相关产品推荐更多 >
万千商家帮你免费找货
0 人在求购买到急需产品
- 详细信息
- 技术资料
- 免疫原:
Synthesized peptide derived from internal of human ALS2CR8.
- 形态:
liquid
- 保存条件:
Store at -20˚C
- 克隆性:
Polyclonal
- 适应物种:
Human
- 保质期:
12 months
- 抗原来源:
Rabbit
- 供应商:
南京赛戈巍生物科技有限公司
- 宿主:
Rabbit
- 应用范围:
WB IHC
- 靶点:
Uniprot:Q8N187
- 抗体英文名:
ALS2CR8 Antibody
- 规格:
50ul/100ul
别名:Amyotrophic lateral sclerosis 2 chromosomal region candidate gene 8 protein; Calcium-response factor; CaRF; Testis development protein NYD-SP24;
配方:Rabbit IgG in phosphate buffered saline (without Mg2+ and Ca2+), pH 7.4, 150mM NaCl, 0.02% sodium azide and 50% glycerol.
应用详情:Western blotting: 1:500~1:3000
Immunohistochemistry: 1:50~1:100
图片:
配方:Rabbit IgG in phosphate buffered saline (without Mg2+ and Ca2+), pH 7.4, 150mM NaCl, 0.02% sodium azide and 50% glycerol.
应用详情:Western blotting: 1:500~1:3000
Immunohistochemistry: 1:50~1:100
图片:
![ALS2CR8 Antibody[34418]](https://img1.dxycdn.com/p/s14/2025/0922/036/0295224508989699691.jpg)
Western blot analysis of extracts from HuvEc cells, using ALS2CR8 antibody #34418.
,
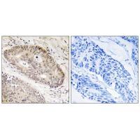
![ALS2CR8 Antibody[34418]](https://img1.dxycdn.com/p/s14/2025/0922/761/6313001708989699691.jpg)
Immunohistochemistry analysis of paraffin-embedded human lung carcinoma tissue, using ALS2CR8 antibody #34418.
风险提示:丁香通仅作为第三方平台,为商家信息发布提供平台空间。用户咨询产品时请注意保护个人信息及财产安全,合理判断,谨慎选购商品,商家和用户对交易行为负责。对于医疗器械类产品,请先查证核实企业经营资质和医疗器械产品注册证情况。
技术资料暂无技术资料 索取技术资料
ALS2CR8 Antibody[34418]
询价


![ALS2CR8 Antibody[34418]](https://img1.dxycdn.com/p/s14/2025/0922/359/6146153295428599691.jpg)


![SERPING1 Conjugated Antibody[C56864]](https://img1.dxycdn.com/p/s14/2025/0922/632/2321321568067599691.jpg!wh200)
![IL6ST Antibody[43623]](https://img1.dxycdn.com/p/s14/2025/0922/568/0046652811090600791.jpg!wh200)
![HK3 Conjugated Antibody[C36212]](https://img1.dxycdn.com/p/s14/2025/0923/278/4431488150116040791.jpg!wh200)
![PLA2G4C Antibody[34640]](https://img1.dxycdn.com/p/s14/2025/0922/359/6146153295428599691.jpg!wh200)
![PLK1 Rabbit mAb[52513]](https://img1.dxycdn.com/p/s14/2025/0922/498/0460884283108299691.jpg!wh200)
