相关产品推荐更多 >
万千商家帮你免费找货
0 人在求购买到急需产品
- 详细信息
- 文献和实验
- 技术资料
- 免疫原:
Synthetic peptide corresponding to a region derived from internal residues of human cytochrome P450, family 2, subfamily B, polypeptide 6
- 形态:
liquid
- 保存条件:
Store at -20˚C
- 克隆性:
Polyclonal
- 适应物种:
Human;Mouse
- 保质期:
12 months
- 抗原来源:
Rabbit
- 供应商:
南京赛戈巍生物科技有限公司
- 宿主:
Rabbit
- 应用范围:
WB IHC
- 靶点:
Uniprot:P20813
- 抗体英文名:
CYP2B6 Antibody
- 规格:
50ul/100ul
配方:Rabbit IgG in pH7.3 PBS, 0.05% NaN3, 50% Glycerol.
应用详情:
Western blotting: 1:200-1:1000
Immunohistochemistry: 1:25-1:100
图片:

Gel: 8%SDS-PAGE
Lysates (from left to right): Human colon cancer tissue
Amount of lysate: 40ug per lane
Primary antibody: 1/400 dilution
Secondary antibody dilution: 1/8000
Exposure time: 4 minutes
,

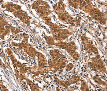
Immunohistochemical analysis of paraffin-embedded Human gastric cancer tissue using #37518 at dilution 1/25.
,

Gel: 8%SDS-PAGE Lysates :Mouse liver tissue lysate 40ug Primary antibody: 1/650dilution Secondary antibody dilution: 1/5000 Exposure time: 30 seconds
风险提示:丁香通仅作为第三方平台,为商家信息发布提供平台空间。用户咨询产品时请注意保护个人信息及财产安全,合理判断,谨慎选购商品,商家和用户对交易行为负责。对于医疗器械类产品,请先查证核实企业经营资质和医疗器械产品注册证情况。
文献和实验Generation of Antibody Molecules Through Antibody Engineering
been overcome to a large extent using genetic-engineering techniques to produce chimeric mouse/human and completely human antibodies. Such an approach is particularly suitable because of the domain structure of the antibody molecule ( 2 ), where functional
because: 1 Many of the heterologous anti-CYP2B antibody preparations are not useful owing to their slgmficant cross-reactivity with other human P450 enzymes; 2 A CYP2B6-specific chemical inhibitor has yet to be found; and 3 A dlagnostlc catalytic activity for human hepatlc mlcrosomal
The importance of antibody molecules was first recognized in the 1890s, when it was shown that immunity to tetanus and diphtheria was caused by antibodies against the bacterial exotoxins (1 ). Around the same time, it was shown that antisera
技术资料暂无技术资料 索取技术资料





![DPEP1 antibody[38797]](https://img1.dxycdn.com/p/s14/2025/0922/359/6146153295428599691.jpg!wh200)
![Nucleoside diphosphate kinase A Polyclonal Antibody[42376]](https://img1.dxycdn.com/p/s14/2025/0922/568/0046652811090600791.jpg!wh200)
![beta Tubulin Conjugated Antibody[C48659]](https://img1.dxycdn.com/p/s14/2025/0923/305/2150219664296040791.jpg!wh200)
![ARPC2 Conjugated Antibody[C56974]](https://img1.dxycdn.com/p/s14/2025/0922/632/2321321568067599691.jpg!wh200)
![EI24 Conjugated Antibody[C43165]](https://img1.dxycdn.com/p/s14/2025/0923/278/4431488150116040791.jpg!wh200)

