相关产品推荐更多 >
万千商家帮你免费找货
0 人在求购买到急需产品
- 详细信息
- 文献和实验
- 技术资料
- 免疫原:
Recombinant Protein
- 形态:
liquid
- 保存条件:
Store at -20˚C
- 克隆性:
Monoclonal
- 适应物种:
Human;Mouse;Rat
- 保质期:
12 months
- 抗原来源:
Mouse
- 供应商:
南京赛戈巍生物科技有限公司
- 宿主:
Mouse
- 应用范围:
WB IHC IF
- 靶点:
Uniprot:P40763
- 抗体英文名:
STAT3 Monoclonal Antibody(1E3)
- 规格:
50ul/100ul
配方:Liquid in PBS containing 50% glycerol, 0.5% BSA and 0.02% sodium azide.
应用详情:
Western blotting: 1:1000-1:2000
Immunohistochemistry: 1:100-1:200
IF: 1:50-1:200
图片:

Western blot analysis of 1) Hela, 2)3T3, 3) PC12 with STAT3 Mouse mAb diluted at 1:2,000.
,

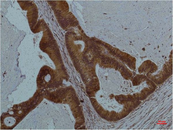
Immunohistochemical analysis of paraffin-embedded Human Colon Caricnoma using STAT3Mouse mAb diluted at 1:200.
,

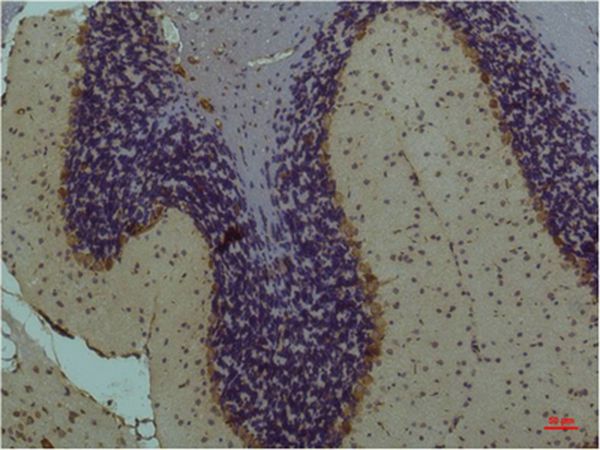
Immunohistochemical analysis of paraffin-embedded Mouse Brain Tissue using STAT3Mouse mAb diluted at 1:200.
风险提示:丁香通仅作为第三方平台,为商家信息发布提供平台空间。用户咨询产品时请注意保护个人信息及财产安全,合理判断,谨慎选购商品,商家和用户对交易行为负责。对于医疗器械类产品,请先查证核实企业经营资质和医疗器械产品注册证情况。
文献和实验祝贺〖雅裕睿安〗成为Signalway Antibody(SAB)独家
货号T501,产品描述:HA-Tag Rabbit Polyclonal Antibody;规格 50 ul / 100 ul; 货号T503,产品描述:Anti-DYKDDDDK Polyclonal Antibody;规格 50 ul / 100 ul; 货号T504,产品描述:Myc-Tag Mouse Monoclonal Antibody;规格 50 ul / 100 ul; 货号
技术资料暂无技术资料 索取技术资料





![Phospho-IRF3(S386) Rabbit mAb[13359]](https://img1.dxycdn.com/p/s14/2025/0923/496/0462304380155040791.jpg!wh200)
![CD110 Polyclonal Antibody[41841]](https://img1.dxycdn.com/p/s14/2025/0922/568/0046652811090600791.jpg!wh200)
![PELO Polyclonal Antibody[30607]](https://img1.dxycdn.com/p/s14/2025/0923/305/2150219664296040791.jpg!wh200)
![SLC22A2 Conjugated Antibody[C37782]](https://img1.dxycdn.com/p/s14/2025/0923/278/4431488150116040791.jpg!wh200)
