相关产品推荐更多 >
万千商家帮你免费找货
0 人在求购买到急需产品
- 详细信息
- 技术资料
- 免疫原:
Synthetic phospho-peptide corresponding to residues surrounding Ser99 of human PKA R2
- 形态:
liquid
- 保存条件:
Store at -20˚C
- 克隆性:
Monoclonal
- 适应物种:
Human;Mouse;Rat;Pig
- 保质期:
12 months
- 抗原来源:
Rabbit
- 供应商:
南京赛戈巍生物科技有限公司
- 宿主:
Rabbit
- 应用范围:
WB;ICC/IF;IHC
- 靶点:
Uniprot:P13861
- 抗体英文名:
PKA R2 (Phospho-S99) Rabbit mAb
- 规格:
50ul/100ul
cAMP dependent protein kinase regulatory subunit RII alpha antibody
cAMP dependent protein kinase type II alpha regulatory chain antibody
cAMP dependent protein kinase type II alpha regulatory subunit antibody
cAMP-dependent protein kinase type II-alpha regulatory subunit antibody
KAP2 antibody
KAP2_HUMAN antibody
MGC3606 antibody
PKR 2 antibody
PKR2 antibody
PRKA R2 antibody
PRKAR 2 antibody
PRKAR2 antibody
PRKAR2A antibody
Protein kinase A RII alpha subunit antibody
Protein kinase cAMP dependent regulatory type II alpha antibody
计算分子量:46 kDa
配方:1*TBS (pH7.4), 1%BSA, 40%Glycerol. Preservative: 0.05% Sodium Azide.
应用详情:WB: 1:500-1:2000
ICC/IF: 1:50-1:200
IHC: 1:50-1:200
图片:

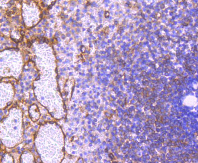
Immunohistochemical analysis of paraffin-embedded human spleen tissue using anti- phospho-PKA R2 (S99) antibody. Counter stained with hematoxylin.
,

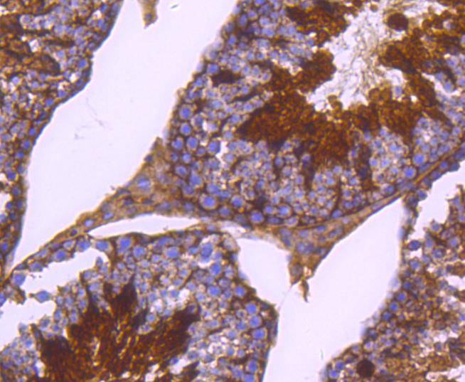
Immunohistochemical analysis of paraffin-embedded mouse testis tissue using anti- phospho-PKA R2 (S99) antibody. Counter stained with hematoxylin.
,

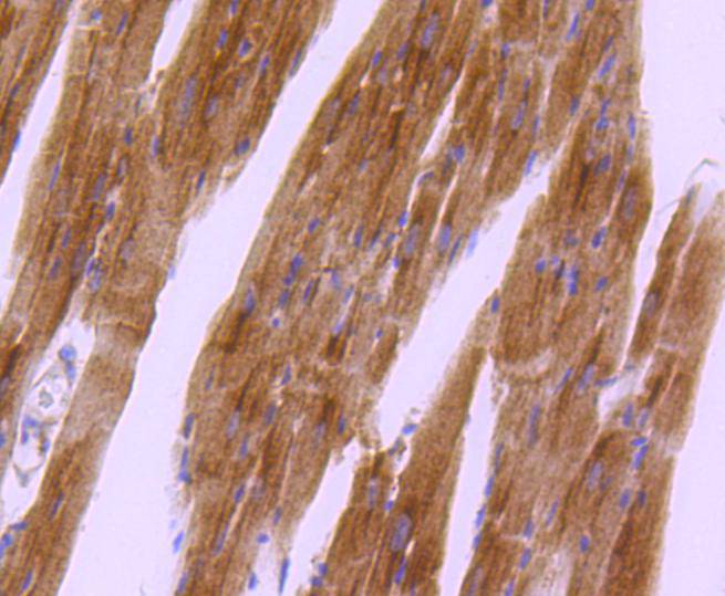
Immunohistochemical analysis of paraffin-embedded mouse heart tissue using anti- phospho-PKA R2 (S99) antibody. Counter stained with hematoxylin.
,

ICC staining phospho-PKA R2 (S99) in Hela cells (green). The nuclear counter stain is DAPI (blue). Cells were fixed in paraformaldehyde, permeabilised with 0.25% Triton X100/PBS.
,

ICC staining phospho-PKA R2 (S99) in MCF-7 cells (green). The nuclear counter stain is DAPI (blue). Cells were fixed in paraformaldehyde, permeabilised with 0.25% Triton X100/PBS.
风险提示:丁香通仅作为第三方平台,为商家信息发布提供平台空间。用户咨询产品时请注意保护个人信息及财产安全,合理判断,谨慎选购商品,商家和用户对交易行为负责。对于医疗器械类产品,请先查证核实企业经营资质和医疗器械产品注册证情况。
技术资料暂无技术资料 索取技术资料


![Phospho-PKA R2 (S99) Rabbit mAb[13379]](https://img1.dxycdn.com/p/s14/2025/0923/496/0462304380155040791.jpg)


![EBF2 Antibody[47090]](https://img1.dxycdn.com/p/s14/2025/0923/496/0462304380155040791.jpg!wh200)
![CASQ2 Rabbit Polyclonal Antibody[54290]](https://img1.dxycdn.com/p/s14/2025/0922/498/0460884283108299691.jpg!wh200)
![P2RY10 Antibody[44619]](https://img1.dxycdn.com/p/s14/2025/0922/568/0046652811090600791.jpg!wh200)
![SEPT7 Antibody[35016]](https://img1.dxycdn.com/p/s14/2025/0922/359/6146153295428599691.jpg!wh200)
