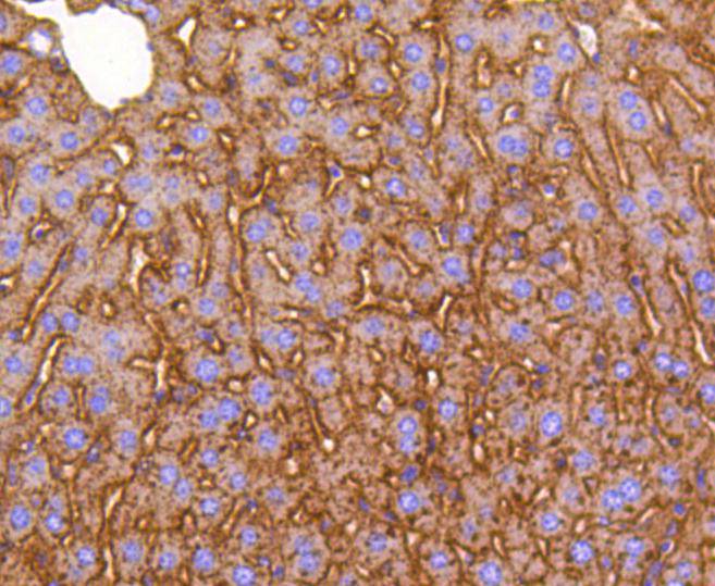
Immunohistochemical analysis of paraffin-embedded human spleen tissue using anti-DIABLO antibody. Counter stained with hematoxylin.
,
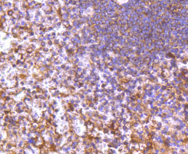
![DIABLO Rabbit mAb[48991]](https://img1.dxycdn.com/p/s14/2025/0923/295/8824809712616140791.jpg)
,
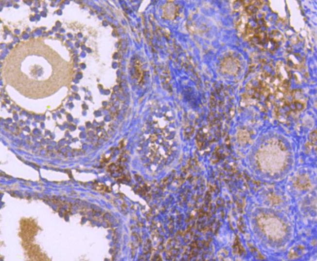
![DIABLO Rabbit mAb[48991]](https://img1.dxycdn.com/p/s14/2025/0923/866/8672118512616140791.jpg)
Immunohistochemical analysis of paraffin-embedded mouse overy tissue using anti-DIABLO antibody. Counter stained with hematoxylin.
,
![DIABLO Rabbit mAb[48991]](https://img1.dxycdn.com/p/s14/2025/0923/599/8210061512616140791.jpg)
Immunohistochemical analysis of paraffin-embedded mouse skin tissue using anti-DIABLO antibody. Counter stained with hematoxylin.
,
![DIABLO Rabbit mAb[48991]](https://img1.dxycdn.com/p/s14/2025/0923/885/4648193512616140791.jpg)
ICC staining DIABLO in Hela cells (green). The nuclear counter stain is DAPI (blue). Cells were fixed in paraformaldehyde, permeabilised with 0.25% Triton X100/PBS.
,
![DIABLO Rabbit mAb[48991]](https://img1.dxycdn.com/p/s14/2025/0923/498/4019176191616140791.jpg)
ICC staining DIABLO in B16-F1 cells (green). The nuclear counter stain is DAPI (blue). Cells were fixed in paraformaldehyde, permeabilised with 0.25% Triton X100/PBS.
,
![DIABLO Rabbit mAb[48991]](https://img1.dxycdn.com/p/s14/2025/0923/872/6161783981616140791.jpg)
ICC staining DIABLO in LO2 cells (green). The nuclear counter stain is DAPI (blue). Cells were fixed in paraformaldehyde, permeabilised with 0.25% Triton X100/PBS.
,
![DIABLO Rabbit mAb[48991]](https://img1.dxycdn.com/p/s14/2025/0923/382/6980677232616140791.jpg)
ICC staining DIABLO in N2A cells (green). The nuclear counter stain is DAPI (blue). Cells were fixed in paraformaldehyde, permeabilised with 0.25% Triton X100/PBS.
,
![DIABLO Rabbit mAb[48991]](https://img1.dxycdn.com/p/s14/2025/0923/967/8638523042616140791.jpg)
Flow cytometric analysis of HepG2 cells with DIABLO antibody at 1/50 dilution (red) compared with an unlabelled control (cells without incubation with primary antibody; black). Alexa Fluor 488-conjugated goat anti rabbit IgG was used as the secondary antibody.
风险提示:丁香通仅作为第三方平台,为商家信息发布提供平台空间。用户咨询产品时请注意保护个人信息及财产安全,合理判断,谨慎选购商品,商家和用户对交易行为负责。对于医疗器械类产品,请先查证核实企业经营资质和医疗器械产品注册证情况。
技术资料暂无技术资料 索取技术资料


![DIABLO Rabbit mAb[48991]](https://img1.dxycdn.com/p/s14/2025/0923/496/0462304380155040791.jpg)


![IFI6 Antibody[35228]](https://img1.dxycdn.com/p/s14/2025/0922/359/6146153295428599691.jpg!wh200)
![RAD52 Mouse mAb[64166]](https://img1.dxycdn.com/p/s14/2025/0922/632/2321321568067599691.jpg!wh200)
![TRADD Rabbit Polyclonal Antibody[54578]](https://img1.dxycdn.com/p/s14/2025/0922/498/0460884283108299691.jpg!wh200)
![LINGO1 Antibody[43744]](https://img1.dxycdn.com/p/s14/2025/0922/568/0046652811090600791.jpg!wh200)
![UNCX Conjugated Antibody[C43839]](https://img1.dxycdn.com/p/s14/2025/0923/305/2150219664296040791.jpg!wh200)
