相关产品推荐更多 >
万千商家帮你免费找货
0 人在求购买到急需产品
- 详细信息
- 文献和实验
- 技术资料
- 免疫原:
A synthetic Tri-methylated peptide corresponding to residues surrounding Lys59 of human histone H4.
- 形态:
liquid
- 保存条件:
Store at -20˚C
- 克隆性:
Polyclonal
- 适应物种:
Human;Mouse;Rat
- 保质期:
12 months
- 抗原来源:
Rabbit
- 供应商:
南京赛戈巍生物科技有限公司
- 宿主:
Rabbit
- 应用范围:
WB
- 靶点:
Uniprot:P62805
- 抗体英文名:
Histone H4(Tri-Methyl-Lys59) Rabbit Polyclonal Antibody
- 规格:
50ul/100ul
配方:Rabbit Antiserum, containing 0.02% sodium azide as Preservative and 50% Glycerol.
应用详情:Western blotting: 1:500~1:1000
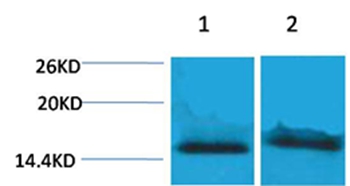
图片:

Western blot analysis of 1) Hela, 2)3T3, using #HW058 diluted at 1:2,000.
风险提示:丁香通仅作为第三方平台,为商家信息发布提供平台空间。用户咨询产品时请注意保护个人信息及财产安全,合理判断,谨慎选购商品,商家和用户对交易行为负责。对于医疗器械类产品,请先查证核实企业经营资质和医疗器械产品注册证情况。
文献和实验," made up of fragments of up to seven nucleosomes in length, is incubated with an antiserum directed against the histone modification of interest. The antibody-bound fraction is separated from the unbound fraction and, after extraction of genomic DNA from the bound
that was an interspecific hybrid (H) between Mus musculus domesticus (D, paternal genome) and Mus spretus (S, maternal genome). The native chromatin was then immunoprecipitated with rabbit polyclonal antisera to acetylation at lysine 9 of H3 (H3K9Ac) and to dimethylation
祝贺〖雅裕睿安〗成为Signalway Antibody(SAB)独家
货号T501,产品描述:HA-Tag Rabbit Polyclonal Antibody;规格 50 ul / 100 ul; 货号T503,产品描述:Anti-DYKDDDDK Polyclonal Antibody;规格 50 ul / 100 ul; 货号T504,产品描述:Myc-Tag Mouse Monoclonal Antibody;规格 50 ul / 100 ul; 货号
技术资料暂无技术资料 索取技术资料





![Chromogranin-A(C-term) Conjugated Antibody[C48354]](https://img1.dxycdn.com/p/s14/2025/0923/305/2150219664296040791.jpg!wh200)
![MARK4 Conjugated Antibody[C37716]](https://img1.dxycdn.com/p/s14/2025/0923/278/4431488150116040791.jpg!wh200)
![LLGL2 Rabbit Polyclonal Antibody[55421]](https://img1.dxycdn.com/p/s14/2025/0922/498/0460884283108299691.jpg!wh200)

