相关产品推荐更多 >
万千商家帮你免费找货
0 人在求购买到急需产品
- 详细信息
- 文献和实验
- 技术资料
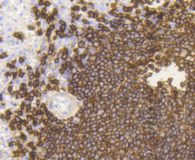
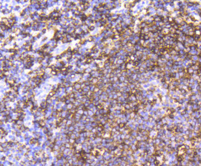
- 抗体名:
CD20 Rabbit mAb
- 抗体英文名:
CD20 Rabbit mAb
- 应用范围:
WB, IHC, IP
- 宿主:
Recombinant Rabbit
- 适应物种:
Hu, Monkey
- 抗原来源:
Recombinant Rabbit
- 供应商:
南京赛戈巍生物科技有限公司
- 保存条件:
Store at -20°C
- 免疫原:
recombinant protein
purification
ProA affinity purified
applications
WB, IHC, IP
appl_detail
WB: 1:1,000-5,000
IHC: 1:50-1:200
other_names
APY antibody
ATOPY antibody
B lymphocyte antigen CD20 antibody
B Lymphocyte Cell Surface Antigen B1 antibody
B-lymphocyte antigen CD20 antibody
B-lymphocyte cell-surface antigen B1 antibody
B-lymphocyte surface antigen B1 antibody
B1 antibody
Bp 35 antibody
Bp35 antibody
CD 20 antibody
CD20 antibody
CD20 antigen antibody
CD20 receptor antibody
CD20_HUMAN antibody
CVID5 antibody
Fc epsilon receptor I beta chain antibody
Fc Fragment of IgE high affinity I receptor for beta polypeptide antibody
FCER1B antibody
High affinity immunoglobulin epsilon receptor subunit beta antibody
IgE Fc receptor subunit beta antibody
IGEL antibody
IGER antibody
IGHER antibody
LEU 16 antibody
LEU16 antibody
leukocyte surface antigen Leu 16 antibody
Leukocyte surface antigen Leu-16 antibody
Ly44 antibody
Membrane spanning 4 domains A1 antibody
Membrane spanning 4 domains subfamily A member 2 antibody
Membrane-spanning 4-domains subfamily A member 1 antibody
MS4A1 antibody
MS4A2 antibody
S7 antibody
calculated_mw
33 kDa
formulation
1*TBS (pH7.4), 1%BSA, 40%Glycerol. Preservative: 0.05% Sodium Azide.
uniprot
P11836
风险提示:丁香通仅作为第三方平台,为商家信息发布提供平台空间。用户咨询产品时请注意保护个人信息及财产安全,合理判断,谨慎选购商品,商家和用户对交易行为负责。对于医疗器械类产品,请先查证核实企业经营资质和医疗器械产品注册证情况。
文献和实验:使用 Anti-phospho-Akt (Ser473) Rabbit mAb 对石蜡包埋的人乳腺癌组织进行免疫组织化学分析。(图 A)使用免疫组化试剂盒M&R HRP/DAB Detection IHC Kit,抗体 1:100 稀释;(图 B) 采用普通免疫组化试剂盒,抗体 1:25 稀释。 图 6 免疫组化实验检测 Erk1/2 表达 注:使用 Anti-Erk1/2 Mouse mAb与p44/42 MAPK (Erk1/2)Rabbit mAb 对正常小鼠心脏组织进行免疫
h)即可。2. 修复大法——不仅仅是「煮一煮」微波炉修复:简单易行效果好,CST 推荐使用微波炉完成修复。合适的修复液:根据抗体说明书使用合适的修复液。用柠檬酸修复后,切片需浸泡在修复液中,自然冷却;而用 EDTA 修复后,切片可直接从修复缸中取出,直接进行下一步。注:使用不同的修复方式和不同生产商的抗体检测人肺癌组织中 EGFR 的表达。第一排为 CST 的 EGF Receptor (D38B1) XP® Rabbit mAb(#4267),EDTA 的修复方式明显优于柠檬酸盐及胃蛋白
到 PVDF 膜上,同时减少蛋白不必要降解,这对于最终获得清晰、可信结果也是需要考虑因素。抗体信息:1.ACC1, Recombinant Rabbit monoclonal IgG. HuaAn. HuaAn biotechnology , inc.2.ATGL, Mouse mAb IgG1, Cat#:RT1058. HuaAn biotechnology , inc.3.p-PERK(Thr981), Rabbit Polyclonal IgG primary antibodies, Cat
技术资料暂无技术资料 索取技术资料








