相关产品推荐更多 >
万千商家帮你免费找货
0 人在求购买到急需产品
- 详细信息
- 文献和实验
- 技术资料
- 免疫原:
KLH conjugated synthetic peptide derived from human DGAT1.
- 形态:
liquid
- 保存条件:
Store at -20˚C
- 克隆性:
Polyclonal
- 适应物种:
Human;Mouse;Rat
- 保质期:
12 months
- 抗原来源:
Rabbit
- 供应商:
南京赛戈巍生物科技有限公司
- 宿主:
Rabbit
- 应用范围:
WB IHC
- 靶点:
Uniprot:O75907
- 抗体英文名:
DGAT1 Antibody
- 规格:
50ul/100ul
配方:0.01M TBS (pH7.4) with 1% BSA, 0.02% Proclin300 and 50% Glycerol.
应用详情:WB1:500-2000
IHC 1:100-500
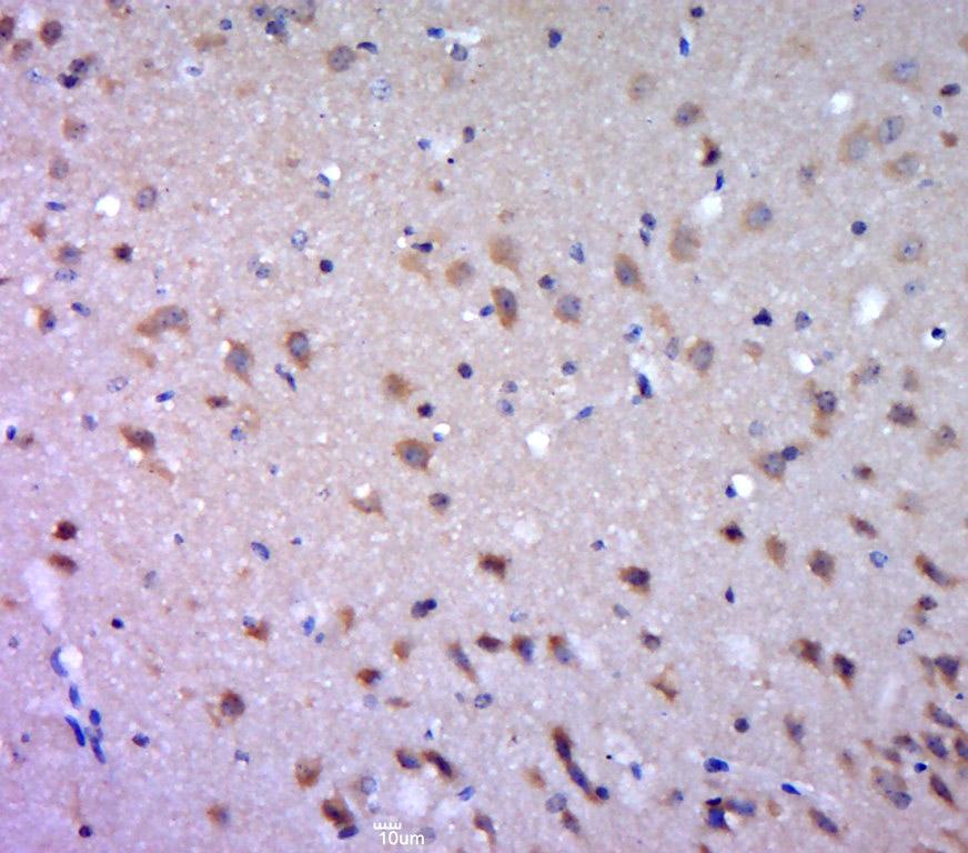
图片:

Sample: Lane 1: Mouse Adipose tissue lysates Lane 2: Mouse Adrenal gland tissue lysates Lane 3: Rat Adipose tissue lysates Lane 4: Rat Stomach tissue lysates Lane 5: Rat Testis tissue lysates Lane 6: Human HL60 cell lysates Lane 7: Human HepG2 cell lysates Primary: Anti-DGAT1 at 1/300 dilution Secondary: Goat Anti-Rabbit IgG at 1/20000 dilution Predicted band size: 55 kD Observed band size: 60 kD
,

Paraformaldehyde-fixed, paraffin embedded (mouse brain tissue); Antigen retrieval by boiling in sodium citrate buffer (pH6.0) for 15min; Block endogenous peroxidase by 3% hydrogen peroxide for 20 minutes; Blocking buffer (normal goat serum) at 37°C for 30min; Antibody incubation with (DGAT1) Polyclonal Antibody, at 1:400 overnight at 4°C, followed by a conjugated secondary for 20 minutes and DAB staining.
风险提示:丁香通仅作为第三方平台,为商家信息发布提供平台空间。用户咨询产品时请注意保护个人信息及财产安全,合理判断,谨慎选购商品,商家和用户对交易行为负责。对于医疗器械类产品,请先查证核实企业经营资质和医疗器械产品注册证情况。
文献和实验Generation of Antibody Molecules Through Antibody Engineering
been overcome to a large extent using genetic-engineering techniques to produce chimeric mouse/human and completely human antibodies. Such an approach is particularly suitable because of the domain structure of the antibody molecule ( 2 ), where functional
The importance of antibody molecules was first recognized in the 1890s, when it was shown that immunity to tetanus and diphtheria was caused by antibodies against the bacterial exotoxins (1 ). Around the same time, it was shown that antisera
General comments: Antibodies, like most proteins, do not like to be freeze-thawed. Avoid repetitive freezing of your solution. The best way to store your antibody is to keep a high protein concentration (>1 mg/ml), add some protease
技术资料暂无技术资料 索取技术资料





![DAXX Mouse mAb[63531]](https://img1.dxycdn.com/p/s14/2025/0922/632/2321321568067599691.jpg!wh200)
![SPAG8 Antibody[35927]](https://img1.dxycdn.com/p/s14/2025/0922/359/6146153295428599691.jpg!wh200)
![14-3-3 ζ Polyclonal Antibody[40525]](https://img1.dxycdn.com/p/s14/2025/0922/568/0046652811090600791.jpg!wh200)


