相关产品推荐更多 >
万千商家帮你免费找货
0 人在求购买到急需产品
- 详细信息
- 文献和实验
- 技术资料
- 免疫原:
Synthetic peptide corresponding to residues near the C terminal of human Sonic hedgehog
- 形态:
liquid
- 保存条件:
Store at -20˚C
- 克隆性:
Polyclonal
- 适应物种:
Human
- 保质期:
12 months
- 抗原来源:
Rabbit
- 供应商:
南京赛戈巍生物科技有限公司
- 宿主:
Rabbit
- 应用范围:
IHC
- 靶点:
Uniprot:Q15465
- 抗体英文名:
SHH Antibody
- 规格:
50ul/100ul
配方:Rabbit IgG in pH7.3 PBS, 0.05% NaN3, 50% Glycerol.
应用详情:Immunohistochemistry: 1:50-1:200
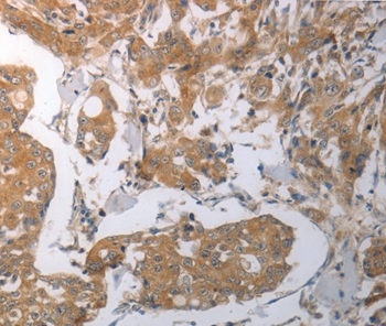
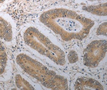
图片:

Immunohistochemical analysis of paraffin-embedded Human breast cancer tissue using #37028 at dilution 1/70.
,

Immunohistochemical analysis of paraffin-embedded Human colon cancer tissue using #37028 at dilution 1/70.
风险提示:丁香通仅作为第三方平台,为商家信息发布提供平台空间。用户咨询产品时请注意保护个人信息及财产安全,合理判断,谨慎选购商品,商家和用户对交易行为负责。对于医疗器械类产品,请先查证核实企业经营资质和医疗器械产品注册证情况。
文献和实验薇安夕夕宝 请问有人了解SHH通路吗?这个通路有激动剂吗? acola SAG C28H28ClN3OS 黑糊糊2000 Oxysterols, could be one but not sure can be used for all the cell lines 本文由丁香园论坛提供,想了解更多有用的、有意思的前沿资讯以及酷炫的实验方法的你,都可以成为师兄的好伙伴
人Sonic Hedgehog(SHH)ELISA试剂盒 说明书
上海西唐生物科技有限公司 021-55229872, 65333639 www.westang.com 人 Sonic Hedgehog ( SHH )ELISA 试剂盒 ( 用于血清、血浆、细胞培养上清液和其它生物体液内 ) 原理 本实验采用双抗体夹心 ABC-ELISA 法。用抗人 SHH 单抗包被于酶标板上,标准品和样品中的 SHH与单抗结合,加入生物
人音猬因子(Shh) 酶联免疫 分析( ELISA ) 试剂 盒使用说明书 本试剂仅供研究使用 目的:本试剂盒用于测定人血清,细胞上清及相关液体样本中音猬因子(Shh)含量。 实验原理 : 本试剂盒应用双抗体夹心法测定 标本 中 人音猬因子(Shh) 水平。用纯化的 人音猬因子(Shh) 抗体包被微孔板,制成固相抗体,往包被单抗的微孔中依次加入 音猬因子(Shh), 再与 HRP 标记的音猬因子 (Shh) 抗体
技术资料暂无技术资料 索取技术资料





![KCNMB3 Antibody[37679]](https://img1.dxycdn.com/p/s14/2025/0922/359/6146153295428599691.jpg!wh200)
![Histone H3 Conjugated Antibody[C49295]](https://img1.dxycdn.com/p/s14/2025/0922/498/0460884283108299691.jpg!wh200)
![ARHGEF10 Conjugated Antibody[C36132]](https://img1.dxycdn.com/p/s14/2025/0923/278/4431488150116040791.jpg!wh200)


