相关产品推荐更多 >
万千商家帮你免费找货
0 人在求购买到急需产品
- 详细信息
- 文献和实验
- 技术资料
- 免疫原:
Synthetic peptide corresponding to residues near the C terminal of human R3H domain and coiled-coil containing 1-like
- 形态:
liquid
- 保存条件:
Store at -20˚C
- 克隆性:
Polyclonal
- 适应物种:
Human
- 保质期:
12 months
- 抗原来源:
Rabbit
- 供应商:
南京赛戈巍生物科技有限公司
- 宿主:
Rabbit
- 应用范围:
IHC
- 靶点:
Uniprot:Q7Z5L2
- 抗体英文名:
R3HCC1L Antibody
- 规格:
50ul/100ul
配方:Rabbit IgG in pH7.3 PBS, 0.05% NaN3, 50% Glycerol.
应用详情:Immunohistochemistry: 1:50-1:200
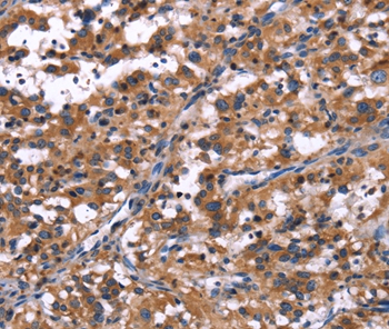
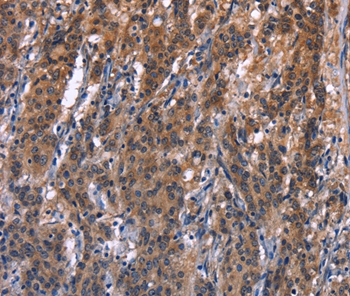
图片:

Immunohistochemical analysis of paraffin-embedded Human thyroid cancer tissue using #37592 at dilution 1/40.
,

Immunohistochemical analysis of paraffin-embedded Human gastric cancer tissue using #37592 at dilution 1/40.
风险提示:丁香通仅作为第三方平台,为商家信息发布提供平台空间。用户咨询产品时请注意保护个人信息及财产安全,合理判断,谨慎选购商品,商家和用户对交易行为负责。对于医疗器械类产品,请先查证核实企业经营资质和医疗器械产品注册证情况。
文献和实验Purification of Antibody Light Chains by Metal Affinity and Protein L Chromatography
Immobilized metal affinity chromatography (IMAC), introduced in 1975 (1 ), relies on the formation of coordinate bonds between metal ions immobilized on a suitable support and electron donor groups in proteins. A polyhistidine tag
Analysis and Purification of Antibody Fragments Using Protein A, Protein G, and Protein L
Today, monoclonal antibodies (mAbs) form the largest category of biopharmaceuticals in clinical trials and their number is expanding rapidly (DataMonitor 2007). The antibodies or functional antibody fragments are being produced in artificial
一光年 最近要做生殖的细胞方面的实验,前期一直用在垂体细胞原代培养,但是一直困扰没有促性腺激素细胞系,但是在网络中搜索,发现老外的文章中经常提到αT3-1,LβT2 或LβT4细胞系,在ATCC等知名的细胞库也未发现这些细胞系,不知道各位高手指点在哪里可以找到这几种细胞系?不甚感激!! veimojie 我一直也在做这方面的研究 什么地方能有啊 ? banana_smile 我也想做这方
技术资料暂无技术资料 索取技术资料





![TOP2A Mouse mAb[64346]](https://img1.dxycdn.com/p/s14/2025/0922/632/2321321568067599691.jpg!wh200)

![CORD2/OTX3 Polyclonal Antibody FITC Conjugated[C91018FITC]](https://img1.dxycdn.com/p/s14/2025/0922/498/0460884283108299691.jpg!wh200)
![PLXNB3 Polyclonal Antibody[28697]](https://img1.dxycdn.com/p/s14/2025/0923/305/2150219664296040791.jpg!wh200)

