相关产品推荐更多 >
万千商家帮你免费找货
0 人在求购买到急需产品
- 详细信息
- 文献和实验
- 技术资料
- 免疫原:
Amino acid sequence containing phosphorylated Thr 446 of PKR of human origin.
- 形态:
liquid
- 保存条件:
Store at -20˚C
- 适应物种:
Human;Mouse;Rat
- 保质期:
12 months
- 供应商:
南京赛戈巍生物科技有限公司
- 应用范围:
WB, IP, IF, IHC
- 靶点:
Uniprot:P19525
- 抗体英文名:
PKR (Phospho-Thr446) Antibody
- 规格:
50ul/100ul
E2AK2_HUMAN antibody
eIF-2A protein kinase 2 antibody
EIF2AK1 antibody
EIF2AK2 antibody
Eukaryotic translation initiation factor 2 alpha kinase 2 antibody
Eukaryotic translation initiation factor 2-alpha kinase 2 antibody
HGNC:9437 antibody
Interferon induced double stranded RNA activated protein kinase antibody
Interferon inducible elF2 alpha kinase antibody
Interferon inducible RNA dependent protein kinase antibody
Interferon-induced, double-stranded RNA-activated protein kinase antibody
Interferon-inducible RNA-dependent protein kinase antibody
MGC126524 antibody
P1/eIF-2A protein kinase antibody
P1/eIF2A protein kinase antibody
p68 kinase antibody
PKR antibody
PPP1R83 antibody
PRKR antibody
Protein kinase interferon inducible double stranded RNA dependent antibody
Protein kinase RNA activated antibody
Protein kinase RNA-activated antibody
Protein phosphatase 1 regulatory subunit 83 antibody
Serine/threonine protein kinase TIK antibody
Tyrosine protein kinase EIF2AK2 antibody
计算分子量:68kDa
配方:1*TBS (pH7.4), 1%BSA, 40%Glycerol. Preservative: 0.05% Sodium Azide.
应用详情:
WB: 1:100-1:1,000
IHC: 1:50-500
IP: 1-2 μg per 100-500 μg of total protein(1 ml of cell lysate)
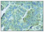
图片:

Western blot analysis of phosphorylated PKR expression in K-562 (A) and starved\ K-562 (B) whole cell lysates.
,

Immunoperoxidase staining of formalin-fixed, paraffin-embedded human colon carcinoma tissue showing cytoplasmic staining.
风险提示:丁香通仅作为第三方平台,为商家信息发布提供平台空间。用户咨询产品时请注意保护个人信息及财产安全,合理判断,谨慎选购商品,商家和用户对交易行为负责。对于医疗器械类产品,请先查证核实企业经营资质和医疗器械产品注册证情况。
文献和实验运用Cell Based Elisa检测信号通路蛋白和磷酸化蛋白
using Phospho-p38 antibody (A) and Total-p38 antibody (B). Cell Based Elisa were performed directly in the 96-well plates using Phospho-p38 and Total-p38 antibodies (C). Figure 3: JNK detection with FACECells were serum-starved for 16 hours
9921 Phospho-PKC Antibody Sampler Kit 9375 Phospho-PKCalpha/beta II (Thr638/641) Antibody W IP 9374 Phospho-PKCdelta (Thr505) Antibody W IHC 9376 Phospho-PKCdelta/theta (Ser643/676) Antibody W IHC 9377 Phospho-PKCtheta (Thr538
domains as well as ataxia telangiectasia mutated (ATM) protein kinase in cells treated with inhibitors of DNA replication. Phosphorylation of these proteins is detected in individual cell immunocytochemically with phospho-specific antibody (Ab
技术资料暂无技术资料 索取技术资料





![IL1A Mouse mAb[63778]](https://img1.dxycdn.com/p/s14/2025/0922/632/2321321568067599691.jpg!wh200)
![GPR180 Antibody[47826]](https://img1.dxycdn.com/p/s14/2025/0923/278/4431488150116040791.jpg!wh200)
![Phospho-PKA R2 (S99) Rabbit mAb[13379]](https://img1.dxycdn.com/p/s14/2025/0923/496/0462304380155040791.jpg!wh200)

