相关产品推荐更多 >
万千商家帮你免费找货
0 人在求购买到急需产品
- 详细信息
- 文献和实验
- 技术资料
- 免疫原:
Fusion protein corresponding to a region derived from internal residues of human lymphotoxin alpha (TNF superfamily, member 1)
- 形态:
liquid
- 保存条件:
Store at -20˚C
- 克隆性:
Polyclonal
- 适应物种:
Human
- 保质期:
12 months
- 抗原来源:
Rabbit
- 供应商:
南京赛戈巍生物科技有限公司
- 宿主:
Rabbit
- 应用范围:
IHC
- 靶点:
Uniprot:P01374
- 抗体英文名:
LTA Antibody
- 规格:
50ul/100ul
配方:Rabbit IgG in pH7.3 PBS, 0.05% NaN3, 50% Glycerol.
应用详情:Immunohistochemistry: 1:50-1:200
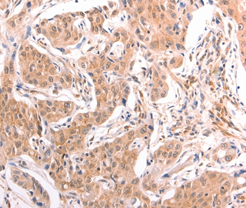
图片:

Immunohistochemical analysis of paraffin-embedded Human colon cancer tissue using #35964 at dilution 1/50.
,

Immunohistochemical analysis of paraffin-embedded Human lung cancer tissue using #35964 at dilution 1/50.
风险提示:丁香通仅作为第三方平台,为商家信息发布提供平台空间。用户咨询产品时请注意保护个人信息及财产安全,合理判断,谨慎选购商品,商家和用户对交易行为负责。对于医疗器械类产品,请先查证核实企业经营资质和医疗器械产品注册证情况。
文献和实验人淋巴毒素α( LTA ) 酶联免疫分析( ELISA ) 试剂盒使用说明书 本试剂仅供研究使用 目的:本试剂盒用于测定人血清,血浆及相关液体样本中 淋巴毒素α(LTA ) 的 含量。 实验原理: 本试剂盒应用双抗体夹心法测定标本中 人淋巴毒素α( LTA ) 水平。用纯化的 人淋巴毒素α( LTA ) 抗体包被微孔板,制成固相抗体,往包被单抗的微孔中依次加入 淋巴毒素α( LTA
人 脂磷壁酸(LTA) 酶联免疫 分析 试剂 盒使用说明书 本试剂仅供研究使用 目的:本试剂盒用于测定人血清,血浆及相关液体样本中脂磷壁酸(LTA)的含量。 实验原理 : 本试剂盒应用 双抗体 夹心法测定 标本 中 人 脂磷壁酸(LTA) 水平。用纯化的 人 脂磷壁酸(LTA) 抗体 包被微孔板,制成固相 抗 体,往包被 单抗 的微孔中加入 脂磷壁酸(LTA) ,再与HRP 标记的 脂磷壁酸(LTA) 抗体
Generation of Antibody Molecules Through Antibody Engineering
been overcome to a large extent using genetic-engineering techniques to produce chimeric mouse/human and completely human antibodies. Such an approach is particularly suitable because of the domain structure of the antibody molecule ( 2 ), where functional
技术资料暂无技术资料 索取技术资料





![ISY1-RAB43 Antibody[47670]](https://img1.dxycdn.com/p/s14/2025/0923/496/0462304380155040791.jpg!wh200)
![Caveolin-2 (phospho-Tyr27) Polyclonal Antibody[13999]](https://img1.dxycdn.com/p/s14/2025/0922/498/0460884283108299691.jpg!wh200)
![Homer protein homolog 1 Polyclonal Antibody[42382]](https://img1.dxycdn.com/p/s14/2025/0922/568/0046652811090600791.jpg!wh200)
![CDCA5 Conjugated Antibody[C56116]](https://img1.dxycdn.com/p/s14/2025/0922/632/2321321568067599691.jpg!wh200)

