相关产品推荐更多 >
万千商家帮你免费找货
0 人在求购买到急需产品
- 详细信息
- 文献和实验
- 技术资料
- 免疫原:
Synthetic peptide corresponding to a region derived from internal residues of human TEK tyrosine kinase, endothelial
- 形态:
liquid
- 保存条件:
Store at -20˚C
- 克隆性:
Polyclonal
- 适应物种:
Human
- 保质期:
12 months
- 抗原来源:
Rabbit
- 供应商:
南京赛戈巍生物科技有限公司
- 宿主:
Rabbit
- 应用范围:
IHC
- 靶点:
Uniprot:Q02763
- 抗体英文名:
TEK Antibody
- 规格:
50ul/100ul
配方:Rabbit IgG in pH7.3 PBS, 0.05% NaN3, 50% Glycerol.
应用详情:Immunohistochemistry: 1:50-1:200
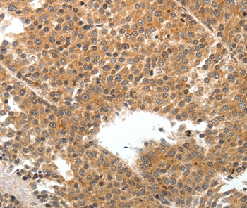
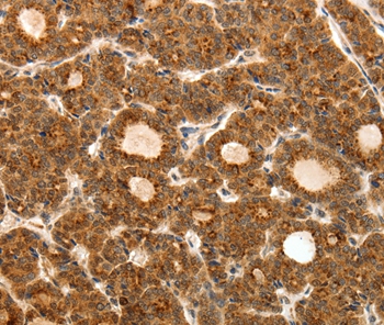
图片:

Immunohistochemical analysis of paraffin-embedded Human thyroid cancer tissue using #37274 at dilution 1/50.
,

Immunohistochemical analysis of paraffin-embedded Human liver cancer tissue using #37274 at dilution 1/50.
风险提示:丁香通仅作为第三方平台,为商家信息发布提供平台空间。用户咨询产品时请注意保护个人信息及财产安全,合理判断,谨慎选购商品,商家和用户对交易行为负责。对于医疗器械类产品,请先查证核实企业经营资质和医疗器械产品注册证情况。
文献和实验酶标仪的使用很简单,如果你使用的酶标仪别人已经用过一段时间了,基本无需进行特别设定,你所做的就是设定你所需要的检测波长(必要的话,还可以设参考波长)、空白孔,我们使用的也是bio-tek ELx800 (说实话,不怎么样),详细说明如下:1、先从试剂说明书上获得以下信息:(1)使用什么波长(2) 如何判断结果。如:样本OD值Sod ≥ 阴性对照值Xod × 2。1 ,为阳性阴性对照值Xod小于0。05时,以0。05计算。2、给酶标仪上参数,即DEFINE定义在MainMenu下,选
Generation of Antibody Molecules Through Antibody Engineering
been overcome to a large extent using genetic-engineering techniques to produce chimeric mouse/human and completely human antibodies. Such an approach is particularly suitable because of the domain structure of the antibody molecule ( 2 ), where functional
The importance of antibody molecules was first recognized in the 1890s, when it was shown that immunity to tetanus and diphtheria was caused by antibodies against the bacterial exotoxins (1 ). Around the same time, it was shown that antisera
技术资料暂无技术资料 索取技术资料





![ADP-ribosylation factor-like protein 2 Polyclonal Antibody[42235]](https://img1.dxycdn.com/p/s14/2025/0922/568/0046652811090600791.jpg!wh200)

![FRAT1 Conjugated Antibody[C57061]](https://img1.dxycdn.com/p/s14/2025/0922/632/2321321568067599691.jpg!wh200)
![ATP2A2 Conjugated Antibody[C32157]](https://img1.dxycdn.com/p/s14/2025/0923/278/4431488150116040791.jpg!wh200)

