相关产品推荐更多 >
万千商家帮你免费找货
0 人在求购买到急需产品
- 详细信息
- 技术资料
- 免疫原:
Synthetic peptide from human protein at AA range: 61-110
- 形态:
liquid
- 保存条件:
Store at -20˚C
- 克隆性:
Polyclonal
- 适应物种:
Human
- 保质期:
12 months
- 抗原来源:
Rabbit
- 供应商:
南京赛戈巍生物科技有限公司
- 宿主:
Rabbit
- 应用范围:
IHC
- 靶点:
Uniprot:O00175
- 抗体英文名:
Eotaxin-2 Polyclonal Antibody
- 规格:
50ul/100ul
别名:C-C motif chemokine 24 (CK-beta-6) (Eosinophil chemotactic protein 2) (Eotaxin-2) (Myeloid progenitor inhibitory factor 2) (MPIF-2) (Small-inducible cytokine A24)
配方:Liquid in PBS containing 50% glycerol, 0.5% BSA and 0.02% sodium azide.
应用详情:
Immunohistochemistry: IHC 1:50-300
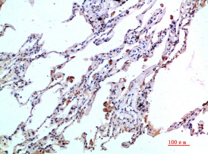
图片:
配方:Liquid in PBS containing 50% glycerol, 0.5% BSA and 0.02% sodium azide.
应用详情:
Immunohistochemistry: IHC 1:50-300
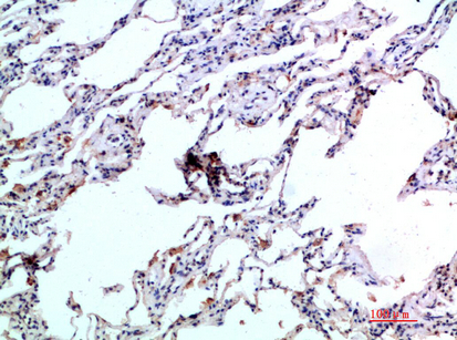
图片:

Immunohistochemical analysis of paraffin-embedded human-lung, antibody was diluted at 1:200
,

Immunohistochemical analysis of paraffin-embedded human-lung, antibody was diluted at 1:200
风险提示:丁香通仅作为第三方平台,为商家信息发布提供平台空间。用户咨询产品时请注意保护个人信息及财产安全,合理判断,谨慎选购商品,商家和用户对交易行为负责。对于医疗器械类产品,请先查证核实企业经营资质和医疗器械产品注册证情况。
技术资料暂无技术资料 索取技术资料
Eotaxin-2 Polyclonal Antibody[46839]
询价


![Eotaxin-2 Polyclonal Antibody[46839]](https://img1.dxycdn.com/p/s14/2025/0922/568/0046652811090600791.jpg)


![KIF3B Antibody[47697]](https://img1.dxycdn.com/p/s14/2025/0923/496/0462304380155040791.jpg!wh200)
![RGC32 Polyclonal Antibody PE Conjugated[C91694PE]](https://img1.dxycdn.com/p/s14/2025/0922/498/0460884283108299691.jpg!wh200)
![EHD4 Polyclonal Antibody[28342]](https://img1.dxycdn.com/p/s14/2025/0923/305/2150219664296040791.jpg!wh200)
![ASF1B Antibody[44296]](https://img1.dxycdn.com/p/s14/2025/0922/568/0046652811090600791.jpg!wh200)
