相关产品推荐更多 >
万千商家帮你免费找货
0 人在求购买到急需产品
- 详细信息
- 文献和实验
- 技术资料
- 免疫原:
Fusion protein corresponding to a region derived from internal residues of human indian hedgehog
- 形态:
liquid
- 保存条件:
Store at -20˚C
- 克隆性:
Polyclonal
- 适应物种:
Human
- 保质期:
12 months
- 抗原来源:
Rabbit
- 供应商:
南京赛戈巍生物科技有限公司
- 宿主:
Rabbit
- 应用范围:
IHC
- 靶点:
Uniprot:Q14623
- 抗体英文名:
IHH Antibody
- 规格:
50ul/100ul
配方:Rabbit IgG in pH7.3 PBS, 0.05% NaN3, 50% Glycerol.
应用详情:Immunohistochemistry: 1:50-1:200
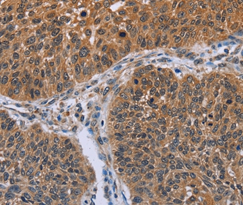
图片:

Immunohistochemical analysis of paraffin-embedded Human colon cancer tissue using #36549 at dilution 1/30.
,

Immunohistochemical analysis of paraffin-embedded Human lung cancer tissue using #36549 at dilution 1/30.
风险提示:丁香通仅作为第三方平台,为商家信息发布提供平台空间。用户咨询产品时请注意保护个人信息及财产安全,合理判断,谨慎选购商品,商家和用户对交易行为负责。对于医疗器械类产品,请先查证核实企业经营资质和医疗器械产品注册证情况。
文献和实验greatlj1211 请问各位大侠:IHH/PTHrP信号通路中IHH(indian hedgehog)翻译成中文因该是什么啊?万分感激! 螺旋 甲状旁腺素相关肽(PTHrp)-印第安刺猬蛋白(Ihh)信号轴是骨骺生长板中调节软骨和成骨细胞增殖、分化、肥大和矿化的重要负反馈轴。围绕该信号轴有多种生长因子如Sox9、BMP、TGF-β等,参与调控软骨及成骨细胞生长。新近研究表明,PTHrp通过Sox9阻止软骨前体细胞向肥大
Generation of Antibody Molecules Through Antibody Engineering
been overcome to a large extent using genetic-engineering techniques to produce chimeric mouse/human and completely human antibodies. Such an approach is particularly suitable because of the domain structure of the antibody molecule ( 2 ), where functional
The importance of antibody molecules was first recognized in the 1890s, when it was shown that immunity to tetanus and diphtheria was caused by antibodies against the bacterial exotoxins (1 ). Around the same time, it was shown that antisera
技术资料暂无技术资料 索取技术资料





![GRM4 Antibody[36912]](https://img1.dxycdn.com/p/s14/2025/0922/359/6146153295428599691.jpg!wh200)
![AP-1 Polyclonal Antibody[40598]](https://img1.dxycdn.com/p/s14/2025/0922/568/0046652811090600791.jpg!wh200)

![SH-PTP2 Conjugated Antibody[C33485]](https://img1.dxycdn.com/p/s14/2025/0923/278/4431488150116040791.jpg!wh200)

