相关产品推荐更多 >
万千商家帮你免费找货
0 人在求购买到急需产品
- 详细信息
- 技术资料
- 免疫原:
Fusion protein corresponding to residues near the C terminal of human Serpin peptidase inhibitor, clade A (alpha-1 antiproteinase, antitrypsin), member 5
- 形态:
liquid
- 保存条件:
Store at -20˚C
- 克隆性:
Polyclonal
- 适应物种:
Human
- 保质期:
12 months
- 抗原来源:
Rabbit
- 供应商:
南京赛戈巍生物科技有限公司
- 宿主:
Rabbit
- 应用范围:
WB IHC
- 靶点:
Uniprot:P05154
- 抗体英文名:
SERPINA5 Antibody
- 规格:
50ul/100ul
别名:PCI; PAI3; PAI-3; PCI-B; PROCI; PLANH3
配方:Rabbit IgG in pH7.3 PBS, 0.05% NaN3, 50% Glycerol.
应用详情:Western blotting: 1:1000-1:5000
Immunohistochemistry: 1:50-1:200
图片:
配方:Rabbit IgG in pH7.3 PBS, 0.05% NaN3, 50% Glycerol.
应用详情:Western blotting: 1:1000-1:5000
Immunohistochemistry: 1:50-1:200
图片:
![SERPINA5 Antibody[35991]](https://img1.dxycdn.com/p/s14/2025/0922/968/4830867568813799691.jpg)
Gel: 10%SDS-PAGE
Lysates (from left to right): Human liver cancer tissue and A549 cell
Amount of lysate: 40ug per lane
Primary antibody: 1/750 dilution
Secondary antibody dilution: 1/8000
Exposure time: 10 minutes
,
![SERPINA5 Antibody[35991]](https://img1.dxycdn.com/p/s14/2025/0922/057/4669655749813799691.jpg)
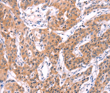
Immunohistochemical analysis of paraffin-embedded Human lung cancer tissue using #35991 at dilution 1/40.
风险提示:丁香通仅作为第三方平台,为商家信息发布提供平台空间。用户咨询产品时请注意保护个人信息及财产安全,合理判断,谨慎选购商品,商家和用户对交易行为负责。对于医疗器械类产品,请先查证核实企业经营资质和医疗器械产品注册证情况。
技术资料暂无技术资料 索取技术资料
SERPINA5 Antibody[35991]
询价


![SERPINA5 Antibody[35991]](https://img1.dxycdn.com/p/s14/2025/0922/359/6146153295428599691.jpg)


![TNF-β Polyclonal Antibody[41505]](https://img1.dxycdn.com/p/s14/2025/0922/568/0046652811090600791.jpg!wh200)
![MAP2K4 Conjugated Antibody[C28702]](https://img1.dxycdn.com/p/s14/2025/0923/305/2150219664296040791.jpg!wh200)
![PLG Antibody[35329]](https://img1.dxycdn.com/p/s14/2025/0922/359/6146153295428599691.jpg!wh200)
![CD328 Mouse mAb[63353]](https://img1.dxycdn.com/p/s14/2025/0922/632/2321321568067599691.jpg!wh200)
![ER36 Polyclonal Antibody PE Conjugated[C91680PE]](https://img1.dxycdn.com/p/s14/2025/0922/498/0460884283108299691.jpg!wh200)
