相关产品推荐更多 >
万千商家帮你免费找货
0 人在求购买到急需产品
- 详细信息
- 技术资料
- 免疫原:
Synthetic peptide from human protein at AA range: 241-290
- 形态:
liquid
- 保存条件:
Store at -20˚C
- 克隆性:
Polyclonal
- 适应物种:
Human
- 保质期:
12 months
- 抗原来源:
Rabbit
- 供应商:
南京赛戈巍生物科技有限公司
- 宿主:
Rabbit
- 应用范围:
WB IHC
- 靶点:
Uniprot:P29460
- 抗体英文名:
IL-12B p40 Polyclonal Antibody
- 规格:
50ul/100ul
别名:Interleukin-12 subunit beta (IL-12B) (Cytotoxic lymphocyte maturation factor 40 kDa subunit) (CLMF p40) (IL-12 subunit p40) (NK cell stimulatory factor chain 2) (NKSF2)
计算分子量:40 kDa
配方:Liquid in PBS containing 50% glycerol, 0.5% BSA and 0.02% sodium azide.
应用详情:Western blotting: 1£º500-1£º2000
Immunohistochemistry: IHC 1:50-300
图片:
计算分子量:40 kDa
配方:Liquid in PBS containing 50% glycerol, 0.5% BSA and 0.02% sodium azide.
应用详情:Western blotting: 1£º500-1£º2000
Immunohistochemistry: IHC 1:50-300
图片:

Western blot analysis of mouse-kidney lysate, antibody was diluted at 1000. Secondary antibody was diluted at 1:20000
,

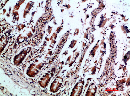
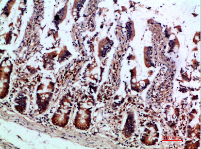
Immunohistochemical analysis of paraffin-embedded human-colon, antibody was diluted at 1:200
,

Immunohistochemical analysis of paraffin-embedded human-colon, antibody was diluted at 1:200
风险提示:丁香通仅作为第三方平台,为商家信息发布提供平台空间。用户咨询产品时请注意保护个人信息及财产安全,合理判断,谨慎选购商品,商家和用户对交易行为负责。对于医疗器械类产品,请先查证核实企业经营资质和医疗器械产品注册证情况。
技术资料暂无技术资料 索取技术资料
IL-12B p40 Polyclonal Antibody[46781]
询价


![IL-12B p40 Polyclonal Antibody[46781]](https://img1.dxycdn.com/p/s14/2025/0922/568/0046652811090600791.jpg)



![VPS50 Antibody[47557]](https://img1.dxycdn.com/p/s14/2025/0923/496/0462304380155040791.jpg!wh200)
![Nestin Polyclonal Antibody PE Conjugated[C90002PE]](https://img1.dxycdn.com/p/s14/2025/0922/498/0460884283108299691.jpg!wh200)
![CD66c/d Polyclonal Antibody[41959]](https://img1.dxycdn.com/p/s14/2025/0922/568/0046652811090600791.jpg!wh200)
