相关产品推荐更多 >
万千商家帮你免费找货
0 人在求购买到急需产品
- 详细信息
- 文献和实验
- 技术资料
- 免疫原:
Synthetic phospho-peptide corresponding to residues surrounding Ser10 of human Histone H3.
- 形态:
liquid
- 保存条件:
Store at -20˚C
- 克隆性:
Monoclonal
- 适应物种:
Human;Mouse;Rat
- 保质期:
12 months
- 抗原来源:
Recombinant Rabbit
- 供应商:
南京赛戈巍生物科技有限公司
- 宿主:
Recombinant Rabbit
- 应用范围:
WB;ICC/IF;IHC
- 靶点:
Uniprot:P68431
- 抗体英文名:
Histone H3(Phospho-Ser10) Rabbit mAb
- 规格:
50ul/100ul
H3 3A antibody
H3 a antibody
H3 b antibody
H3 c antibody
H3 d antibody
H3 f antibody
H3 h antibody
H3 histone family member E pseudogene antibody
H3 i antibody
H3 j antibody
H3 k antibody
H3 l antibody
H33_HUMAN antibody
H3F3 antibody
H3f3b antibody
Histone H3 3 pseudogene antibody
Histone H3.3 antibody
计算分子量:15 kDa
配方:1*TBS (pH7.4), 1%BSA, 40%Glycerol. Preservative: 0.05% Sodium Azide.
应用详情:WB: 1:500-1:2000
ICC/IF: 1:50-1:200
IHC: 1:50-1:200
图片:

Western blot analysis of Phospho-Histone H3(S10) on Hela cell lysates using anti-Phospho-Histone H3(S10) antibody at 1/1,000 dilution. Positive control:
Lane 1: Untreated HeLa cell lysate
Lane 2: HeLa cell lysate treated with calyculin A
Lane 3: HeLa cell lysate treated with calyculin A and alkaline phosphatase
,

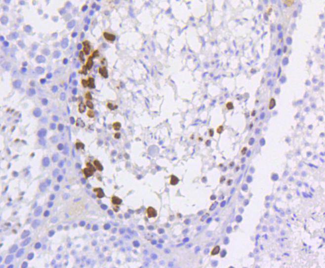
Immunohistochemical analysis of paraffin-embedded mouse testis tissue using anti-Phospho-Histone H3(S10) antibody. Counter stained with hematoxylin.
,

ICC staining Phospho-Histone H3(S10) in Hela cells (green). The nuclear counter stain is DAPI (blue). Cells were fixed in paraformaldehyde, permeabilised with 0.25% Triton X100/PBS.
,

ICC staining Phospho-Histone H3(S10) in Ags cells (green). Cells were fixed in paraformaldehyde, permeabilised with 0.25% Triton X100/PBS.
,

ICC staining Phospho-Histone H3(S10) in HepG2 cells (green). Cells were fixed in paraformaldehyde, permeabilised with 0.25% Triton X100/PBS.
风险提示:丁香通仅作为第三方平台,为商家信息发布提供平台空间。用户咨询产品时请注意保护个人信息及财产安全,合理判断,谨慎选购商品,商家和用户对交易行为负责。对于医疗器械类产品,请先查证核实企业经营资质和医疗器械产品注册证情况。
文献和实验Detection of Histone H3 Phosphorylation in Cultured Cells and Tissue Sections by Immunostaining
Growth factor stimulation results in phosphorylation of histone H3 at ser 10 and this correlated with expression of immediate early genes suggesting that this phosphorylation is associated with transcriptional activation. Although Western
Genome-Wide Measurement of Histone H3 Replacement Dynamics in Yeast
chromatin. Understanding the dynamic behavior of chromatin is of great interest for fields ranging from transcriptional regulation through meiosis and gametogenesis. Here, we describe a protocol for measuring histone replacement rates genome wide
FACS-Based Detection of Phosphorylated Histone H3 for the Quantitation of Mitotic Cells
The G2 checkpoint blocks cells from entering mitosis when DNA is damaged, and helps to protect the integrity of the genome. Tumor cells contain mutations that can inactivate checkpoints, and the inactivation of the G2 checkpoint can induce
技术资料暂无技术资料 索取技术资料





![ANAPC1 (phospho-Ser688) Antibody[13318]](https://img1.dxycdn.com/p/s14/2025/0923/278/4431488150116040791.jpg!wh200)
![PRC1 Antibody[36701]](https://img1.dxycdn.com/p/s14/2025/0922/359/6146153295428599691.jpg!wh200)
![ARF3 Conjugated Antibody[C31438]](https://img1.dxycdn.com/p/s14/2025/0923/305/2150219664296040791.jpg!wh200)

