相关产品推荐更多 >
万千商家帮你免费找货
0 人在求购买到急需产品
- 详细信息
- 文献和实验
- 技术资料
- 免疫原:
Synthetic Peptide of Acetyl NF kB P65£¨K314/K315)
- 形态:
liquid
- 保存条件:
Store at -20˚C
- 克隆性:
Monoclonal
- 适应物种:
Human;Mouse;Rat
- 保质期:
12 months
- 抗原来源:
Mouse
- 供应商:
南京赛戈巍生物科技有限公司
- 宿主:
Mouse
- 应用范围:
IHC
- 抗体英文名:
Acetyl NF kB P65£¨K314/K315) Mouse Monoclonal Antibody(2A11)
- 规格:
50ul/100ul
计算分子量:65kd
配方:Liquid in PBS containing 50% glycerol, 0.5% BSA and 0.02% sodium azide.
应用详情:
Immunohistochemistry: 1:50-1:200
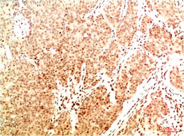
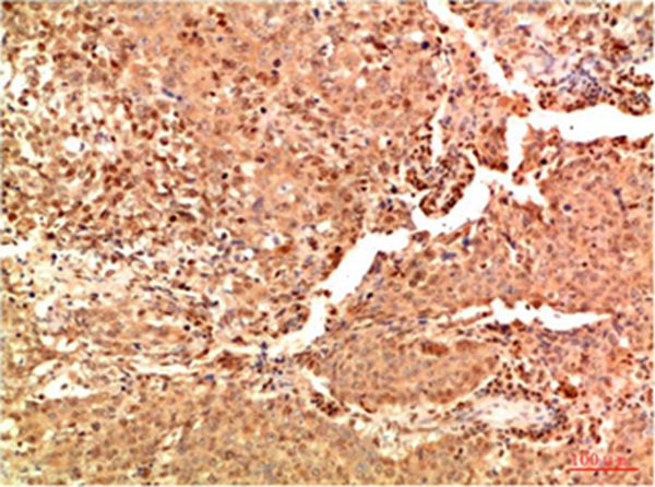
图片:

Immunohistochemical analysis of paraffin-embedded Human Breast Carcinoma Tissue using Acetyl NF kB P65(K314/K315) Mouse mAb diluted at 1:200.
,

Immunohistochemical analysis of paraffin-embedded Human Lung Carcinoma Tissue using Acetyl NF kB P65(K314/K315) Mouse mAb diluted at 1:200.
风险提示:丁香通仅作为第三方平台,为商家信息发布提供平台空间。用户咨询产品时请注意保护个人信息及财产安全,合理判断,谨慎选购商品,商家和用户对交易行为负责。对于医疗器械类产品,请先查证核实企业经营资质和医疗器械产品注册证情况。
文献和实验涕零! yanranpiaoyun MARK hypercyte 这里有NFκB (p65) Rabbit Polyclonal和NFκB (p65) Mouse Monoclonal的产品链接: http://www.hypercyte.com/product/showproduct.php?id=1316&lang=cn http://www.hypercyte.com/product/showproduct.php?id
In Vitro Analysis of Mouse Mesencephalic Neural Crest Development
crest development. Dev. Biol. 157:517‐525. Kubota, Y., Morita, T., and Ito, K. 1996. New monoclonal antibody (4E9R) identifies mouse neural crest cells. Dev. Dyn. 206:368‐378
, Hedgehog, and insulin pathways, as well as the activationof nuclear factor (NF)-kB-mediated gene transcription. These signaling pathways regulate gene transcription,cell cycle, apoptosis, inflammation, glucose metabolism, stem-cell renewal
技术资料暂无技术资料 索取技术资料





![IKBKE Rabbit Polyclonal Antibody[53794]](https://img1.dxycdn.com/p/s14/2025/0922/498/0460884283108299691.jpg!wh200)
![TC10 Conjugated Antibody[C56523]](https://img1.dxycdn.com/p/s14/2025/0922/632/2321321568067599691.jpg!wh200)
![ATP6V1E2 Antibody[42989]](https://img1.dxycdn.com/p/s14/2025/0922/568/0046652811090600791.jpg!wh200)
![PTPRA Conjugated Antibody[C38329]](https://img1.dxycdn.com/p/s14/2025/0923/278/4431488150116040791.jpg!wh200)

