相关产品推荐更多 >
万千商家帮你免费找货
0 人在求购买到急需产品
- 详细信息
- 技术资料
- 免疫原:
Synthetic peptide of human PRH2
- 形态:
liquid
- 保存条件:
Store at -20˚C
- 克隆性:
Polyclonal
- 适应物种:
Human
- 保质期:
12 months
- 抗原来源:
Rabbit
- 供应商:
南京赛戈巍生物科技有限公司
- 宿主:
Rabbit
- 应用范围:
IHC WB
- 靶点:
Uniprot:P02810
- 抗体英文名:
PRH2 Antibody
- 规格:
50ul/100ul
别名:Pr; pa; PRH1; db-s; PIF-S; pr1/Pr2; PRP-1/PRP-2
计算分子量:17kd
配方:Rabbit IgG in pH7.4 PBS, 0.05% NaN3, 40% Glycerol.
应用详情:Western blotting: 1:200-1000
Immunohistochemistry: 1: 20-100
图片:
计算分子量:17kd
配方:Rabbit IgG in pH7.4 PBS, 0.05% NaN3, 40% Glycerol.
应用详情:Western blotting: 1:200-1000
Immunohistochemistry: 1: 20-100
图片:
![PRH2 Antibody[43931]](https://img1.dxycdn.com/p/s14/2025/0922/847/2116491083051700791.jpg)
Gel: 12%SDS-PAGE
Lysate: 40 μg, Lane: HEPG2 cell,
Primary antibody:PRH2 antibody at dilution 1/350 dilution,
Secondary antibody: Goat anti rabbit IgG at 1/8000 dilution,
Exposure time: 2 minutes
,
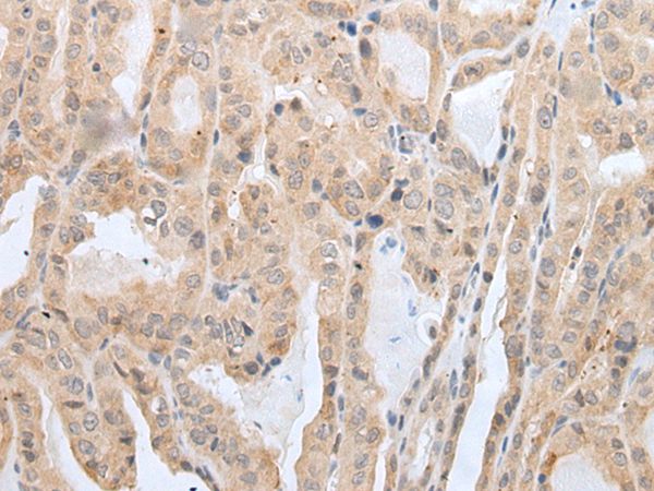
![PRH2 Antibody[43931]](https://img1.dxycdn.com/p/s14/2025/0922/036/8484969383051700791.jpg)
The image on the left is immunohistochemistry of paraffin-embedded Human thyroid cancer tissue using PRH2 Antibody at dilution 1/30, on the right is treated with synthetic peptide. (Original magnification: x200)
风险提示:丁香通仅作为第三方平台,为商家信息发布提供平台空间。用户咨询产品时请注意保护个人信息及财产安全,合理判断,谨慎选购商品,商家和用户对交易行为负责。对于医疗器械类产品,请先查证核实企业经营资质和医疗器械产品注册证情况。
技术资料暂无技术资料 索取技术资料
PRH2 Antibody[43931]
询价


![PRH2 Antibody[43931]](https://img1.dxycdn.com/p/s14/2025/0922/568/0046652811090600791.jpg)


![Wnt5a Rabbit mAb[52655]](https://img1.dxycdn.com/p/s14/2025/0922/498/0460884283108299691.jpg!wh200)
![THAP10 Conjugated Antibody[C43540]](https://img1.dxycdn.com/p/s14/2025/0923/278/4431488150116040791.jpg!wh200)
![HSF1 (Phospho-Ser326) Rabbit mAb[14149]](https://img1.dxycdn.com/p/s14/2025/0922/632/2321321568067599691.jpg!wh200)
![TBX10 Antibody[42776]](https://img1.dxycdn.com/p/s14/2025/0922/568/0046652811090600791.jpg!wh200)
