相关产品推荐更多 >
万千商家帮你免费找货
0 人在求购买到急需产品
- 详细信息
- 技术资料
- 免疫原:
Fusion protein corresponding to a region derived from internal residues of human resistin like beta
- 形态:
liquid
- 保存条件:
Store at -20˚C
- 克隆性:
Polyclonal
- 适应物种:
Human
- 保质期:
12 months
- 抗原来源:
Rabbit
- 供应商:
南京赛戈巍生物科技有限公司
- 宿主:
Rabbit
- 应用范围:
IHC
- 靶点:
Uniprot:Q9BQ08
- 抗体英文名:
RETNLB Antibody
- 规格:
50ul/100ul
别名:XCP2; FIZZ1; FIZZ2; HXCP2; RELMb; RELMbeta; RELM-beta
配方:Rabbit IgG in pH7.3 PBS, 0.05% NaN3, 50% Glycerol.
应用详情:
图片:
配方:Rabbit IgG in pH7.3 PBS, 0.05% NaN3, 50% Glycerol.
应用详情:
Immunohistochemistry: 1:50-1:200
图片:
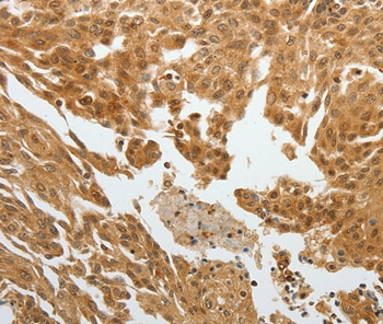
![RETNLB Antibody[35905]](https://img1.dxycdn.com/p/s14/2025/0922/768/6543259070492799691.jpg)
Immunohistochemical analysis of paraffin-embedded Human cervical cancer tissue using #35905 at dilution 1/40.
,
![RETNLB Antibody[35905]](https://img1.dxycdn.com/p/s14/2025/0922/504/0426472960492799691.jpg)
Immunohistochemical analysis of paraffin-embedded Human colon cancer tissue using #35905 at dilution 1/40.
风险提示:丁香通仅作为第三方平台,为商家信息发布提供平台空间。用户咨询产品时请注意保护个人信息及财产安全,合理判断,谨慎选购商品,商家和用户对交易行为负责。对于医疗器械类产品,请先查证核实企业经营资质和医疗器械产品注册证情况。
技术资料暂无技术资料 索取技术资料
RETNLB Antibody[35905]
询价


![RETNLB Antibody[35905]](https://img1.dxycdn.com/p/s14/2025/0922/359/6146153295428599691.jpg)


![AKTIP Conjugated Antibody[C38769]](https://img1.dxycdn.com/p/s14/2025/0923/278/4431488150116040791.jpg!wh200)
![FTSJ1 Polyclonal Antibody[31390]](https://img1.dxycdn.com/p/s14/2025/0923/305/2150219664296040791.jpg!wh200)
![M6PR Mouse mAb[63893]](https://img1.dxycdn.com/p/s14/2025/0922/632/2321321568067599691.jpg!wh200)

