相关产品推荐更多 >
万千商家帮你免费找货
0 人在求购买到急需产品
- 详细信息
- 技术资料
- 免疫原:
recombinant protein
- 形态:
liquid
- 保存条件:
Store at -20˚C
- 克隆性:
Monoclonal antibody
- 适应物种:
Human;Mouse;Rat
- 保质期:
12 months
- 抗原来源:
Recombinant Rabbit
- 供应商:
南京赛戈巍生物科技有限公司
- 宿主:
Recombinant Rabbit
- 应用范围:
WB, IHC
- 靶点:
Uniprot:P41250
- 抗体英文名:
GARS Rabbit mAb
- 规格:
50ul/100ul
别名:AP 4 A synthetase antibody
Charcot Marie Tooth neuropathy 2D antibody
Charcot Marie Tooth neuropathy neuronal type D antibody
CMT2D antibody
Diadenosine tetraphosphate synthetase antibody
DSMAV antibody
EC 6.1.1.14 antibody
Glycine tRNA ligase antibody
Glycyl tRNA synthetase antibody
GlyRS antibody
HMN5 antibody
SMAD1 antibody
计算分子量:75 kDa
配方:1*TBS (pH7.4), 1%BSA, 40%Glycerol. Preservative: 0.05% Sodium Azide.
应用详情:WB: 1:1,000-1:2,000
IHC: 1:50-1:200
图片:
Charcot Marie Tooth neuropathy 2D antibody
Charcot Marie Tooth neuropathy neuronal type D antibody
CMT2D antibody
Diadenosine tetraphosphate synthetase antibody
DSMAV antibody
EC 6.1.1.14 antibody
Glycine tRNA ligase antibody
Glycyl tRNA synthetase antibody
GlyRS antibody
HMN5 antibody
SMAD1 antibody
计算分子量:75 kDa
配方:1*TBS (pH7.4), 1%BSA, 40%Glycerol. Preservative: 0.05% Sodium Azide.
应用详情:WB: 1:1,000-1:2,000
IHC: 1:50-1:200
图片:
![GARS Rabbit mAb[48983]](https://img1.dxycdn.com/p/s14/2025/0923/208/6121630472416140791.jpg)
Western blot analysis of GARS on Raji cells lysates using anti-GARS antibody at 1/1,000 dilution.
,
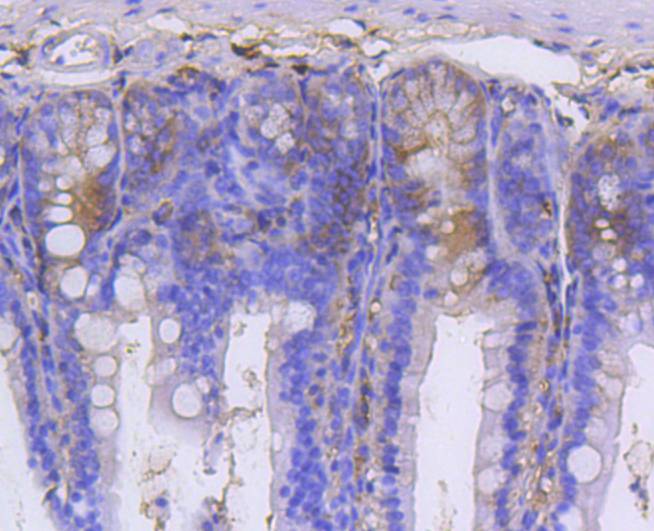
![GARS Rabbit mAb[48983]](https://img1.dxycdn.com/p/s14/2025/0923/808/6902358992416140791.jpg)
Immunohistochemical analysis of paraffin-embedded mouse colon tissue using anti-GARS antibody. Counter stained with hematoxylin.
,
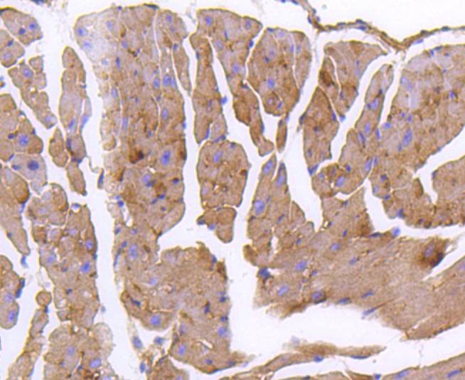
![GARS Rabbit mAb[48983]](https://img1.dxycdn.com/p/s14/2025/0923/884/4608040003416140791.jpg)
Immunohistochemical analysis of paraffin-embedded mouse heart tissue using anti-GARS antibody. Counter stained with hematoxylin.
风险提示:丁香通仅作为第三方平台,为商家信息发布提供平台空间。用户咨询产品时请注意保护个人信息及财产安全,合理判断,谨慎选购商品,商家和用户对交易行为负责。对于医疗器械类产品,请先查证核实企业经营资质和医疗器械产品注册证情况。
技术资料暂无技术资料 索取技术资料
GARS Rabbit mAb[48983]
询价


![GARS Rabbit mAb[48983]](https://img1.dxycdn.com/p/s14/2025/0923/496/0462304380155040791.jpg)



![ORC1 Polyclonal Antibody[41292]](https://img1.dxycdn.com/p/s14/2025/0922/568/0046652811090600791.jpg!wh200)
![ANKRD44 Antibody[39688]](https://img1.dxycdn.com/p/s14/2025/0922/359/6146153295428599691.jpg!wh200)
![Histone Deacetylase 2 Antibody[48252]](https://img1.dxycdn.com/p/s14/2025/0923/496/0462304380155040791.jpg!wh200)
![CD82 Mouse mAb[63424]](https://img1.dxycdn.com/p/s14/2025/0922/632/2321321568067599691.jpg!wh200)
