相关产品推荐更多 >
万千商家帮你免费找货
0 人在求购买到急需产品
- 详细信息
- 技术资料
- 免疫原:
recombinant protein
- 形态:
liquid
- 保存条件:
Store at -20˚C
- 克隆性:
Monoclonal antibody
- 适应物种:
Human;Mouse;Rat
- 保质期:
12 months
- 抗原来源:
Recombinant Rabbit
- 供应商:
南京赛戈巍生物科技有限公司
- 宿主:
Recombinant Rabbit
- 应用范围:
WB, ICC, IHC, IP
- 靶点:
Uniprot:P99999
- 抗体英文名:
Cytochrome C Rabbit mAb
- 规格:
50ul/100ul
CYC_HUMAN antibody
CYCS antibody
Cytochrome c antibody
Cytochrome c somatic antibody
HCS antibody
THC4 antibody
计算分子量:12 kDa
配方:1*TBS (pH7.4), 1%BSA, 40%Glycerol. Preservative: 0.05% Sodium Azide.
应用详情:WB: 1:1,000-5,000
IHC: 1:50-1:200
ICC: 1:50-1:200
图片:
![Cytochrome C Rabbit mAb[48927]](https://img1.dxycdn.com/p/s14/2025/0923/698/8239961868895140791.jpg)
Western blot analysis of Cytochrome C on different lysates using anti-Cytochrome C antibody at 1/1,000 dilution. Positive control:
Lane 1: Mouse kidney
Lane 2: Rat kidney
,
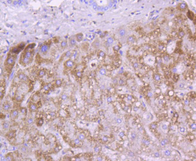
![Cytochrome C Rabbit mAb[48927]](https://img1.dxycdn.com/p/s14/2025/0923/502/0272640770995140791.jpg)
Immunohistochemical analysis of paraffin-embedded human liver tissue using anti-Cytochrome C antibody. Counter stained with hematoxylin.
,
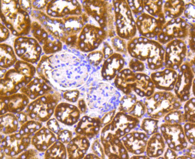
![Cytochrome C Rabbit mAb[48927]](https://img1.dxycdn.com/p/s14/2025/0923/394/4686952800995140791.jpg)
Immunohistochemical analysis of paraffin-embedded human kidney tissue using anti-Cytochrome C antibody. Counter stained with hematoxylin.
,
![Cytochrome C Rabbit mAb[48927]](https://img1.dxycdn.com/p/s14/2025/0923/124/8406289411995140791.jpg)
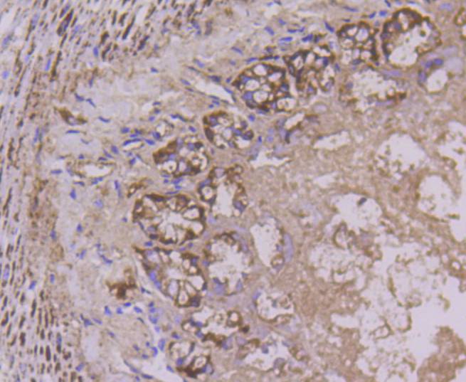
Immunohistochemical analysis of paraffin-embedded mouse colon tissue using anti-Cytochrome C antibody. Counter stained with hematoxylin.
,
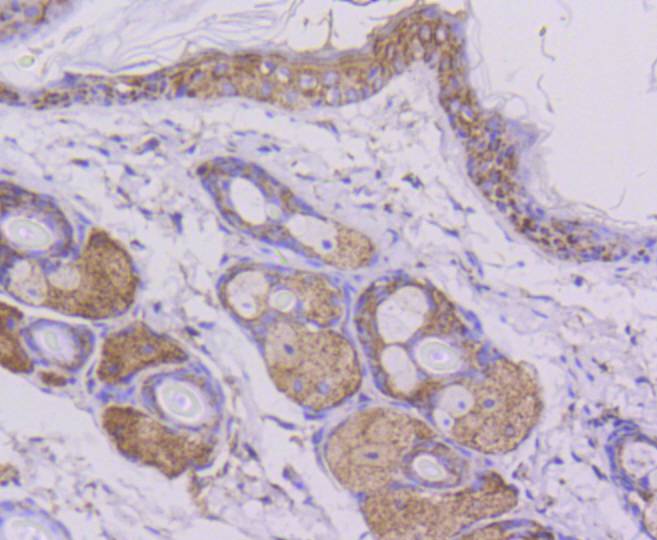
![Cytochrome C Rabbit mAb[48927]](https://img1.dxycdn.com/p/s14/2025/0923/488/2344570419895140791.jpg)
Immunohistochemical analysis of paraffin-embedded mouse skin tissue using anti-Cytochrome C antibody. Counter stained with hematoxylin.
,
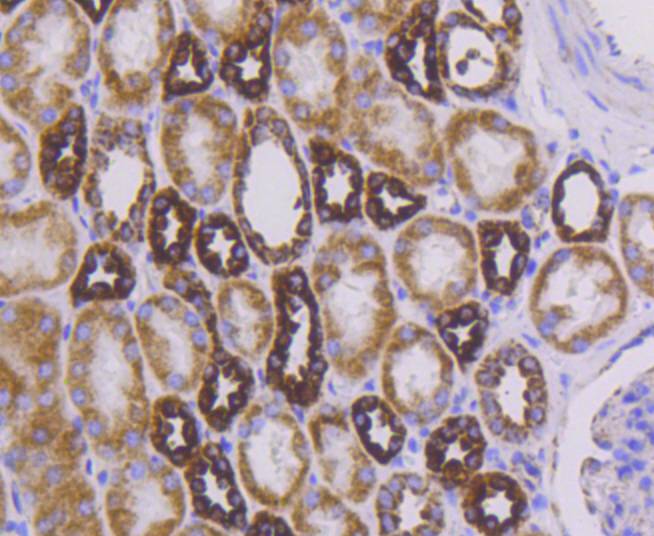
![Cytochrome C Rabbit mAb[48927]](https://img1.dxycdn.com/p/s14/2025/0923/771/2956699291995140791.jpg)
Immunohistochemical analysis of paraffin-embedded mouse kidney tissue using anti-Cytochrome C antibody. Counter stained with hematoxylin.
,
![Cytochrome C Rabbit mAb[48927]](https://img1.dxycdn.com/p/s14/2025/0923/713/6714743071995140791.jpg)
ICC staining Cytochrome C in Hela cells (green). The nuclear counter stain is DAPI (blue). Cells were fixed in paraformaldehyde, permeabilised with 0.25% Triton X100/PBS.
风险提示:丁香通仅作为第三方平台,为商家信息发布提供平台空间。用户咨询产品时请注意保护个人信息及财产安全,合理判断,谨慎选购商品,商家和用户对交易行为负责。对于医疗器械类产品,请先查证核实企业经营资质和医疗器械产品注册证情况。
技术资料暂无技术资料 索取技术资料


![Cytochrome C Rabbit mAb[48927]](https://img1.dxycdn.com/p/s14/2025/0923/496/0462304380155040791.jpg)


![HNRNPF Conjugated Antibody[C32895]](https://img1.dxycdn.com/p/s14/2025/0923/278/4431488150116040791.jpg!wh200)
![CSF3R Antibody[36896]](https://img1.dxycdn.com/p/s14/2025/0922/359/6146153295428599691.jpg!wh200)
![GPR97 Antibody[44949]](https://img1.dxycdn.com/p/s14/2025/0922/568/0046652811090600791.jpg!wh200)
![PFKM Antibody[SAB495]](https://img1.dxycdn.com/p/s14/2025/0922/498/0460884283108299691.jpg!wh200)
