相关产品推荐更多 >
万千商家帮你免费找货
0 人在求购买到急需产品
- 详细信息
- 文献和实验
- 技术资料
- 免疫原:
Synthetic Peptide
- 形态:
liquid
- 保存条件:
Store at -20˚C
- 克隆性:
Monoclonal
- 适应物种:
Human;Mouse;Rat
- 保质期:
12 months
- 抗原来源:
Mouse
- 供应商:
南京赛戈巍生物科技有限公司
- 宿主:
Mouse
- 应用范围:
IHC
- 抗体英文名:
P53(Mono Methyl Lys370) Monoclonal antibody(Q59)
- 规格:
50ul/100ul
计算分子量:53kd
配方:Liquid in PBS containing 50% glycerol, 0.5% BSA and 0.02% sodium azide.
应用详情:
Immunohistochemistry: 1:50-1:200
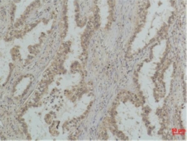
图片:

Immunohistochemical analysis of paraffin-embedded Human Lung Carcinoma using P53(Mono Methyl Lys370) Mouse mAb diluted at 1:500.
风险提示:丁香通仅作为第三方平台,为商家信息发布提供平台空间。用户咨询产品时请注意保护个人信息及财产安全,合理判断,谨慎选购商品,商家和用户对交易行为负责。对于医疗器械类产品,请先查证核实企业经营资质和医疗器械产品注册证情况。
文献和实验The production of monoclonal antibody by hybridoma
The production of monoclonal antibody by hybridoma fusion: Immortalization of sensitized B lymphocytes from immune mice. Overview
线粒体荧光探针大全:TMRM,Mitotracker,JC-1
Zenon Antibody Labeling Kits (Section 7.3, Table 7.13) for detecting mitochondrial targets in cells (Figure 7.80, Figure 15.81). Monoclonal Antibodies Specific for OxPhos Complex IV (Cytochrome Oxidase) To facilitate the study of cytochrome oxidase
of First Hospital of Harbin Medical University. RPMI 1640 was purchased from GIBCO. Propidium iodide and Rnase were from Sigma Chemical Co. A murine monoclonal antibody against human Bcl-2 and Bax oncoprotein and antimi ce rabbit polyclonal antibody were purchased
技术资料暂无技术资料 索取技术资料





![Mouse Anti-Monkey IgG (H&L) - AF405[L35177]](https://img1.dxycdn.com/p/s14/2025/0922/498/0460884283108299691.jpg!wh200)
![JAG2 Conjugated Antibody[C37669]](https://img1.dxycdn.com/p/s14/2025/0923/278/4431488150116040791.jpg!wh200)
![CREB-2 (Phospho-Ser219) Polyclonal Antibody[12265]](https://img1.dxycdn.com/p/s14/2025/0922/568/0046652811090600791.jpg!wh200)
![SH3YL1 antibody[31874]](https://img1.dxycdn.com/p/s14/2025/0923/305/2150219664296040791.jpg!wh200)

