相关产品推荐更多 >
万千商家帮你免费找货
0 人在求购买到急需产品
- 详细信息
- 文献和实验
- 技术资料
- 免疫原:
Synthetic peptide corresponding to a region derived from internal residues of human peptide YY
- 形态:
liquid
- 保存条件:
Store at -20˚C
- 克隆性:
Polyclonal
- 适应物种:
Human
- 保质期:
12 months
- 抗原来源:
Rabbit
- 供应商:
南京赛戈巍生物科技有限公司
- 宿主:
Rabbit
- 应用范围:
IHC
- 靶点:
Uniprot:P10082
- 抗体英文名:
PYY Antibody
- 规格:
50ul/100ul
配方:Rabbit IgG in pH7.3 PBS, 0.05% NaN3, 50% Glycerol.
应用详情:Immunohistochemistry: 1:50-1:200
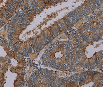
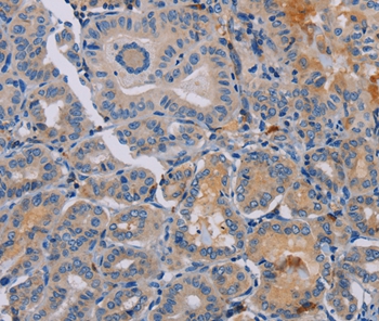
图片:

Immunohistochemical analysis of paraffin-embedded Human colon cancer tissue using #37813 at dilution 1/30.
,

Immunohistochemical analysis of paraffin-embedded Human thyroid cancer tissue using #37813 at dilution 1/30.
风险提示:丁香通仅作为第三方平台,为商家信息发布提供平台空间。用户咨询产品时请注意保护个人信息及财产安全,合理判断,谨慎选购商品,商家和用户对交易行为负责。对于医疗器械类产品,请先查证核实企业经营资质和医疗器械产品注册证情况。
文献和实验上海西唐生物科技有限公司 021-55229872, 65333639 www.westang.com 人PYY ( PYY )ELISA 试剂盒 ( 用于血清、血浆、细胞培养上清液和尿液、骨组织裂解物生物体液内 ) 原理 本实验采用双抗体夹心 ABC-ELISA 法。用抗人 PYY 单抗包被于酶标板上,标准品和样品中的 PYY与单抗结合,加入生物素化的抗人
上海西唐生物科技有限公司 021-55229872, 65333639 www.westang.com 大鼠多肽 YY(PYY)ELISA 试剂盒 ( 用于血清、血浆、细胞培养上清液和其它生物体液内 ) 原理 本实验采用双抗体夹心 ABC-ELISA 法。用抗大鼠 PYY 单抗包被于酶标板上,标准品和样品中的 PYY 与单抗结合,加入生物素化的抗大鼠 PYY ,形成免疫复合物连接在板上,辣根
Generation of Antibody Molecules Through Antibody Engineering
been overcome to a large extent using genetic-engineering techniques to produce chimeric mouse/human and completely human antibodies. Such an approach is particularly suitable because of the domain structure of the antibody molecule ( 2 ), where functional
技术资料暂无技术资料 索取技术资料





![RAMP1 Conjugated Antibody[C35885]](https://img1.dxycdn.com/p/s14/2025/0923/278/4431488150116040791.jpg!wh200)
![PGM1 antibody[38809]](https://img1.dxycdn.com/p/s14/2025/0922/359/6146153295428599691.jpg!wh200)
![BAF60a Conjugated Antibody[C31782]](https://img1.dxycdn.com/p/s14/2025/0923/305/2150219664296040791.jpg!wh200)
![M-CSF Receptor (phospho-Tyr546) rabbit pAb[13724]](https://img1.dxycdn.com/p/s14/2025/0922/498/0460884283108299691.jpg!wh200)

