相关产品推荐更多 >
万千商家帮你免费找货
0 人在求购买到急需产品
- 详细信息
- 技术资料
- 免疫原:
Synthetic phospho-peptide corresponding to residues surrounding Ser118 of human Estrogen Receptor alpha.
- 形态:
liquid
- 保存条件:
Store at -20˚C
- 克隆性:
Monoclonal
- 适应物种:
Human
- 保质期:
12 months
- 抗原来源:
Rabbit
- 供应商:
南京赛戈巍生物科技有限公司
- 宿主:
Rabbit
- 应用范围:
WB;ICC/IF;IHC
- 靶点:
Uniprot:P03372
- 抗体英文名:
Estrogen Receptor alpha(Phospho-S118) Rabbit mAb
- 规格:
50ul/100ul
ER alpha antibody
ER antibody
ER-alpha antibody
Era antibody
ESR antibody
ESR1 antibody
ESR1_HUMAN antibody
ESRA antibody
Estradiol receptor antibody
Estrogen nuclear receptor alpha antibody
Estrogen receptor 1 antibody
Estrogen receptor alpha 3*,4,5,6,7*/822 isoform antibody
Estrogen receptor alpha antibody
Estrogen receptor alpha delta 3*,4,5,6,7*,8*/941 isoform antibody
Estrogen receptor alpha delta 3*,4,5,6,7*/819 2 isoform antibody
Estrogen receptor alpha delta 4 +49 isoform antibody
Estrogen receptor alpha delta 4*,5,6,7*/654 isoform antibody
Estrogen receptor alpha delta 4*,5,6,7,8*/901 isoform antibody
Estrogen receptor alpha E1 E2 1 2 antibody
Estrogen receptor alpha E1 N2 E2 1 2 antibody
Estrogen receptor antibody
ESTRR antibody
NR3A1 antibody
Nuclear receptor subfamily 3 group A member 1 antibody
计算分子量:66 kDa
配方:1*TBS (pH7.4), 1%BSA, 40%Glycerol. Preservative: 0.05% Sodium Azide.
应用详情:WB: 1:500-1:2000
ICC/IF: 1:50-1:200
IHC: 1:50-1:200
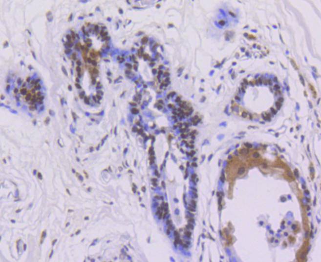
图片:

Western blot analysis of Estrogen Receptor alpha(phospho S118) on MCF-7 cell lysates using anti- phospho-Estrogen Receptor alpha(S118) antibody at 1/1,000 dilution.
,

Immunohistochemical analysis of paraffin-embedded human breast carcinoma tissue using anti- phospho-Estrogen Receptor alpha(S118) antibody. Counter stained with hematoxylin.
,

Immunohistochemical analysis of paraffin-embedded mouse placenta tissue using anti- phospho-Estrogen Receptor alpha(S118) antibody. Counter stained with hematoxylin.
,

ICC staining phospho-Estrogen Receptor alpha(S118) in Hela cells (green). The nuclear counter stain is DAPI (blue). Cells were fixed in paraformaldehyde, permeabilised with 0.25% Triton X100/PBS.
,

ICC staining phospho-Estrogen Receptor alpha(S118) in MCF-7 cells (green). The nuclear counter stain is DAPI (blue). Cells were fixed in paraformaldehyde, permeabilised with 0.25% Triton X100/PBS.
,

ICC staining phospho-Estrogen Receptor alpha(S118) in HUVEC cells (green). The nuclear counter stain is DAPI (blue). Cells were fixed in paraformaldehyde, permeabilised with 0.25% Triton X100/PBS.
风险提示:丁香通仅作为第三方平台,为商家信息发布提供平台空间。用户咨询产品时请注意保护个人信息及财产安全,合理判断,谨慎选购商品,商家和用户对交易行为负责。对于医疗器械类产品,请先查证核实企业经营资质和医疗器械产品注册证情况。
技术资料暂无技术资料 索取技术资料


![Phospho-Estrogen Receptor alpha(S118) Rabbit mAb[13382]](https://img1.dxycdn.com/p/s14/2025/0923/496/0462304380155040791.jpg)


![SLC5A8 Antibody[46672]](https://img1.dxycdn.com/p/s14/2025/0923/496/0462304380155040791.jpg!wh200)
![MYL4 Rabbit Polyclonal Antibody[53496]](https://img1.dxycdn.com/p/s14/2025/0922/498/0460884283108299691.jpg!wh200)
![ALS2CL Antibody[43697]](https://img1.dxycdn.com/p/s14/2025/0922/568/0046652811090600791.jpg!wh200)
![CCT6A Antibody[35092]](https://img1.dxycdn.com/p/s14/2025/0922/359/6146153295428599691.jpg!wh200)
![Prostein Conjugated Antibody[C56978]](https://img1.dxycdn.com/p/s14/2025/0922/632/2321321568067599691.jpg!wh200)
