相关产品推荐更多 >
万千商家帮你免费找货
0 人在求购买到急需产品
- 详细信息
- 文献和实验
- 技术资料
- 免疫原:
Synthetic peptide of human CDK19
- 形态:
liquid
- 保存条件:
Store at -20˚C
- 克隆性:
Polyclonal
- 适应物种:
Human;Mouse
- 保质期:
12 months
- 抗原来源:
Rabbit
- 供应商:
南京赛戈巍生物科技有限公司
- 宿主:
Rabbit
- 应用范围:
WB IHC
- 靶点:
Uniprot:Q9BWU1
- 抗体英文名:
CDK19 Antibody
- 规格:
50ul/100ul
配方:Rabbit IgG in pH7.3 PBS, 0.05% NaN3, 50% Glycerol.
应用详情:WB 1:500-1:2000 IHC 1:50-1:200
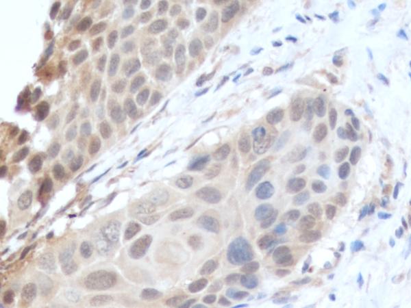
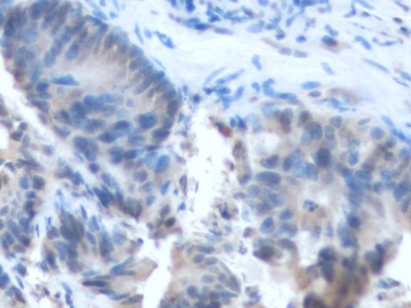
图片:

Gel: 8%SDS-PAGE Lysate: 40 ug Lane: Mouse brain tissue lysate Primary antibody: (CDK19 Antibody) at dilution 1/700 Secondary antibody: (HRP-conjugated Goat anti rabbit IgG) at 1/5000 dilution Exposure time: 20 seconds
,

The image on the left is immunohistochemistry of paraffin-embedded Human esophagus cancer tissue using (CDK19 Antibody) at dilution 1/50
,

The image on the left is immunohistochemistry of paraffin-embedded Human colorectal cancer tissue using (CDK19 Antibody) at dilution 1/50
风险提示:丁香通仅作为第三方平台,为商家信息发布提供平台空间。用户咨询产品时请注意保护个人信息及财产安全,合理判断,谨慎选购商品,商家和用户对交易行为负责。对于医疗器械类产品,请先查证核实企业经营资质和医疗器械产品注册证情况。
文献和实验甾类(化合物)19-羟化酶 steroid 19-hydr- oxylase
甾类(化合物) 19- 羟化酶 steroid 19 - hydr- oxylase 在 C 19 甾类的 A 、 B 环问的 19 位甲基上引入二个羟基的酶,是最终导致 A 环芳香化的芳香化酶。需要有分子态氧和 NADPH 。存在于胎盘和马的睾丸的微粒体中。
A uniform procedure for the purification of CDK7/CycH/MAT1, CDK8/CycC and CDK9/CycT1
We have established a uniform procedure for the expression and purification of the cyclin-dependent kinases CDK7/CycH/MAT1, CDK8/CycC and CDK9/CycT1. We attach a His6 -tag to one of the subunits of each complex and then co-express
MACSQuant Tyto 细胞分选仪助力开发 COVID-19 新疗法
丹麦奥胡斯大学医院传染病研究部门,Dr. Mariane H. Schleimann 与其团队现在正大量参与对新型冠状病毒(SARS-CoV-2)的研究。正如全世界的情况一样,迫切需要找到针对 COVID-19 有效的疫苗,以及治疗方法,这激发了许多基础研究、转化和临床组织共同投入到 COVID-19 研究中。 以下是由美天旎生物技术与 Dr. Mariane H. Schleimann 根据其对 COVID-19 研究进行的访谈: 1. Dr. Mariane H
技术资料暂无技术资料 索取技术资料





![ZO-1 Polyclonal Antibody APC Conjugated[C90946APC]](https://img1.dxycdn.com/p/s14/2025/0922/498/0460884283108299691.jpg!wh200)

![F2R Mouse mAb[63617]](https://img1.dxycdn.com/p/s14/2025/0922/632/2321321568067599691.jpg!wh200)
![CLEC4C Antibody[37198]](https://img1.dxycdn.com/p/s14/2025/0922/359/6146153295428599691.jpg!wh200)

